扫码关注公众号           扫码咨询技术支持           扫码咨询技术服务
  
客服热线:400-901-9800  客服QQ:4009019800  技术答疑  技术支持  质量反馈  关于我们  联系我们
产品中心-北京博奥森生物技术有限公司
首页 > 产品中心 > 一抗 > 产品信息
SYNPR/Synaptoporin Rabbit pAb (bs-11367R)  
订购热线:400-901-9800
订购邮箱:sales@bioss.com.cn
订购QQ:  400-901-9800
技术支持:techsupport@bioss.com.cn
50ul/1180.00元
100ul/1980.00元
200ul/2800.00元
大包装/询价

产品编号 bs-11367R
英文名称 SYNPR/Synaptoporin Rabbit pAb
中文名称 突触囊泡蛋白抗体
别    名 SPO; Synaptophysin 2; Synaptoporin; Synpr; SYNPR_HUMAN; DKFZp686G0883; MGC26651.  
Specific References  (2)     |     bs-11367R has been referenced in 2 publications.
[IF=7.26] Zhang, Chi, et al. "The potential use of H102 peptide-loaded dual-functional nanoparticles in the treatment of Alzheimer’s disease." Journal of Controlled Release (2014).  WB ;  Mouse.  
[IF=1.177]  Zhenting Huang . et al. Anti-Cognitive Decline by Yinxing-Mihuan-Oral-Liquid via Activating CREB/BDNF Signaling and Inhibiting Neuroinflammatory Process. 2021 Jan 27  IF,IHC ;  Rat.  
研究领域 细胞生物  神经生物学  
抗体来源 Rabbit
克隆类型 Polyclonal
克 隆 号
交叉反应 Rat (predicted: Human,Mouse)
产品应用 WB=1:500-2000,IHC-P=1:100-500,IHC-F=1:100-500,IF=1:100-500,Flow-Cyt=1μg/Test
not yet tested in other applications.
optimal dilutions/concentrations should be determined by the end user.
理论分子量 29 kDa
检测分子量
细胞定位 细胞浆 细胞膜 
性    状 Liquid
浓    度 1mg/ml
免 疫 原 KLH conjugated synthetic peptide derived from human Synaptoporin: 31-130/265 
亚    型 IgG
纯化方法 affinity purified by Protein A
缓 冲 液 0.01M TBS (pH7.4) with 1% BSA, 0.02% Proclin300 and 50% Glycerol.
保存条件 Shipped at 4℃. Store at -20℃ for one year. Avoid repeated freeze/thaw cycles.
注意事项 This product as supplied is intended for research use only, not for use in human, therapeutic or diagnostic applications.
PubMed PubMed
产品介绍 Synaptic vesicle recycling involves numerous proteins that contribute to the formation and trafficking of the SNARE complexes throughout the cell. Synaptoporin, also designated synaptophysin 2, is an integral membrane protein of small synaptic vesicles that belongs to the synaptophysin/synaptobrevin family. Synaptoporin is highly homologus to Synaptophysin 1 and both Synaptoporin and synaptophysin 1 contain four transmembrane domains and a short cytoplasmic tail. The Synaptoporin protein also contains one MARVEL domain, a membrane-associating domain found in lipid-associating proteins, and displays calcium-binding activity which may be localized to its cytoplasmic tail. Syntaphilin, synaptophysin and Synaptoporin regulate the formation of the vesicles by competing with components of the SNARE complexes to respectively inhibit either the assembly or the secretion of the synaptic vesicles.

Function:
Intrinsic membrane protein of small synaptic vesicles. Probable vesicular channel protein.

Subcellular Location:
Cytoplasmic vesicle > secretory vesicle > synaptic vesicle membrane. Cell junction > synapse > synaptosome.

Similarity:
Belongs to the synaptophysin/synaptobrevin family.
Contains 1 MARVEL domain.

SWISS:
Q8TBG9

Gene ID:
132204

Database links:

Entrez Gene: 132204 Human

Entrez Gene: 72003 Mouse

Entrez Gene: 66030 Rat

SwissProt: Q8TBG9 Human

SwissProt: Q8BGN8 Mouse

SwissProt: P22831 Rat

Unigene: 648668 Human

Unigene: 317515 Mouse

Unigene: 211986 Rat



产品图片
Sample: Bulbus olfactorius (Rat) Lysate at 40 ug Primary: Anti-Synaptoporin (bs-11367R) at 1/1000 dilution Secondary: IRDye800CW Goat Anti-Rabbit IgG at 1/20000 dilution Predicted band size: 29 kD Observed band size: 28 kD
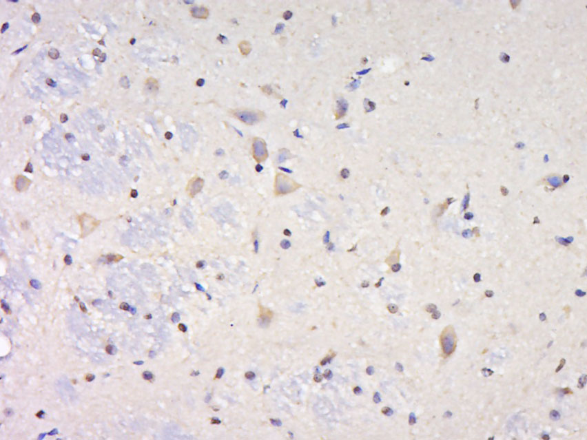
Paraformaldehyde-fixed, paraffin embedded (rat brain); Antigen retrieval by boiling in sodium citrate buffer (pH6.0) for 15min; Block endogenous peroxidase by 3% hydrogen peroxide for 20 minutes; Blocking buffer (normal goat serum) at 37°C for 30min; Antibody incubation with (SYNPR) Polyclonal Antibody, Unconjugated (bs-11367R) at 1:800 overnight at 4°C, followed by a conjugated secondary (sp-0023) for 20 minutes and DAB staining.
Blank control(blue): RSC96(fixed with 2% paraformaldehyde (10 min)). Primary Antibody:Rabbit Anti-SYNPR/Synaptoporin antibody(bs-11367R), Dilution: 5μg in 100 μL 1X PBS containing 0.5% BSA; Isotype Control Antibody: Rabbit IgG(orange) ,used under the same conditions ); Secondary Antibody: Goat anti-rabbit IgG-PE(white blue), Dilution: 1:200 in 1 X PBS containing 0.5% BSA.
版权所有 2004-2026 www.bioss.com.cn 北京博奥森生物技术有限公司
通过国际质量管理体系ISO 9001:2015 GB/T 19001-2016    证书编号: 00124Q34771R2M/1100
通过国际医疗器械-质量管理体系ISO 13485:2016 GB/T 42061-2022    证书编号: CQC24QY10047R0M/1100
京ICP备05066980号-1         京公网安备110107000727号