扫码关注公众号           扫码咨询技术支持           扫码咨询技术服务
  
客服热线:400-901-9800  客服QQ:4009019800  技术答疑  技术支持  质量反馈  人才招聘  关于我们  联系我们
产品中心-北京博奥森生物技术有限公司
首页 > 产品中心 > 一抗 > 产品信息
TDRD3 Rabbit pAb (bs-11768R)  
订购热线:400-901-9800
订购邮箱:sales@bioss.com.cn
订购QQ:  400-901-9800
技术支持:techsupport@bioss.com.cn
50ul/1180.00元
100ul/1980.00元
200ul/2800.00元
大包装/询价

产品编号 bs-11768R
英文名称 TDRD3 Rabbit pAb
中文名称 Tudor结构域蛋白TDRD3抗体
别    名 CK820_G0004674; 4732418C03Rik; 6720468N18; XELAEV_18013219mg; tdrd3; TDRD3_CHICK; TDRD3_BOVIN; TDRD3_HUMAN; TDRD3_MOUSE; TDRD3_RAT; TDRD3_XENLA; TDRD3_XENTR; tudor domain containing 3  
研究领域 细胞生物  神经生物学  表观遗传学  
抗体来源 Rabbit
克隆类型 Polyclonal
交叉反应 Human,Mouse,Rat (predicted: Rabbit,Pig,Chicken,Horse)
产品应用 WB=1:500-2000,IHC-P=1:100-500,IHC-F=1:100-500,IF=1:100-500
not yet tested in other applications.
optimal dilutions/concentrations should be determined by the end user.
理论分子量 73kDa
检测分子量 73-77
细胞定位 细胞核 细胞浆 
性    状 Liquid
浓    度 1mg/ml
免 疫 原 KLH conjugated synthetic peptide derived from human TDRD3: 161-250/651 
亚    型 IgG
纯化方法 affinity purified by Protein A
缓 冲 液 0.01M TBS (pH7.4) with 1% BSA, 0.02% Proclin300 and 50% Glycerol.
保存条件 Shipped at 4℃. Store at -20℃ for one year. Avoid repeated freeze/thaw cycles.
注意事项 This product as supplied is intended for research use only, not for use in human, therapeutic or diagnostic applications.
PubMed PubMed
产品介绍 Tudor domain containing 3 is a 651 amino acid protein that localizes to both the nucleus and the cytoplasm and contains one UBA domain and one tudor domain. Expressed in lung, brain, heart, liver, placenta, kidney, pancreas and skeletal muscle, TDRD3 exists as a component of mRNA stress granules and is thought to play a role in the translation of target mRNAs, as well as in the assembly and disassembly of stress granules. Multiple isoforms of TDRD3 exist due to alternative splicing events. The gene encoding TDRD3 maps to human chromosome 13, which houses over 400 genes, such as BRCA2 and RB1, and comprises nearly 4% of the human genome. Trisomy 13, also known as Patau syndrome, is deadly and the few who survive past one year suffer from permanent neurologic defects, difficulty eating and vulnerability to serious respiratory infections.

Function:
Scaffolding protein that specifically recognizes and binds dimethylarginine-containing proteins. In nucleus, acts as a coactivator: recognizes and binds asymmetric dimethylation on the core histone tails associated with transcriptional activation (H3R17me2a and H4R3me2a) and recruits proteins at these arginine-methylated loci. In cytoplasm, may play a role in the assembly and/or disassembly of mRNA stress granules and in the regulation of translation of target mRNAs by binding Arg/Gly-rich motifs (GAR) in dimethylarginine-containing proteins.

Subunit:
Component of mRNA stress granules. Interacts with FMR1, FXR1, FXR2, EWSR1, FUS, SERBP1, EEF1A1 and DDX3X or DDX3Y, and with the small nuclear ribonucleoprotein-associated proteins SNRPB and SNRPN. Interacts with 'Lys-48'-linked tetra-ubiquitin, but not with monoubiquitin or 'Lys-63'-linked ubiquitin chains.

Subcellular Location:
Cytoplasm. Nucleus. Predominantly cytoplasmic. Associated with actively translating polyribosomes and with mRNA stress granules.

Tissue Specificity:
Detected in heart, brain, placenta, lung, liver, skeletal muscle, kidney and pancreas.

Similarity:
Contains 1 Tudor domain.
Contains 1 UBA domain.

SWISS:
Q9H7E2

Gene ID:
81550

Database links:

Entrez Gene: 418823 Chicken

Entrez Gene: 452750 Chimpanzee

Entrez Gene: 537918 Cow

Entrez Gene: 81550 Human

Entrez Gene: 219249 Mouse

Entrez Gene: 306066 Rat

Entrez Gene: 431810 Xenopus laevis

Entrez Gene: 395019 Xenopus tropicalis

Omim: 614392 Human

SwissProt: Q5ZMS6 Chicken

SwissProt: Q2HJG4 Cow

SwissProt: Q9H7E2 Human

SwissProt: Q91W18 Mouse

SwissProt: Q66HC1 Rat

SwissProt: Q6NRP6 Xenopus laevis

SwissProt: Q6P1U3 Xenopus tropicalis



产品图片
Sample: Brain (Mouse) Lysate at 40 ug Primary: Anti- TDRD3 (bs-11768R) at 1/300 dilution Secondary: IRDye800CW Goat Anti-Rabbit IgG at 1/20000 dilution Predicted band size: 73kD Observed band size: 73kD
Sample: pc-3 Cell (Human) Lysate at 30 ug Primary: Anti-TDRD3 (bs-11768R) at 1/300 dilution Secondary: IRDye800CW Goat Anti-Rabbit IgG at 1/20000 dilution Predicted band size: 73 kD Observed band size: 77 kD
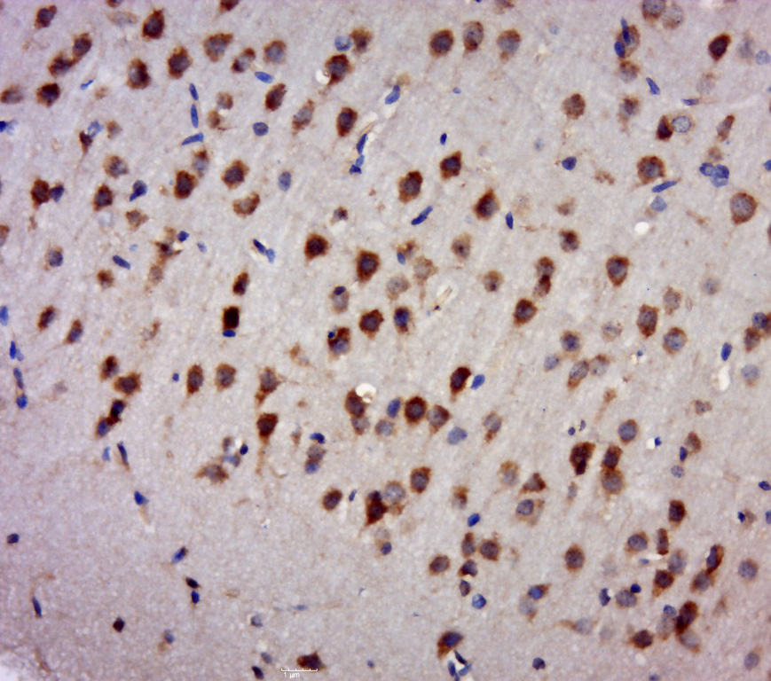
Paraformaldehyde-fixed, paraffin embedded (rat brain tissue); Antigen retrieval by boiling in sodium citrate buffer (pH6.0) for 15min; Block endogenous peroxidase by 3% hydrogen peroxide for 20 minutes; Blocking buffer (normal goat serum) at 37°C for 30min; Antibody incubation with (TDRD3) Polyclonal Antibody, Unconjugated (bs-11768R) at 1:400 overnight at 4°C, followed by a conjugated secondary (sp-0023) for 20 minutes and DAB staining.
版权所有 2004-2026 www.bioss.com.cn 北京博奥森生物技术有限公司
通过国际质量管理体系ISO 9001:2015 GB/T 19001-2016    证书编号: 00124Q34771R2M/1100
通过国际医疗器械-质量管理体系ISO 13485:2016 GB/T 42061-2022     证书编号: CQC24QY20047R0M/1100
京ICP备05066980号-1         京公网安备110107000727号