扫码关注公众号           扫码咨询技术支持           扫码咨询技术服务
  
客服热线:400-901-9800  客服QQ:4009019800  技术答疑  技术支持  质量反馈  关于我们  联系我们
产品中心-北京博奥森生物技术有限公司
首页 > 产品中心 > 一抗 > 产品信息
Puratrophin 1 Rabbit pAb (bs-11747R)  
订购热线:400-901-9800
订购邮箱:sales@bioss.com.cn
订购QQ:  400-901-9800
技术支持:techsupport@bioss.com.cn
50ul/1180.00元
100ul/1980.00元
200ul/2800.00元
大包装/询价

产品编号 bs-11747R
英文名称 Puratrophin 1 Rabbit pAb
中文名称 浦肯野细胞萎缩相关蛋白1抗体
别    名 ARHGEF44; PH domain-containing family G member 4; PKHG4_HUMAN; Pleckstrin homology domain containing family G(with RhoGef domain) member 4; member 4; Pleckstrin homology domain-containing family G member 4; PLEKHG 4; PLEKHG4; PRTPHN 1; PRTPHN1; Puratrophin 1; Puratrophin-1; Puratrophin1; Purkinje cell atrophy associated protein 1; Purkinje cell atrophy-associated protein 1; SCA 4; SCA4.  
研究领域 细胞生物  神经生物学  
抗体来源 Rabbit
克隆类型 Polyclonal
克 隆 号
交叉反应 Mouse,Rat (predicted: Human,Sheep,Cow,Dog,Horse)
产品应用 WB=1:500-2000,IHC-P=1:100-500,IHC-F=1:100-500,IF=1:100-500
not yet tested in other applications.
optimal dilutions/concentrations should be determined by the end user.
理论分子量 131 kDa
检测分子量
细胞定位 细胞核 细胞浆 
性    状 Liquid
浓    度 1mg/ml
免 疫 原 KLH conjugated synthetic peptide derived from human Puratrophin 1/PLEKHG4: 945-1045/1191 
亚    型 IgG
纯化方法 affinity purified by Protein A
缓 冲 液 0.01M TBS (pH7.4) with 1% BSA, 0.02% Proclin300 and 50% Glycerol.
保存条件 Shipped at 4℃. Store at -20℃ for one year. Avoid repeated freeze/thaw cycles.
注意事项 This product as supplied is intended for research use only, not for use in human, therapeutic or diagnostic applications.
PubMed PubMed
产品介绍 The protein encoded by this gene contains multiple domains suggestive of a role in intracellular signaling and cytoskeleton dynamics at the Golgi apparatus. Mutations in this gene are associated with spinocerebellar ataxia 16q22-linked. Several alternatively spliced transcript variants, differing only in the 5' UTR, or encoding a different isoform, have been found for this gene. [provided by RefSeq, Jul 2008]

Function:
Expressed in kidney, Leydig cells in the testis, epithelial cells in the prostate gland and Langerhans islet in the pancreas. Isoform 1 and isoform 3 are strongly expressed in Purkinje cells and to a lower extent in other neurons (at protein level). Widely expressed at low levels. More strongly expressed in testis and pancreas.

Tissue Specificity:
Expressed in kidney, Leydig cells in thetestis, epithelial cells in the prostate gland and Langerhans isletin the pancreas. Isoform 1 and isoform 3 are strongly expressed inPurkinje cells and to a lower extent in other neurons (at proteinlevel). Widely expressed at low levels. More strongly expressed intestis and pancreas.

Similarity:
Contains 1 DH (DBL-homology) domain.
Contains 1 PH domain.

SWISS:
Q58EX7

Gene ID:
25894

Database links:

Entrez Gene: 25894 Human

Omim: 609526 Human

SwissProt: Q58EX7 Human

Unigene: 188781 Human



产品图片
Sample: Testis (Mouse) Lysate at 40 ug Primary: Anti- Puratrophin 1 (bs-11747R) at 1/1000 dilution Secondary: IRDye800CW Goat Anti-Rabbit IgG at 1/20000 dilution Predicted band size: 131 kD Observed band size: 131 kD
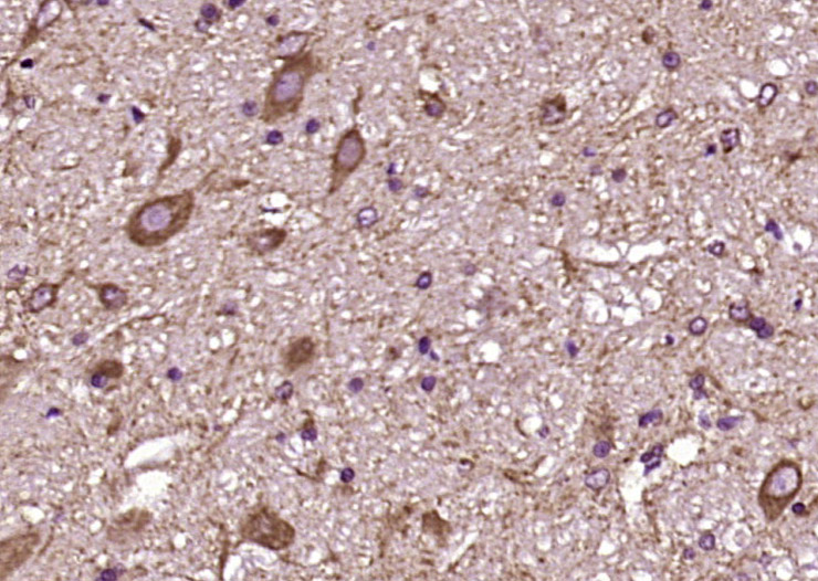
Paraformaldehyde-fixed, paraffin embedded (rat cerebellum); Antigen retrieval by boiling in sodium citrate buffer (pH6.0) for 15min; Block endogenous peroxidase by 3% hydrogen peroxide for 20 minutes; Blocking buffer (normal goat serum) at 37°C for 30min; Antibody incubation with (Puratrophin 1) Polyclonal Antibody, Unconjugated (bs-11747R) at 1:200 overnight at 4°C, followed by operating according to SP Kit(Rabbit) (sp-0023) instructionsand DAB staining.
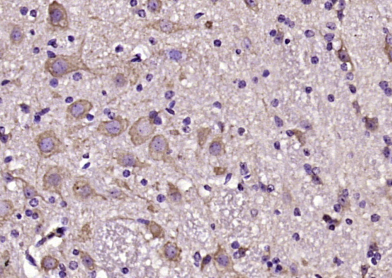
Paraformaldehyde-fixed, paraffin embedded (mouse cerebellum); Antigen retrieval by boiling in sodium citrate buffer (pH6.0) for 15min; Block endogenous peroxidase by 3% hydrogen peroxide for 20 minutes; Blocking buffer (normal goat serum) at 37°C for 30min; Antibody incubation with (Puratrophin 1) Polyclonal Antibody, Unconjugated (bs-11747R) at 1:200 overnight at 4°C, followed by operating according to SP Kit(Rabbit) (sp-0023) instructionsand DAB staining.
版权所有 2004-2026 www.bioss.com.cn 北京博奥森生物技术有限公司
通过国际质量管理体系ISO 9001:2015 GB/T 19001-2016    证书编号: 00124Q34771R2M/1100
通过国际医疗器械-质量管理体系ISO 13485:2016 GB/T 42061-2022    证书编号: CQC24QY10047R0M/1100
京ICP备05066980号-1         京公网安备110107000727号