扫码关注公众号           扫码咨询技术支持           扫码咨询技术服务
  
客服热线:400-901-9800  客服QQ:4009019800  技术答疑  技术支持  质量反馈  人才招聘  关于我们  联系我们
产品中心-北京博奥森生物技术有限公司
首页 > 产品中心 > 一抗 > 产品信息
Synaptojanin Rabbit pAb (bs-11376R)  
订购热线:400-901-9800
订购邮箱:sales@bioss.com.cn
订购QQ:  400-901-9800
技术支持:techsupport@bioss.com.cn
50ul/1180.00元
100ul/1980.00元
200ul/2800.00元
大包装/询价

产品编号 bs-11376R
英文名称 Synaptojanin Rabbit pAb
中文名称 磷酸肌醇磷酸酶蛋白INPP5G抗体
别    名 A930006D20Rik; mKIAA0910; SYNJ1_MOUSE; Synj1; Synaptic inositol 1,4,5-trisphosphate 5-phosphatase 1; 3.1.3.36; Kiaa0910; SYNJ1_RAT; DEE53; EIEE53; INPP5G; PARK20;   
研究领域 细胞生物  神经生物学  信号转导  
抗体来源 Rabbit
克隆类型 Polyclonal
克 隆 号
交叉反应 Rat (predicted: Human,Mouse,Pig,Sheep,Cow,Dog,Horse)
产品应用 IHC-P=1:100-500,IHC-F=1:100-500,IF=1:100-500
not yet tested in other applications.
optimal dilutions/concentrations should be determined by the end user.
理论分子量 173 kDa
细胞定位 细胞浆 
性    状 Liquid
浓    度 1mg/ml
免 疫 原 KLH conjugated synthetic peptide derived from human Synaptojanin/INPP5G: 481-580/1573 
亚    型 IgG
纯化方法 affinity purified by Protein A
缓 冲 液 0.01M TBS (pH7.4) with 1% BSA, 0.02% Proclin300 and 50% Glycerol.
保存条件 Shipped at 4℃. Store at -20℃ for one year. Avoid repeated freeze/thaw cycles.
注意事项 This product as supplied is intended for research use only, not for use in human, therapeutic or diagnostic applications.
PubMed PubMed
产品介绍 The inositol polyphosphate 5-phosphatases selectively remove the phosphate from the 5-position of various phosphatidylinositols, which generate second messengers in response to extracellular signals. Synaptojanins are characterized by an N-terminal SAC1-like sequence, a central 5-phosphate domain, and a unique C-terminal sequence and have been shown to use phosphatidylinositol 4,5-bisphosphate as a substrate. Synaptojanins exist as two isoforms, synaptojanin 1 and 2, which differ in the C-terminal domain, and each isoform has multiple variants produced by alternative splicing. Synaptojanin 1 is expressed as two major forms: the shorter is found in brain while the longer is expressed in peripheral tissues. Eight splice variants of synaptojanin 2 have been detected, including a brain specific isoform. Synaptojanins are thought to participate in the endocytosis of synaptic vesicles and the regulation of the actin cytoskeleton.

Function:
Inositol 5-phosphatase which has a role in clathrin-mediated endocytosis.

Subunit:
Interacts with ASH/GRB2. Interacts with PACSIN1, PACSIN2 and PACSIN3 (By similarity). Binds AMPH, SH3GL1, SH3GL2 and SH3GL3. Interacts with MYO1E (via SH3 domain).

Subcellular Location:
Cytoplasm.

Tissue Specificity:
Concentrated at clathrin-coated endocytic intermediates in nerve terminals. Isoform 1 is more enriched than isoform 2 in developing brain as well as non-neuronal cells. Isoform 2 is very abundant in nerve terminals.

Similarity:
Belongs to the synaptojanin family.
In the central section; belongs to the inositol-1,4,5-trisphosphate 5-phosphatase family.
Contains 1 RRM (RNA recognition motif) domain.
Contains 1 SAC domain.

Gene ID:
8867

Database links:

Entrez Gene: 104015 Mouse

Entrez Gene: 85238 Rat

SwissProt: Q8CHC4 Mouse

SwissProt: Q62910 Rat

Unigene: 187079 Mouse

Unigene: 379876 Mouse

Unigene: 22685 Rat



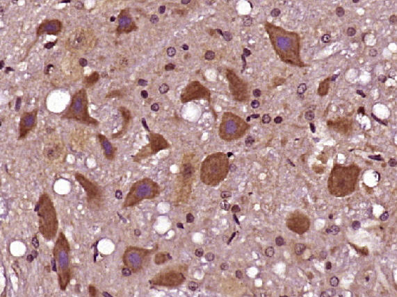
产品图片
Paraformaldehyde-fixed, paraffin embedded (Rat brain); Antigen retrieval by boiling in sodium citrate buffer (pH6.0) for 15min; Block endogenous peroxidase by 3% hydrogen peroxide for 20 minutes; Blocking buffer (normal goat serum) at 37°C for 30min; Antibody incubation with (Synaptojanin) Polyclonal Antibody, Unconjugated (bs-11376R) at 1:400 overnight at 4°C, followed by operating according to SP Kit(Rabbit) (sp-0023) instructionsand DAB staining.
版权所有 2004-2026 www.bioss.com.cn 北京博奥森生物技术有限公司
通过国际质量管理体系ISO 9001:2015 GB/T 19001-2016    证书编号: 00124Q34771R2M/1100
通过国际医疗器械-质量管理体系ISO 13485:2016 GB/T 42061-2022     证书编号: CQC24QY20047R0M/1100
京ICP备05066980号-1         京公网安备110107000727号