扫码关注公众号           扫码咨询技术支持           扫码咨询技术服务
  
客服热线:400-901-9800  客服QQ:4009019800  技术答疑  技术支持  质量反馈  关于我们  联系我们
产品中心-北京博奥森生物技术有限公司
首页 > 产品中心 > 一抗 > 产品信息
Synapsin III Rabbit pAb (bs-11371R)  
订购热线:400-901-9800
订购邮箱:sales@bioss.com.cn
订购QQ:  400-901-9800
技术支持:techsupport@bioss.com.cn
50ul/1180.00元
100ul/1980.00元
200ul/2800.00元
大包装/询价

产品编号 bs-11371R
英文名称 Synapsin III Rabbit pAb
中文名称 神经突触素3抗体
别    名 SYN 3; SYN-3; SYN3; Synapsin 3; Synapsin3; Synapsin-3; cN28H9.2(synapsin III); OTTHUMP00000028987; SYN3_HUMAN.  
研究领域 细胞生物  神经生物学  
抗体来源 Rabbit
克隆类型 Polyclonal
克 隆 号
交叉反应 Mouse,Rat (predicted: Human,Rabbit,Pig,Sheep,Cow,Dog,Horse)
产品应用 WB=1:500-2000,IHC-P=1:100-500,IHC-F=1:100-500,IF=1:100-500
not yet tested in other applications.
optimal dilutions/concentrations should be determined by the end user.
理论分子量 63 kDa
检测分子量
细胞定位 细胞浆 细胞膜 
性    状 Liquid
浓    度 1mg/ml
免 疫 原 KLH conjugated synthetic peptide derived from human Synapsin III: 251-350/580 
亚    型 IgG
纯化方法 affinity purified by Protein A
缓 冲 液 0.01M TBS (pH7.4) with 1% BSA, 0.02% Proclin300 and 50% Glycerol.
保存条件 Shipped at 4℃. Store at -20℃ for one year. Avoid repeated freeze/thaw cycles.
注意事项 This product as supplied is intended for research use only, not for use in human, therapeutic or diagnostic applications.
PubMed PubMed
产品介绍 Synapsins are synaptic vesicle-associated phosphoproteins that regulate synaptic vesicle exocytosis and may be involved in synaptogenesis. Evidence suggests that Synapsin I, Synapsin II and Synapsin IIIa are ATP-binding proteins that are regulated by Ca2+ and calmodulin binding. Ca2+ has been shown to stimulate ATP binding to Synapsin I, to have no effect on Synapsin II and to inhibit Synapsin III. Synapsin I and Synapsin II both undergo alternative splicing to produce two forms of each protein, Synapsin la and lb and Synapsin IIa and IIb, respectively. Synapsin III gives rise to at least three isoforms: Synapsin IIIa, IIIb and IIIc. Synapsin III plays unique roles both in early axon outgrowth and in the regulation of synaptic vesicle trafficking. In cultured mouse hippocampal neurons, synapsin III is expressed early during development, with levels peaking seven days after plating and declining thereafter. Synapsin III is highly concentrated in growth cones.

Function:
Synapsin III may be involved in the regulation of neurotransmitter release and synaptogenesis. It shares the synapsin family domain model, with domains A, C, and E exhibiting the highest degree of conservation. Synapsin III contains a unique domain, J, located between domains C and E. Based on the Synapsin III gene's localization to 22q12.3, a possible schizophrenia susceptibility locus, and the established neurobiological roles of the synapsins, this family member may represent a candidate gene for schizophrenia. The TIMP3 gene is located within an intron of this gene and is transcribed in the opposite direction.

Subunit:
Interacts with CAPON

Subcellular Location:
Peripheral membrane protein localized to the cytoplasmic surface of synaptic vesicles.

Tissue Specificity:
Neuron specific. Detected predominantly in brain.

Similarity:
Belongs to the synapsin family.

SWISS:
O14994

Gene ID:
8224

Database links:

Entrez Gene: 8224 Human

Entrez Gene: 29130 Rat

Omim: 602705 Human

SwissProt: O14994 Human

SwissProt: O70441 Rat

Unigene: 608750 Human

Unigene: 162920 Rat



产品图片
Sample: Pancreas (Mouse) Lysate at 40 ug Primary: Anti- Synapsin III (bs-11371R) at 1/1000 dilution Secondary: IRDye800CW Goat Anti-Rabbit IgG at 1/20000 dilution Predicted band size: 63 kD Observed band size: 63 kD
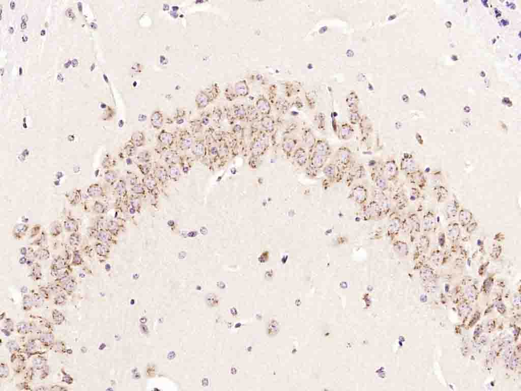
Paraformaldehyde-fixed, paraffin embedded (mouse brain); Antigen retrieval by boiling in sodium citrate buffer (pH6.0) for 15min; Block endogenous peroxidase by 3% hydrogen peroxide for 20 minutes; Blocking buffer (normal goat serum) at 37°C for 30min; Antibody incubation with (Synapsin III) Polyclonal Antibody, Unconjugated (bs-11371R) at 1:200 overnight at 4°C, followed by operating according to SP Kit(Rabbit) (sp-0023) instructionsand DAB staining.
Paraformaldehyde-fixed, paraffin embedded (rat brain); Antigen retrieval by boiling in sodium citrate buffer (pH6.0) for 15min; Block endogenous peroxidase by 3% hydrogen peroxide for 20 minutes; Blocking buffer (normal goat serum) at 37°C for 30min; Antibody incubation with (Synapsin III) Polyclonal Antibody, Unconjugated (bs-11371R) at 1:200 overnight at 4°C, followed by operating according to SP Kit(Rabbit) (sp-0023) instructionsand DAB staining.
版权所有 2004-2026 www.bioss.com.cn 北京博奥森生物技术有限公司
通过国际质量管理体系ISO 9001:2015 GB/T 19001-2016    证书编号: 00124Q34771R2M/1100
通过国际医疗器械-质量管理体系ISO 13485:2016 GB/T 42061-2022    证书编号: CQC24QY10047R0M/1100
京ICP备05066980号-1         京公网安备110107000727号