扫码关注公众号           扫码咨询技术支持           扫码咨询技术服务
  
客服热线:400-901-9800  客服QQ:4009019800  技术答疑  技术支持  质量反馈  人才招聘  关于我们  联系我们
产品中心-北京博奥森生物技术有限公司
首页 > 产品中心 > 一抗 > 产品信息
Synaptogyrin 2 Rabbit pAb (bs-11374R)  
订购热线:400-901-9800
订购邮箱:sales@bioss.com.cn
订购QQ:  400-901-9800
技术支持:techsupport@bioss.com.cn
50ul/1180.00元
100ul/1980.00元
200ul/2800.00元
大包装/询价

产品编号 bs-11374R
英文名称 Synaptogyrin 2 Rabbit pAb
中文名称 神经细胞囊泡循环蛋白2抗体
别    名 SNG2_HUMAN; SYNGR2; Cellugyrin; SNG2_RAT;   
研究领域 细胞生物  神经生物学  
抗体来源 Rabbit
克隆类型 Polyclonal
克 隆 号
交叉反应 Rat (predicted: Human,Mouse,Sheep,Cow,Dog)
产品应用 IHC-P=1:100-500,IHC-F=1:100-500,IF=1:100-500
not yet tested in other applications.
optimal dilutions/concentrations should be determined by the end user.
理论分子量 25 kDa
细胞定位 细胞浆 细胞膜 
性    状 Liquid
浓    度 1mg/ml
免 疫 原 KLH conjugated synthetic peptide derived from human Synaptogyrin 2: 101-200/224 
亚    型 IgG
纯化方法 affinity purified by Protein A
缓 冲 液 0.01M TBS (pH7.4) with 1% BSA, 0.02% Proclin300 and 50% Glycerol.
保存条件 Shipped at 4℃. Store at -20℃ for one year. Avoid repeated freeze/thaw cycles.
注意事项 This product as supplied is intended for research use only, not for use in human, therapeutic or diagnostic applications.
PubMed PubMed
产品介绍 The synaptogyrin family of proteins are integral membrane proteins containing four transmembrane regions. Synaptogyrins are tyrosine-phosphorylated proteins with two neuronal (Synaptogyrin-1 and -3) and one ubiquitous (Synaptogyrin-2) isoform. Synaptophysin and synaptogyrin represent the major constituents of synaptic vesicles. Synaptogyrin-1 is associated with presynaptic vesicles in neuronal cells. Synaptogyrin-2, also known as cellugyrin, has a tyrosine phosphorylated C-terminal cytoplasmic tail and is involved in the regulation of membrane traffic in non-neuronal cells. Synaptogyrin-3 is expressed mainly in brain and placenta.

Subcellular Location:
Membrane; Multi-pass membrane protein. Cytoplasmic vesicle (By similarity).

Tissue Specificity:
Ubiquitous; low expression in brain.

Similarity:
Belongs to the synaptogyrin family.
Contains 1 MARVEL domain.

SWISS:
O43760

Gene ID:
9144

Database links:

Entrez Gene: 9144 Human

Entrez Gene: 89815 Rat

Omim: 603926 Human

SwissProt: O43760 Human

SwissProt: O54980 Rat

Unigene: 464210 Human

Unigene: 708616 Human

Unigene: 34912 Rat



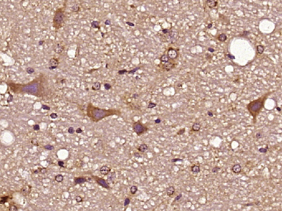
产品图片
Paraformaldehyde-fixed, paraffin embedded (Rat brain); Antigen retrieval by boiling in sodium citrate buffer (pH6.0) for 15min; Block endogenous peroxidase by 3% hydrogen peroxide for 20 minutes; Blocking buffer (normal goat serum) at 37°C for 30min; Antibody incubation with (Synaptogyrin 2) Polyclonal Antibody, Unconjugated (bs-11374R) at 1:400 overnight at 4°C, followed by operating according to SP Kit(Rabbit) (sp-0023) instructionsand DAB staining.
版权所有 2004-2026 www.bioss.com.cn 北京博奥森生物技术有限公司
通过国际质量管理体系ISO 9001:2015 GB/T 19001-2016    证书编号: 00124Q34771R2M/1100
通过国际医疗器械-质量管理体系ISO 13485:2016 GB/T 42061-2022     证书编号: CQC24QY20047R0M/1100
京ICP备05066980号-1         京公网安备110107000727号