扫码关注公众号           扫码咨询技术支持           扫码咨询技术服务
  
客服热线:400-901-9800  客服QQ:4009019800  技术答疑  技术支持  质量反馈  人才招聘  关于我们  联系我们
产品中心-北京博奥森生物技术有限公司
首页 > 产品中心 > 一抗 > 产品信息
CRY2 Rabbit pAb (bs-11447R)  
订购热线:400-901-9800
订购邮箱:sales@bioss.com.cn
订购QQ:  400-901-9800
技术支持:techsupport@bioss.com.cn
50ul/1180.00元
100ul/1980.00元
200ul/2800.00元
大包装/询价

产品编号 bs-11447R
英文名称 CRY2 Rabbit pAb
中文名称 隐色素-2抗体
别    名 HCRY2; PHLL2; D130054K12Rik; CRY2_HUMAN; CRY2; KIAA0658; CRY2_MOUSE;   
Specific References  (2)     |     bs-11447R has been referenced in 2 publications.
[IF=1.778] Zhao Shu-Qin. et al. The in vitro effects of melatonin and Cry gene on the secretion of estradiol from camel ovarian granulosa cells. Domest Anim Endocrin. 2021 Jan;74:106497  WB,IF ;  Camel.  
[IF=1.778] S.-Q. Zhao. et al. cAMP/PKA/CREB signaling pathway-mediated effects of melatonin receptor genes on clock gene expression in Bactrian camel ovarian granulosa cells. Domest Anim Endocrin. 2021 Jul;76:106609  IHC ;  Camel.  
研究领域 细胞生物  神经生物学  
抗体来源 Rabbit
克隆类型 Polyclonal
克 隆 号
交叉反应 Rat (predicted: Human,Mouse,Pig,Sheep,Cow,Chicken,Dog,Horse)
产品应用 IHC-P=1:100-500,IHC-F=1:100-500,IF=1:100-500
not yet tested in other applications.
optimal dilutions/concentrations should be determined by the end user.
理论分子量 65 kDa
细胞定位 细胞核 细胞浆 
性    状 Liquid
浓    度 1mg/ml
免 疫 原 KLH conjugated synthetic peptide derived from human Cryptochrome 2: 241-340/593 
亚    型 IgG
纯化方法 affinity purified by Protein A
缓 冲 液 0.01M TBS (pH7.4) with 1% BSA, 0.02% Proclin300 and 50% Glycerol.
保存条件 Shipped at 4℃. Store at -20℃ for one year. Avoid repeated freeze/thaw cycles.
注意事项 This product as supplied is intended for research use only, not for use in human, therapeutic or diagnostic applications.
PubMed PubMed
产品介绍 This gene encodes a flavin adenine dinucleotide-binding protein that is a key component of the circadian core oscillator complex, which regulates the circadian clock. This gene is upregulated by CLOCK/ARNTL heterodimers but then represses this upregulation in a feedback loop using PER/CRY heterodimers to interact with CLOCK/ARNTL. Polymorphisms in this gene have been associated with altered sleep patterns. The encoded protein is widely conserved across plants and animals. Two transcript variants encoding different isoforms have been found for this gene. [provided by RefSeq, Feb 2014]

Function:
Transcriptional repressor which forms a core component of the circadian clock. The circadian clock, an internal time-keeping system, regulates various physiological processes through the generation of approximately 24 hour circadian rhythms in gene expression, which are translated into rhythms in metabolism and behavior. It is derived from the Latin roots 'circa' (about) and 'diem' (day) and acts as an important regulator of a wide array of physiological functions including metabolism, sleep, body temperature, blood pressure, endocrine, immune, cardiovascular, and renal function. Consists of two major components: the central clock, residing in the suprachiasmatic nucleus (SCN) of the brain, and the peripheral clocks that are present in nearly every tissue and organ system. Both the central and peripheral clocks can be reset by environmental cues, also known as Zeitgebers (German for 'timegivers'). The predominant Zeitgeber for the central clock is light, which is sensed by retina and signals directly to the SCN. The central clock entrains the peripheral clocks through neuronal and hormonal signals, body temperature and feeding-related cues, aligning all clocks with the external light/dark cycle. Circadian rhythms allow an organism to achieve temporal homeostasis with its environment at the molecular level by regulating gene expression to create a peak of protein expression once every 24 hours to control when a particular physiological process is most active with respect to the solar day. Transcription and translation of core clock components (CLOCK, NPAS2, ARNTL/BMAL1, ARNTL2/BMAL2, PER1, PER2, PER3, CRY1 and CRY2) plays a critical role in rhythm generation, whereas delays imposed by post-translational modifications (PTMs) are important for determining the period (tau) of the rhythms (tau refers to the period of a rhythm and is the length, in time, of one complete cycle). A diurnal rhythm is synchronized with the day/night cycle, while the ultradian and infradian rhythms have a period shorter and longer than 24 hours, respectively. Disruptions in the circadian rhythms contribute to the pathology of cardiovascular diseases, cancer, metabolic syndromes and aging. A transcription/translation feedback loop (TTFL) forms the core of the molecular circadian clock mechanism. Transcription factors, CLOCK or NPAS2 and ARNTL/BMAL1 or ARNTL2/BMAL2, form the positive limb of the feedback loop, act in the form of a heterodimer and activate the transcription of core clock genes and clock-controlled genes (involved in key metabolic processes), harboring E-box elements (5'-CACGTG-3') within their promoters. The core clock genes: PER1/2/3 and CRY1/2 which are transcriptional repressors form the negative limb of the feedback loop and interact with the CLOCK|NPAS2-ARNTL/BMAL1|ARNTL2/BMAL2 heterodimer inhibiting its activity and thereby negatively regulating their own expression. This heterodimer also activates nuclear receptors NR1D1/2 and RORA/B/G, which form a second feedback loop and which activate and repress ARNTL/BMAL1 transcription, respectively. CRY1 and CRY2 have redundant functions but also differential and selective contributions at least in defining the pace of the SCN circadian clock and its circadian transcriptional outputs. Less potent transcriptional repressor in cerebellum and liver than CRY1, though less effective in lengthening the period of the SCN oscillator. Seems to play a critical role in tuning SCN circadian period by opposing the action of CRY1. With CRY1, dispensable for circadian rhythm generation but necessary for the development of intercellular networks for rhythm synchrony. May mediate circadian regulation of cAMP signaling and gluconeogenesis by blocking glucagon-mediated increases in intracellular cAMP concentrations and in CREB1 phosphorylation. Besides its role in the maintenance of the circadian clock, is also involved in the regulation of other processes. Plays a key role in glucose and lipid metabolism modulation, in part, through the transcriptional regulation of genes involved in these pathways, such as LEP or ACSL4. Represses glucocorticoid receptor NR3C1/GR-induced transcriptional activity by binding to glucocorticoid response elements (GREs). Represses the CLOCK-ARNTL/BMAL1 induced transcription of BHLHE40/DEC1. Represses the CLOCK-ARNTL/BMAL1 induced transcription of NAMPT. Represses PPARD and its target genes in the skeletal muscle and limits exercise capacity. Represses the transcriptional activity of NR1I2.

Subunit:
Component of the circadian core oscillator, which includes the CRY proteins, CLOCK or NPAS2, ARNTL or ARNTL2, CSNK1D and/or CSNK1E, TIMELESS, and the PER proteins. Interacts directly with PER1 and PER2 C-terminal domains. Interaction with PER2 inhibits its ubiquitination and vice versa. Interacts with NFIL3. Interacts with FBXL3.

Subcellular Location:
Cytoplasm. Nucleus. Translocated to the nucleus through interaction with other Clock proteins such as PER2 or ARNTL.

Tissue Specificity:
Expressed in all tissues examined including fetal brain, fibroblasts, heart, brain, placenta, lung, liver, skeletal muscle, kidney, pancreas, spleen, thymus, prostate, testis, ovary, small intestine, colon and leukocytes. Highest levels in heart and skeletal muscle.

Post-translational modifications:
Phosphorylation on Ser-266 by MAPK is important for the inhibition of CLOCK-ARNTL-mediated transcriptional activity. Phosphorylation by CSKNE requires interaction with PER1 or PER2.
Ubiquitinated by the SCF(FBXL3) and SCF(FBXL21) complex, leading to its degradation.

Similarity:
Belongs to the DNA photolyase class-1 family.
Contains 1 DNA photolyase domain.

SWISS:
Q49AN0

Gene ID:
1408

Database links:

Entrez Gene: 1408 Human

Entrez Gene: 12953 Mouse

Omim: 603732 Human

SwissProt: Q49AN0 Human

SwissProt: Q9R194 Mouse

Unigene: 532491 Human

Unigene: 254181 Mouse



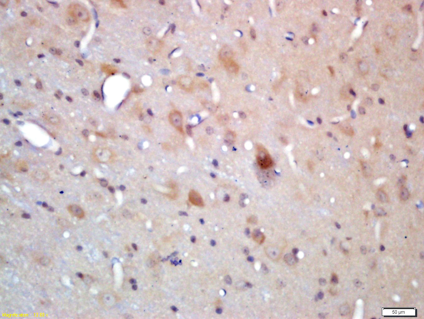
产品图片
Tissue/cell: rat brain tissue; 4% Paraformaldehyde-fixed and paraffin-embedded; Antigen retrieval: citrate buffer ( 0.01M, pH 6.0 ), Boiling bathing for 15min; Block endogenous peroxidase by 3% Hydrogen peroxide for 30min; Blocking buffer (normal goat serum,C-0005) at 37℃ for 20 min; Incubation: Anti-CRY2 Polyclonal Antibody, Unconjugated(bs-11447R) 1:200, overnight at 4°C, followed by conjugation to the secondary antibody(SP-0023) and DAB(C-0010) staining
版权所有 2004-2026 www.bioss.com.cn 北京博奥森生物技术有限公司
通过国际质量管理体系ISO 9001:2015 GB/T 19001-2016    证书编号: 00124Q34771R2M/1100
通过国际医疗器械-质量管理体系ISO 13485:2016 GB/T 42061-2022     证书编号: CQC24QY20047R0M/1100
京ICP备05066980号-1         京公网安备110107000727号