扫码关注公众号           扫码咨询技术支持           扫码咨询技术服务
  
客服热线:400-901-9800  客服QQ:4009019800  技术答疑  技术支持  质量反馈  关于我们  联系我们
产品中心-北京博奥森生物技术有限公司
首页 > 产品中心 > 一抗 > 产品信息
Factor B Rabbit pAb (bs-6949R)  
订购热线:400-901-9800
订购邮箱:sales@bioss.com.cn
订购QQ:  400-901-9800
技术支持:techsupport@bioss.com.cn
50ul/1180.00元
100ul/1980.00元
200ul/2800.00元
大包装/询价

产品编号 bs-6949R
英文名称 Factor B Rabbit pAb
中文名称 补体因子B抗体
别    名 AHUS4; ARMD14; BF; BFD; CFAB; CFBD; FB; FBI12; GBG; H2-Bf; PBF2; C2; Da1-24; CFAB_HUMAN; CFB; C3/C5 convertase; Glycine-rich beta glycoprotein (GBG); Properdin factor B; 3.4.21.47; CFAB_MOUSE;   
Specific References  (1)     |     bs-6949R has been referenced in 1 publications.
[IF=2.96] Chen C et al. Alternative complement pathway is activated in the brains of scrapie-infected rodents. Med Microbiol Immunol. 2019 Nov 12.  IHC-P&IHF ;  Mouse&Chinese golden hamsters.  
研究领域 细胞生物  免疫学  信号转导  
抗体来源 Rabbit
克隆类型 Polyclonal
克 隆 号
交叉反应 Mouse,Rat (predicted: Human)
产品应用 WB=1:500-2000,IHC-P=1:100-500,IHC-F=1:100-500,IF=1:100-500
not yet tested in other applications.
optimal dilutions/concentrations should be determined by the end user.
理论分子量 55/81 kDa
细胞定位 分泌型蛋白 
性    状 Liquid
浓    度 1mg/ml
免 疫 原 KLH conjugated synthetic peptide derived from human Complement factor-B Bb fragment: 301-400/764 
亚    型 IgG
纯化方法 affinity purified by Protein A
缓 冲 液 0.01M TBS (pH7.4) with 1% BSA, 0.02% Proclin300 and 50% Glycerol.
保存条件 Shipped at 4℃. Store at -20℃ for one year. Avoid repeated freeze/thaw cycles.
注意事项 This product as supplied is intended for research use only, not for use in human, therapeutic or diagnostic applications.
PubMed PubMed
产品介绍 The complement component proteins, C3, C4 and C5, are potent anaphylatoxins that are released during complement activation. Binding of these proteins to their respective G protein-coupled receptors, C3aR, C1R and C5aR, induces proinflammatory events, such as cellular degranulation, smooth muscle contraction, arachidonic acid metabolism, cytokine release, leukocyte activation and cellular chemotaxis. Complement Factor B, also designated Properdin Factor B or PBF2, is part of the alternate pathway of the complement system and is cleaved by Factor D into two fragments: Ba and Bb. Bb combines with complement Factor 3b to produce the C3 or C5 convertase and plays a role in the differentiation and proliferation of preactivated B lymphocytes, lysis of erythrocytes, stimulation of lymphocyte blastogenesis and rapid spreading of peripheral blood monocytes. Ba is important in inhibiting the proliferation of preactivated B lymphocytes. Adipsin, also designated complement Factor D, is a serine protease that cleaves complement Factor B and may be involved in obesity. Factor H controls the function of the alternative complement pathway. FHR-1 (complement Factor H related protein 1) may play a role in lipid metabolism.

Function:
Factor B which is part of the alternate pathway of the complement system is cleaved by factor D into 2 fragments: Ba and Bb. Bb, a serine protease, then combines with complement factor 3b to generate the C3 or C5 convertase. It has also been implicated in proliferation and differentiation of preactivated B-lymphocytes, rapid spreading of peripheral blood monocytes, stimulation of lymphocyte blastogenesis and lysis of erythrocytes. Ba inhibits the proliferation of preactivated B-lymphocytes.

Subunit:
Monomer.

Subcellular Location:
Secreted.

DISEASE:
Defects in CFB are a cause of susceptibility to hemolytic uremic syndrome atypical type 4 (AHUS4) [MIM:612924]. An atypical form of hemolytic uremic syndrome. It is a complex genetic disease characterized by microangiopathic hemolytic anemia, thrombocytopenia, renal failure and absence of episodes of enterocolitis and diarrhea. In contrast to typical hemolytic uremic syndrome, atypical forms have a poorer prognosis, with higher death rates and frequent progression to end-stage renal disease. Note=Susceptibility to the development of atypical hemolytic uremic syndrome can be conferred by mutations in various components of or regulatory factors in the complement cascade system. Other genes may play a role in modifying the phenotype.

Similarity:
Belongs to the peptidase S1 family.
Contains 1 peptidase S1 domain.
Contains 3 Sushi (CCP/SCR) domains.
Contains 1 VWFA domain.

SWISS:
P00751

Gene ID:
629

Database links:

Entrez Gene: 629 Human

Entrez Gene: 14962 Mouse

Entrez Gene: 294257 Rat

Omim: 138470 Human

SwissProt: P00751 Human

SwissProt: P04186 Mouse

Unigene: 69771 Human

Unigene: 653 Mouse

Unigene: 109148 Rat



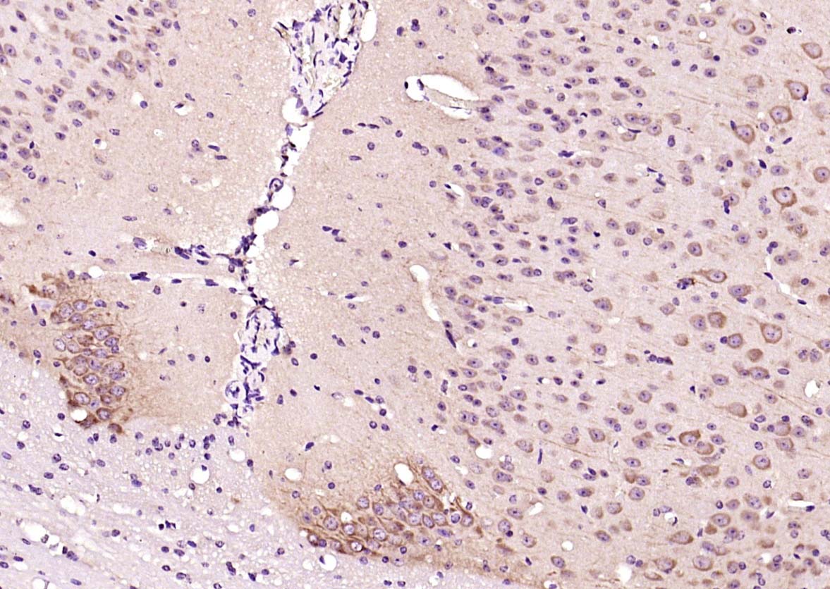
产品图片
Sample: Lane 1: Serum (Rat) at 40 ug Primary: Anti-Factor B (bs-6949R) at 1/1000 dilution Secondary: IRDye800CW Goat Anti-Rabbit IgG at 1/20000 dilution Predicted band size: 93 kD Observed band size: 100 kD
Paraformaldehyde-fixed, paraffin embedded (mouse brain); Antigen retrieval by boiling in sodium citrate buffer (pH6.0) for 15min; Block endogenous peroxidase by 3% hydrogen peroxide for 20 minutes; Blocking buffer (normal goat serum) at 37°C for 30min; Antibody incubation with (GDNF) Polyclonal Antibody, Unconjugated (bs-6949R Factor B) at 1:200 overnight at 4°C, followed by operating according to SP Kit(Rabbit) (sp-0023) instructionsand DAB staining.
版权所有 2004-2026 www.bioss.com.cn 北京博奥森生物技术有限公司
通过国际质量管理体系ISO 9001:2015 GB/T 19001-2016    证书编号: 00124Q34771R2M/1100
通过国际医疗器械-质量管理体系ISO 13485:2016 GB/T 42061-2022     证书编号: CQC24QY20047R0M/1100
京ICP备05066980号-1         京公网安备110107000727号