扫码关注公众号           扫码咨询技术支持           扫码咨询技术服务
  
客服热线:400-901-9800  客服QQ:4009019800  技术答疑  技术支持  质量反馈  人才招聘  关于我们  联系我们
产品中心-北京博奥森生物技术有限公司
首页 > 产品中心 > 一抗 > 产品信息
SV2B Rabbit pAb (bs-11365R)  
订购热线:400-901-9800
订购邮箱:sales@bioss.com.cn
订购QQ:  400-901-9800
技术支持:techsupport@bioss.com.cn
50ul/1180.00元
100ul/1980.00元
200ul/2800.00元
大包装/询价

产品编号 bs-11365R
英文名称 SV2B Rabbit pAb
中文名称 突触泡蛋白2B抗体
别    名 HsT19680; SLC22B2; Q6IAR8_HUMAN; SV2B_HUMAN; SV2B; KIAA0735; synaptic vesicle glycoprotein 2B; solute carrier family 22 member B2  
研究领域 细胞生物  神经生物学  
抗体来源 Rabbit
克隆类型 Polyclonal
交叉反应 Human,Mouse,Rat (predicted: Rabbit,Chicken)
产品应用 WB=1:500-2000,IHC-P=1:100-500,IHC-F=1:100-500,IF=1:100-500
not yet tested in other applications.
optimal dilutions/concentrations should be determined by the end user.
理论分子量 77kDa
检测分子量 77
细胞定位 细胞浆 细胞膜 
性    状 Liquid
浓    度 1mg/ml
免 疫 原 KLH conjugated synthetic peptide derived from human SV2B: 401-500/683 <Extracellular>
亚    型 IgG
纯化方法 affinity purified by Protein A
缓 冲 液 0.01M TBS (pH7.4) with 1% BSA, 0.02% Proclin300 and 50% Glycerol.
保存条件 Shipped at 4℃. Store at -20℃ for one year. Avoid repeated freeze/thaw cycles.
注意事项 This product as supplied is intended for research use only, not for use in human, therapeutic or diagnostic applications.
PubMed PubMed
产品介绍 In all vertebrates, SV2 proteins are abundant, hydrophobic, membrane glycoproteins that are expressed as two major isoforms, SV2A and SV2B, and one minor isoform, SV2C. SV2 proteins are differentially expressed in the brain and are present on all synaptic vesicles, independent of transmitter type. SV2A is abundantly expressed in the subcortex, specifically in the synaptic vesicles of all presynaptic nerve terminals, and also in most neuroendocrine secretory granules. SV2B displays a more restricted pattern of expression in that it is only present on a small subset of synapses in the hippocampus and cortex. SV2A and SV2B are funtionally redundant and are required for maintaining normal brain function in vertebrates. SV2A and SV2B mediate synaptic transmission by regulating cytoplasmic Ca2+ levels in the nerve terminal during repetitive stimulation.

Function:
SV2s (Synaptic Vesicle protein 2) are integral membrane glycoproteins present in all synaptic vesicles. They have 12 transmembrane domains predicted by sequence analysis. There are three characterized isoforms, SV2A, SV2B and SV2C. While SV2A is expressed ubiquitously throughout the brain, SV2B has a more restricted distribution with varying degrees of coexpression with SV2A. SV2C is more closely related to SV2A but shows a very restricted expression pattern.

Subunit:
Interacts with SYT1 in a calcium-independent manner. Forms a complex with SYT1, syntaxin-1 and SNAP25 (By similarity).

Subcellular Location:
Cytoplasmic vesicle, secretory vesicle. Synaptic vesicle membrane; Multi-pass membrane protein.

Post-translational modifications:
N-glycosylated (By similarity).
The N-terminal cytoplasmic domain is phosphorylated by CK1 (By similarity).

Similarity:
Belongs to the major facilitator superfamily.

SWISS:
Q7L1I2

Gene ID:
9899

Database links:

Entrez Gene: 9899 Human

Omim: 185861 Human

SwissProt: Q6IAR8 Human

SwissProt: Q7L1I2 Human

Unigene: 592018 Human



产品图片
Sample: U251 Cell (Human) Lysate at 30 ug Primary: Anti- SV2B (bs-11365R) at 1/300 dilution Secondary: IRDye800CW Goat Anti-Rabbit IgG at 1/20000 dilution Predicted band size: 77 kD Observed band size: 77 kD
Sample: Brain (Mouse) Lysate at 40 ug Primary: Anti- SV2B (bs-11365R) at 1/300 dilution Secondary: IRDye800CW Goat Anti-Rabbit IgG at 1/20000 dilution Predicted band size: 77 kD Observed band size: 77 kD
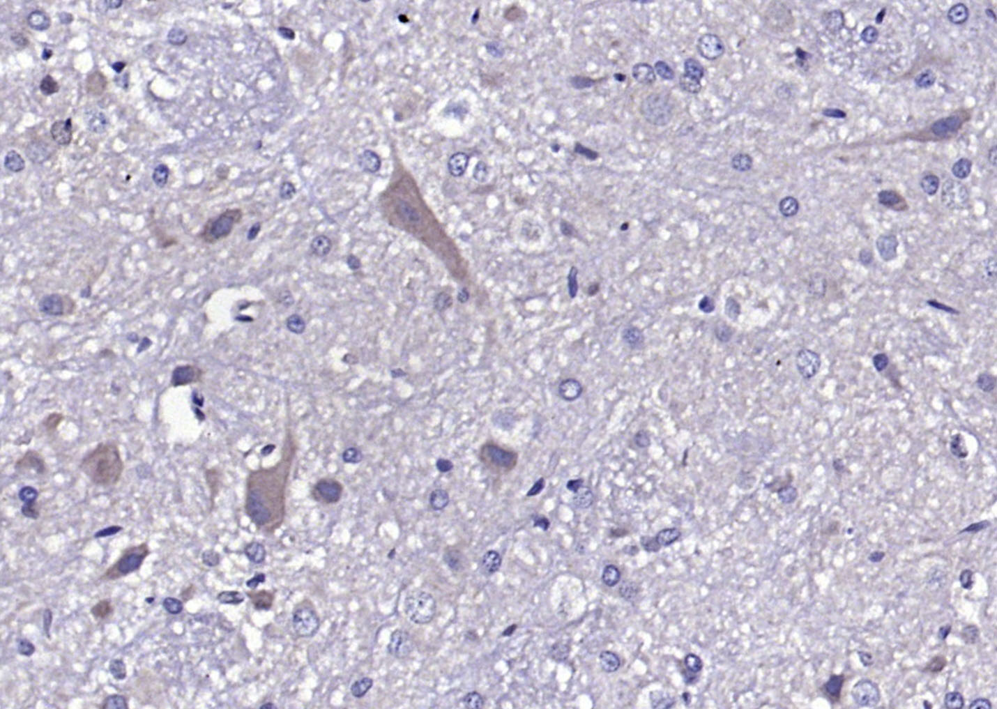
Paraformaldehyde-fixed, paraffin embedded (rat cerebellum); Antigen retrieval by boiling in sodium citrate buffer (pH6.0) for 15min; Block endogenous peroxidase by 3% hydrogen peroxide for 20 minutes; Blocking buffer (normal goat serum) at 37°C for 30min; Antibody incubation with (SV2B) Polyclonal Antibody, Unconjugated (bs-11365R) at 1:200 overnight at 4°C, followed by operating according to SP Kit(Rabbit) (sp-0023) instructionsand DAB staining.
版权所有 2004-2026 www.bioss.com.cn 北京博奥森生物技术有限公司
通过国际质量管理体系ISO 9001:2015 GB/T 19001-2016    证书编号: 00124Q34771R2M/1100
通过国际医疗器械-质量管理体系ISO 13485:2016 GB/T 42061-2022     证书编号: CQC24QY20047R0M/1100
京ICP备05066980号-1         京公网安备110107000727号