扫码关注公众号           扫码咨询技术支持           扫码咨询技术服务
  
客服热线:400-901-9800  客服QQ:4009019800  技术答疑  技术支持  质量反馈  人才招聘  关于我们  联系我们
产品中心-北京博奥森生物技术有限公司
首页 > 产品中心 > 一抗 > 产品信息
AADAC Rabbit pAb (bs-11384R)  
订购热线:400-901-9800
订购邮箱:sales@bioss.com.cn
订购QQ:  400-901-9800
技术支持:techsupport@bioss.com.cn
50ul/1180.00元
100ul/1980.00元
200ul/2800.00元
大包装/询价

产品编号 bs-11384R
英文名称 AADAC Rabbit pAb
中文名称 芳香乙酰胺脱乙酰基酶抗体
别    名 CES5A1; DAC; 5033417E09Rik; Aada; AAAD_HUMAN; AADAC; 3.1.1.3; AAAD_MOUSE; AAAD_RAT;   
研究领域 肿瘤  细胞生物  信号转导  
抗体来源 Rabbit
克隆类型 Polyclonal
克 隆 号
交叉反应 Mouse,Rat (predicted: Human,Rabbit,Pig,Sheep,Cow,Horse)
产品应用 WB=1:500-2000,IHC-P=1:100-500,IHC-F=1:100-500,IF=1:100-500
not yet tested in other applications.
optimal dilutions/concentrations should be determined by the end user.
理论分子量 46 kDa
细胞定位 细胞浆 细胞膜 
性    状 Liquid
浓    度 1mg/ml
免 疫 原 KLH conjugated synthetic peptide derived from human AADAC: 228-273/399 
亚    型 IgG
纯化方法 affinity purified by Protein A
缓 冲 液 0.01M TBS (pH7.4) with 1% BSA, 0.02% Proclin300 and 50% Glycerol.
保存条件 Shipped at 4℃. Store at -20℃ for one year. Avoid repeated freeze/thaw cycles.
注意事项 This product as supplied is intended for research use only, not for use in human, therapeutic or diagnostic applications.
PubMed PubMed
产品介绍 The assembly of very-low-density lipoproteins (VLDLs) in the secretory apparatus of the hepatocyte relies on the mobilization of triacylglycerol (TAG) from the cytosolic pool by lipolysis and re-esterification. However, some of the re-esterified TAG products are returned to the cytosolic pool in the liver, which protects vulnerable body tissues from excess lipotoxic non-esterified fatty acids in the plasma. Some of the lipases involved in this process include arylacetamide deacetylase (AADAC) and its related proteins AADACL1 and AADACL2. AADAC, a single pass type II membrane protein of the endoplasmic reticulum, is expressed in hepatocytes, intestinal mucosal cells, pancreas and adrenal gland. It plays an important role in the metabolic activation of arylamine substrates to ultimate carcinogens. AADACL1 hydrolyzes the metabolic intermediate 2-acetyl monoalkylglycerol, and its inactivation results in disruption of ether lipid metabolism in cancer cells and impaired cell migration and tumor growth.

Function:
Arylacetamide deacetylation is an important enzyme activity in the metabolic activation of arylamine substrates to ultimate carcinogens. Displays major serine hydrolase activity in liver microsomes. Hydrolyzes also flutamide, which is an antiandrogen drug used for the treatment of prostate cancer that occasionaly causes severe hepatotoxicity. Displays cellular triglyceride lipase activity in liver. Increases intracellular fatty acids derived from hydrolysis of newly formed triglyceride stores.

Subcellular Location:
Endoplasmic reticulum membrane. Microsome membrane.

Tissue Specificity:
Mainly expressed in liver, small intestine, colon and adrenal gland.

Similarity:
Belongs to the 'GDXG' lipolytic enzyme family.

SWISS:
P22760

Gene ID:
13

Database links:

Entrez Gene: 13 Human

Entrez Gene: 67758 Mouse

Entrez Gene: 57300 Rat

Omim: 600338 Human

SwissProt: P22760 Human

SwissProt: Q99PG0 Mouse

SwissProt: Q9QZH8 Rat



产品图片
Sample: Small intestine (Mouse) Lysate at 40 ug Primary: Anti-AADAC (bs-11384R) at 1/300 dilution Secondary: IRDye800CW Goat Anti-Rabbit IgG at 1/20000 dilution Predicted band size: 46 kD Observed band size: 46 kD
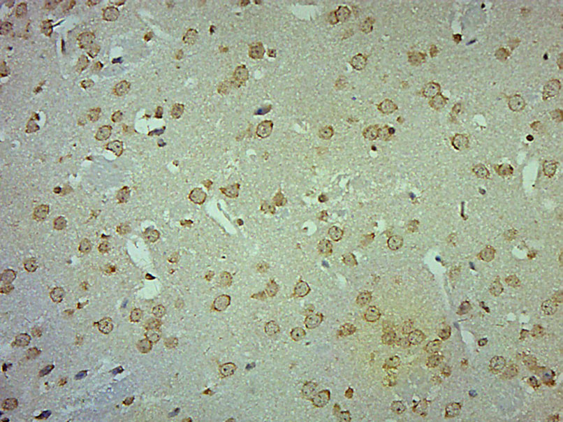
Paraformaldehyde-fixed, paraffin embedded (Rat brain); Antigen retrieval by boiling in sodium citrate buffer (pH6.0) for 15min; Block endogenous peroxidase by 3% hydrogen peroxide for 20 minutes; Blocking buffer (normal goat serum) at 37°C for 30min; Antibody incubation with (AADAC ) Polyclonal Antibody, Unconjugated (bs-11384R) at 1:400 overnight at 4°C, followed by operating according to SP Kit(Rabbit) (sp-0023) instructionsand DAB staining.
Paraformaldehyde-fixed, paraffin embedded (Mouse brain); Antigen retrieval by boiling in sodium citrate buffer (pH6.0) for 15min; Block endogenous peroxidase by 3% hydrogen peroxide for 20 minutes; Blocking buffer (normal goat serum) at 37°C for 30min; Antibody incubation with (AADAC ) Polyclonal Antibody, Unconjugated (bs-11384R) at 1:400 overnight at 4°C, followed by operating according to SP Kit(Rabbit) (sp-0023) instructionsand DAB staining.
版权所有 2004-2026 www.bioss.com.cn 北京博奥森生物技术有限公司
通过国际质量管理体系ISO 9001:2015 GB/T 19001-2016    证书编号: 00124Q34771R2M/1100
通过国际医疗器械-质量管理体系ISO 13485:2016 GB/T 42061-2022     证书编号: CQC24QY20047R0M/1100
京ICP备05066980号-1         京公网安备110107000727号