扫码关注公众号           扫码咨询技术支持           扫码咨询技术服务
  
客服热线:400-901-9800  客服QQ:4009019800  技术答疑  技术支持  质量反馈  关于我们  联系我们
产品中心-北京博奥森生物技术有限公司
首页 > 产品中心 > 一抗 > 产品信息
SPAG16 Rabbit pAb (bs-11485R)  
订购热线:400-901-9800
订购邮箱:sales@bioss.com.cn
订购QQ:  400-901-9800
技术支持:techsupport@bioss.com.cn
50ul/1180.00元
100ul/1980.00元
200ul/2800.00元
大包装/询价

产品编号 bs-11485R
英文名称 SPAG16 Rabbit pAb
中文名称 精子相关蛋白16抗体
别    名 PF20; pf20 protein homolog; sperm associated antigen 16; sperm associated WD repeat protein; WD repeat domain 29; WRD29; SPG16_HUMAN.  
研究领域 细胞生物  发育生物学  神经生物学  
抗体来源 Rabbit
克隆类型 Polyclonal
克 隆 号
交叉反应 Mouse,Rat (predicted: Human,Rabbit,Sheep,Cow,Dog,Horse)
产品应用 WB=1:500-2000,IHC-P=1:100-500,IHC-F=1:100-500,IF=1:100-500
not yet tested in other applications.
optimal dilutions/concentrations should be determined by the end user.
理论分子量 71 kDa
检测分子量
细胞定位 细胞浆 
性    状 Liquid
浓    度 1mg/ml
免 疫 原 KLH conjugated synthetic peptide derived from human SPAG16: 439-485/631 
亚    型 IgG
纯化方法 affinity purified by Protein A
缓 冲 液 0.01M TBS (pH7.4) with 1% BSA, 0.02% Proclin300 and 50% Glycerol.
保存条件 Shipped at 4℃. Store at -20℃ for one year. Avoid repeated freeze/thaw cycles.
注意事项 This product as supplied is intended for research use only, not for use in human, therapeutic or diagnostic applications.
PubMed PubMed
产品介绍 Cilia and flagella are comprised of a microtubular backbone, the axoneme, which is organized by the basal body and surrounded by plasma membrane. SPAG16 encodes 2 major proteins that associate with the axoneme of sperm tail and the nucleus of postmeiotic germ cells, respectively (Zhang et al., 2007 [PubMed 17699735]).[supplied by OMIM, Jul 2008]

Function:
Necessary for sperm flagellar function. Plays a role in motile ciliogenesis. May help to recruit STK36 to the cilium or apical surface of the cell to initiate subsequent steps of construction of the central pair apparatus of motile cilia

Subunit:
Interacts with SPAG6 and STK36

Subcellular Location:
Cytoplasm. Cytoplasm, cytoskeleton, flagellum axoneme. Cytoplasm, cytoskeleton, cilium axoneme. Note=Detected on the sperm flagellum axoneme. Detected in the central apparatus of the axoneme. Colocalizes with SPAG6 on microtubules.

Tissue Specificity:
Isoform 1 is detected in testis. Isoform 4 is detected in testis and brain, and at lower levels in kidney, heart, pancreas, thyroid, ovary, adrenal gland, spinal cord, trachea and liver.

Post-translational modifications:
Phosphorylated by TSSK2

Similarity:
Contains 7 WD repeats.

SWISS:
Q8N0X2

Gene ID:
79582

Database links:

Entrez Gene: 79582 Human

Entrez Gene: 66722 Mouse

Omim: 612173 Human

SwissProt: Q8N0X2 Human

SwissProt: Q8K450 Mouse



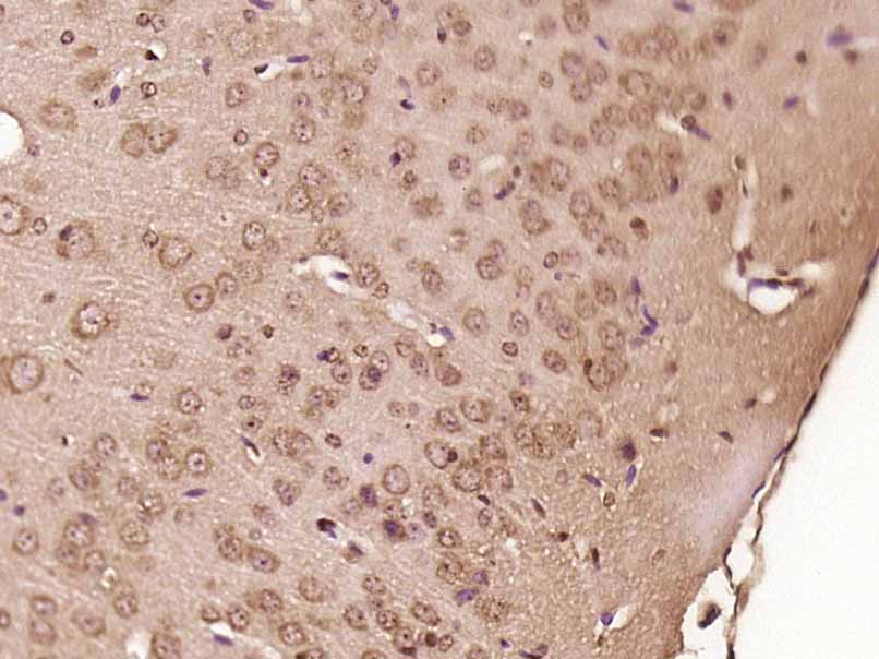
产品图片
Sample: Testis (Rat) Lysate at 40 ug Primary: Anti-SPAG16 (bs-11485R) at 1/1000 dilution Secondary: IRDye800CW Goat Anti-Rabbit IgG at 1/20000 dilution Predicted band size: 71 kD Observed band size: 71 kD
Paraformaldehyde-fixed, paraffin embedded (Mouse brain); Antigen retrieval by boiling in sodium citrate buffer (pH6.0) for 15min; Block endogenous peroxidase by 3% hydrogen peroxide for 20 minutes; Blocking buffer (normal goat serum) at 37°C for 30min; Antibody incubation with (SPAG16) Polyclonal Antibody, Unconjugated (bs-11485R) at 1:400 overnight at 4°C, followed by operating according to SP Kit(Rabbit) (sp-0023) instructionsand DAB staining.
版权所有 2004-2026 www.bioss.com.cn 北京博奥森生物技术有限公司
通过国际质量管理体系ISO 9001:2015 GB/T 19001-2016    证书编号: 00124Q34771R2M/1100
通过国际医疗器械-质量管理体系ISO 13485:2016 GB/T 42061-2022     证书编号: CQC24QY20047R0M/1100
京ICP备05066980号-1         京公网安备110107000727号