扫码关注公众号           扫码咨询技术支持           扫码咨询技术服务
  
客服热线:400-901-9800  客服QQ:4009019800  技术答疑  技术支持  质量反馈  人才招聘  关于我们  联系我们
产品中心-北京博奥森生物技术有限公司
首页 > 产品中心 > 一抗 > 产品信息
Syntaxin 13 Rabbit pAb (bs-11378R)  
订购热线:400-901-9800
订购邮箱:sales@bioss.com.cn
订购QQ:  400-901-9800
技术支持:techsupport@bioss.com.cn
50ul/1180.00元
100ul/1980.00元
200ul/2800.00元
大包装/询价

产品编号 bs-11378R
英文名称 Syntaxin 13 Rabbit pAb
中文名称 神经突触素13抗体
别    名 Stx13; Syn13; STX12_MOUSE; Stx12; STX12_HUMAN; STX14;   
Specific References  (1)     |     bs-11378R has been referenced in 1 publications.
[IF=4.4] Otero et al. Fast axonal transport of the proteasome complex depends on membrane interaction and molecular motor function. (2014) J.Cell.Sci. 127:1537-49  WB ;  Mouse.  
研究领域 细胞生物  神经生物学  
抗体来源 Rabbit
克隆类型 Polyclonal
克 隆 号
交叉反应 Mouse (predicted: Human,Rat,Pig,Sheep,Cow,Dog,Horse)
产品应用 IHC-P=1:100-500,IHC-F=1:100-500,IF=1:100-500
not yet tested in other applications.
optimal dilutions/concentrations should be determined by the end user.
理论分子量 31 kDa
细胞定位 细胞浆 
性    状 Liquid
浓    度 1mg/ml
免 疫 原 KLH conjugated synthetic peptide derived from rat Syntaxin 13: 101-200/274 
亚    型 IgG
纯化方法 affinity purified by Protein A
缓 冲 液 0.01M TBS (pH7.4) with 1% BSA, 0.02% Proclin300 and 50% Glycerol.
保存条件 Shipped at 4℃. Store at -20℃ for one year. Avoid repeated freeze/thaw cycles.
注意事项 This product as supplied is intended for research use only, not for use in human, therapeutic or diagnostic applications.
PubMed PubMed
产品介绍 Syntaxin 13 is an integral membrane protein that belongs to the t-SNARE family, a group of proteins involved in protein transport. Confocal immunofluoresence and electron microscopy studies have shown that syntaxin 13 is primarily localized to tubular early and recycling endosomes, where it colocalizes with transferrin receptor, and it is also localized in endosomal vacuoles. Syntaxin 13 has been found to be expressed in all tissues, with higher levels of the protein found in brain, lung, spleen, thymus and testes. Immunoprecipitation studies show that syntaxin 13 complexes with beta-SNAP, VAMP2/3, and SNAP25. The binding of this complex to alpha-SNAP and NSF is terminated in the presence of ATP. These results suggest that syntaxin 13 is a SNARE protein which mediates the recycling protein flow through tubulo vesicular recycling endosomes.

Function:
SNARE that acts to regulate protein transport between endosomes and the trans-Golgi network (By similarity). The SNARE complex containing STX6, STX12, VAMP4 and VTI1A mediates vesicle fusion (in vitro).

Subunit:
Associates with the BLOC-1 complex. Interacts with BLOC1S6 (By similarity). Interacts with NAPA and SNAP23. Identified in a complex containing STX6, STX12, VAMP4 and VTI1A.

Subcellular Location:
Endosome membrane; Single-pass type IV membrane protein. Golgi apparatus membrane; Single-pass type IV membrane protein. Endomembrane system; Single-pass type IV membrane protein; Cytoplasmic side (Potential).

Tissue Specificity:
Ubiquitous. Highly expressed in brain.

Similarity:
Belongs to the syntaxin family.
Contains 1 t-SNARE coiled-coil homology domain.

Gene ID:
65033

Database links:
UniProtKB/Swiss-Prot: G3V7P1.1

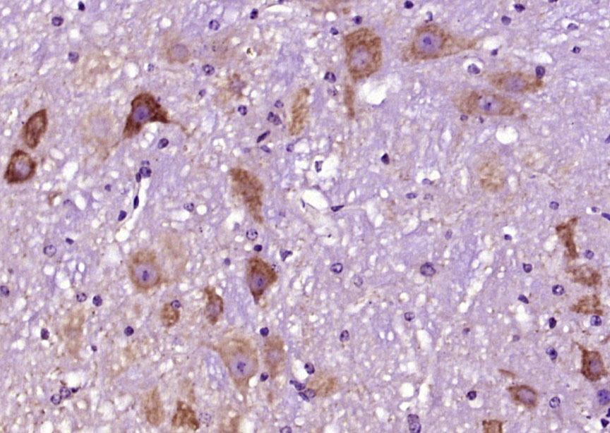
产品图片
Paraformaldehyde-fixed, paraffin embedded (mouse brain tissue); Antigen retrieval by boiling in sodium citrate buffer (pH6.0) for 15min; Block endogenous peroxidase by 3% hydrogen peroxide for 20 minutes; Blocking buffer (normal goat serum) at 37°C for 30min; Antibody incubation with (Syntaxin 13) Polyclonal Antibody, Unconjugated (bs-11378R) at 1:400 overnight at 4°C, followed by operating according to SP Kit(Rabbit) (sp-0023) instructionsand DAB staining.
版权所有 2004-2026 www.bioss.com.cn 北京博奥森生物技术有限公司
通过国际质量管理体系ISO 9001:2015 GB/T 19001-2016    证书编号: 00124Q34771R2M/1100
通过国际医疗器械-质量管理体系ISO 13485:2016 GB/T 42061-2022     证书编号: CQC24QY20047R0M/1100
京ICP备05066980号-1         京公网安备110107000727号