扫码关注公众号           扫码咨询技术支持           扫码咨询技术服务
  
客服热线:400-901-9800  客服QQ:4009019800  技术答疑  技术支持  质量反馈  关于我们  联系我们
产品中心-北京博奥森生物技术有限公司
首页 > 产品中心 > 一抗 > 产品信息
GCX1/C20orf100 Rabbit pAb (bs-11402R)  
订购热线:400-901-9800
订购邮箱:sales@bioss.com.cn
订购QQ:  400-901-9800
技术支持:techsupport@bioss.com.cn
50ul/1180.00元
100ul/1980.00元
200ul/2800.00元
大包装/询价

产品编号 bs-11402R
英文名称 GCX1/C20orf100 Rabbit pAb
中文名称 20号染色体开放阅读框100抗体
别    名 Chromosome 20 open reading frame 100; Chromosome 20 open reading frame 100; dJ1108D11.2; dJ495O3.1; GCX 1; GCX1; GCX-1; Granulosa cell HMG box protein 1; MGC15880; Weakly similar to NONHISTONE CHROMOSOMAL PROTEIN 6A [S.cerevisiae]; Weakly similar to NONHISTONE CHROMOSOMAL PROTEIN 6A [S.cerevisiae]; TOX2_HUMAN.  
研究领域 细胞生物  神经生物学  信号转导  表观遗传学  
抗体来源 Rabbit
克隆类型 Polyclonal
克 隆 号
交叉反应 Mouse (predicted: Human,Rat,Rabbit,Pig,Sheep,Cow,Dog,Horse)
产品应用 IHC-P=1:100-500,IHC-F=1:100-500,IF=1:100-500
not yet tested in other applications.
optimal dilutions/concentrations should be determined by the end user.
理论分子量 52 kDa
检测分子量
细胞定位 细胞核 
性    状 Liquid
浓    度 1mg/ml
免 疫 原 KLH conjugated synthetic peptide derived from human GCX1/C20orf100: 201-300/488 
亚    型 IgG
纯化方法 affinity purified by Protein A
缓 冲 液 0.01M TBS (pH7.4) with 1% BSA, 0.02% Proclin300 and 50% Glycerol.
保存条件 Shipped at 4℃. Store at -20℃ for one year. Avoid repeated freeze/thaw cycles.
注意事项 This product as supplied is intended for research use only, not for use in human, therapeutic or diagnostic applications.
PubMed PubMed
产品介绍 GCX-1 is a 488 amino acid transcription activator that is restricted to expression in the hypothalamus, pituitary, ovary, testis and uterus. Human reproduction is controlled by the hypothalamic-pituitary gonadal axis (HPGA) that is laid down early in fetal development. This expression pattern in the HPGA suggests that this nuclear protein is likely related to specific events in reproduction, particularly in the female. GCX-1 contains a HMG-box domain, which is commonly found in proteins that function as intercellular regulators and transcriptional co-regulators, and are found to be involved in important events such as sex determination and in the regulation of T cell differentiation. There are two isoforms of GCX-1 which are produced as a result of alternative splicing events.

Function:
C20orf100 is a putative transcriptional activator involved in the hypothalamo-pituitary-gonadal system. It may regulate follicular development and other processes related to female reproduction.

Subcellular Location:
Nuclear

Similarity:
Contains 1 HMG box DNA-binding domain.

SWISS:
Q96NM4

Gene ID:
84969

Database links:

Entrez Gene: 84969 Human

Entrez Gene: 269389 Mouse

Entrez Gene: 311615 Rat

Omim: 611163 Human

SwissProt: Q96NM4 Human

SwissProt: Q76IQ7 Rat

Unigene: 26608 Human

Unigene: 129021 Rat



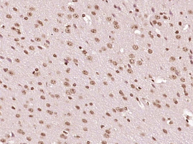
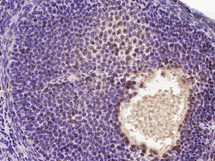
产品图片
Paraformaldehyde-fixed, paraffin embedded (Mouse brain); Antigen retrieval by boiling in sodium citrate buffer (pH6.0) for 15min; Block endogenous peroxidase by 3% hydrogen peroxide for 20 minutes; Blocking buffer (normal goat serum) at 37°C for 30min; Antibody incubation with (GCX1 C20orf100) Polyclonal Antibody, Unconjugated (bs-11402R) at 1:400 overnight at 4°C, followed by operating according to SP Kit(Rabbit) (sp-0023) instructions and DAB staining.
Paraformaldehyde-fixed, paraffin embedded (Mouse ovary); Antigen retrieval by boiling in sodium citrate buffer (pH6.0) for 15min; Block endogenous peroxidase by 3% hydrogen peroxide for 20 minutes; Blocking buffer (normal goat serum) at 37°C for 30min; Antibody incubation with (GCX1 C20orf100) Polyclonal Antibody, Unconjugated (bs-11402R) at 1:400 overnight at 4°C, followed by operating according to SP Kit(Rabbit) (sp-0023) instructions and DAB staining.
版权所有 2004-2026 www.bioss.com.cn 北京博奥森生物技术有限公司
通过国际质量管理体系ISO 9001:2015 GB/T 19001-2016    证书编号: 00124Q34771R2M/1100
通过国际医疗器械-质量管理体系ISO 13485:2016 GB/T 42061-2022     证书编号: CQC24QY20047R0M/1100
京ICP备05066980号-1         京公网安备110107000727号