扫码关注公众号           扫码咨询技术支持           扫码咨询技术服务
  
客服热线:400-901-9800  客服QQ:4009019800  技术答疑  技术支持  质量反馈  关于我们  联系我们
产品中心-北京博奥森生物技术有限公司
首页 > 产品中心 > 一抗 > 产品信息
Calcipressin 3 Rabbit pAb (bs-11542R)  
订购热线:400-901-9800
订购邮箱:sales@bioss.com.cn
订购QQ:  400-901-9800
技术支持:techsupport@bioss.com.cn
50ul/1180.00元
100ul/1980.00元
200ul/2800.00元
大包装/询价

产品编号 bs-11542R
英文名称 Calcipressin 3 Rabbit pAb
中文名称 钙调神经磷酸酶调节蛋白3抗体(唐氏综合征候选区域蛋白1样蛋白3)
别    名 Calcipressin-3; Down syndrome candidate region 1 like 2; regulator of calcineurin 3; Down syndrome candidate region 1 like protein 2; Down syndrome candidate region 1-like protein 2; Down syndrome critical region gene 1 like 2; DSCR1L2; hRCN3; MCIP3; Myocyte enriched calcineurin interacting protein 3; Myocyte-enriched calcineurin-interacting protein 3; RCAN family member 3; RCAN3; RCAN3_HUMAN; RCN3; RCN3; MCIP3; Regulator of calcineurin 3.  
Specific References  (1)     |     bs-11542R has been referenced in 1 publications.
[IF=3.337] Zijun Wang. et al. Comprehensive Analysis of Aberrantly Expressed Competitive Endogenous RNA Network and Identification of Prognostic Biomarkers in Pheochromocytoma and Paraganglioma. Oncotargets Ther. 2020; 13: 11377–11395  IHC ;  Human.  
研究领域 细胞生物  神经生物学  信号转导  
抗体来源 Rabbit
克隆类型 Polyclonal
克 隆 号
交叉反应 Mouse,Rat (predicted: Human,Rabbit,Pig,Sheep,Cow,Chicken,Dog)
产品应用 WB=1:500-2000,IHC-P=1:100-500,IHC-F=1:100-500,IF=1:100-500
not yet tested in other applications.
optimal dilutions/concentrations should be determined by the end user.
理论分子量 27 kDa
检测分子量
细胞定位 细胞核 细胞浆 
性    状 Liquid
浓    度 1mg/ml
免 疫 原 KLH conjugated synthetic peptide derived from human Calcipressin 3: 151-241/241 
亚    型 IgG
纯化方法 affinity purified by Protein A
缓 冲 液 0.01M TBS (pH7.4) with 1% BSA, 0.02% Proclin300 and 50% Glycerol.
保存条件 Shipped at 4℃. Store at -20℃ for one year. Avoid repeated freeze/thaw cycles.
注意事项 This product as supplied is intended for research use only, not for use in human, therapeutic or diagnostic applications.
PubMed PubMed
产品介绍 Calcineurin is a Ca(2+) dependent protein phosphatase that is involed in several neuornal functions. Proteins belonging to the RCAN (Regulator of calcineurin) family modulate the activity of Calcineurin through a valine-rich region within their carboxyl tail. RCANs compete with NFATs (Nuclear factor of activated T-cells) for binding to the same docking site in calcineurin, which results in either inhibition or activation of calcineurin activity. Calcipressin-2, also known as RCAN2 and DSCR1L1 (Down syndrome candidate region 1-like 1), is a 197 amino acid protein that is highly expressed in both the cytoplasm and nucleus of neurons and is the only RCAN family member that is found in glial cells. Calcipressin-3, also known as RCAN3 and DSCR1L2 (Down syndrome candidate region 1-like protein 2), is a 241 amino acid protein that potentially is involved in central nervous system development. Calcipressin-3 interacts with cardiac troponin I, suggesting that it may play a role in cardiac contraction events.

Function:
Inhibits calcineurin-dependent transcriptional responses by binding to the catalytic domain of calcineurin A. Could play a role during central nervous system development.

Tissue Specificity:
Highest expression in heart, skeletal muscle kidney, liver and peripheral blood leukocytes. Lower expression in all other tissues.

Similarity:
Belongs to the RCAN family.

SWISS:
Q9UKA8

Gene ID:
11123

Database links:

Entrez Gene: 11123 Human

Entrez Gene: 53902 Mouse

Omim: 605860 Human

SwissProt: Q9UKA8 Human

SwissProt: Q9JKK0 Mouse

Unigene: 656799 Human

Unigene: 331970 Mouse



产品图片
Sample: Liver (Mouse) Lysate at 40 ug Primary: Anti- Calcipressin 3 (bs-11542R) at 1/1000 dilution Secondary: IRDye800CW Goat Anti-Rabbit IgG at 1/20000 dilution Predicted band size: 27 kD Observed band size: 27 kD
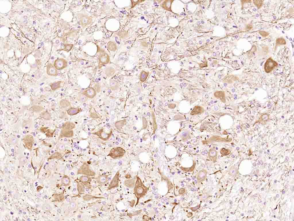
Paraformaldehyde-fixed, paraffin embedded (rat brain); Antigen retrieval by boiling in sodium citrate buffer (pH6.0) for 15min; Block endogenous peroxidase by 3% hydrogen peroxide for 20 minutes; Blocking buffer (normal goat serum) at 37°C for 30min; Antibody incubation with (Calcipressin 3) Polyclonal Antibody, Unconjugated (bs-11542R) at 1:200 overnight at 4°C, followed by operating according to SP Kit(Rabbit) (sp-0023) instructionsand DAB staining.
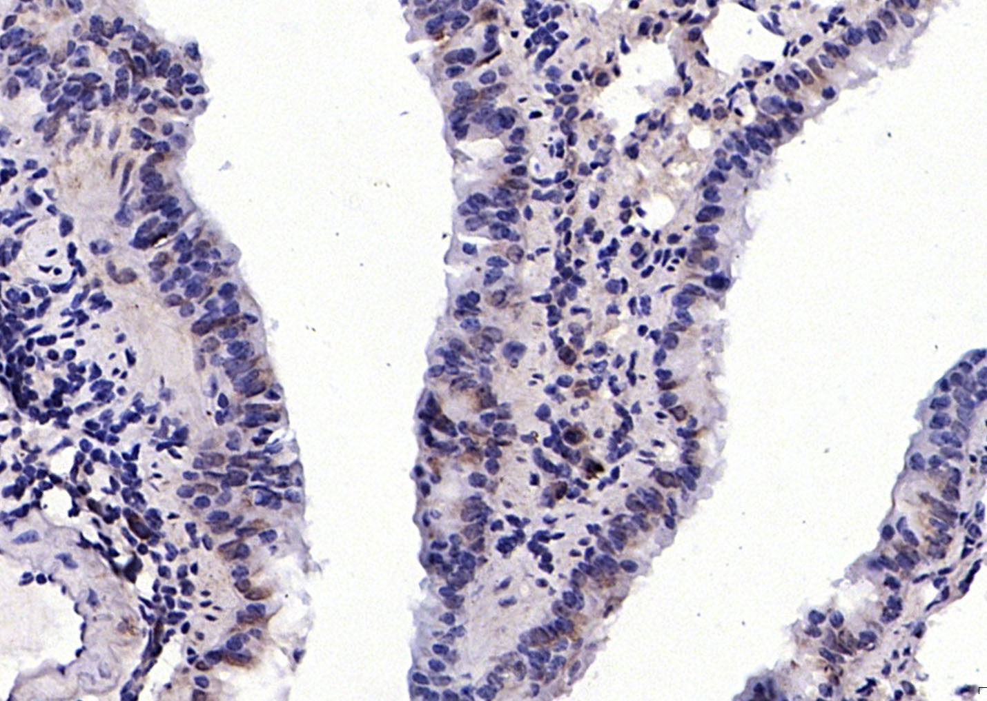
Paraformaldehyde-fixed, paraffin embedded (mouse lung); Antigen retrieval by boiling in sodium citrate buffer (pH6.0) for 15min; Block endogenous peroxidase by 3% hydrogen peroxide for 20 minutes; Blocking buffer (normal goat serum) at 37°C for 30min; Antibody incubation with (Calcipressin 3) Polyclonal Antibody, Unconjugated (bs-11542R) at 1:200 overnight at 4°C, followed by operating according to SP Kit(Rabbit) (sp-0023) instructionsand DAB staining.
版权所有 2004-2026 www.bioss.com.cn 北京博奥森生物技术有限公司
通过国际质量管理体系ISO 9001:2015 GB/T 19001-2016    证书编号: 00124Q34771R2M/1100
通过国际医疗器械-质量管理体系ISO 13485:2016 GB/T 42061-2022    证书编号: CQC24QY10047R0M/1100
京ICP备05066980号-1         京公网安备110107000727号