扫码关注公众号           扫码咨询技术支持           扫码咨询技术服务
  
客服热线:400-901-9800  客服QQ:4009019800  技术答疑  技术支持  质量反馈  人才招聘  关于我们  联系我们
产品中心-北京博奥森生物技术有限公司
首页 > 产品中心 > 一抗 > 产品信息
KIF1A Rabbit pAb (bs-11350R)  
订购热线:400-901-9800
订购邮箱:sales@bioss.com.cn
订购QQ:  400-901-9800
技术支持:techsupport@bioss.com.cn
50ul/1180.00元
100ul/1980.00元
200ul/2800.00元
大包装/询价

产品编号 bs-11350R
英文名称 KIF1A Rabbit pAb
中文名称 微管驱动蛋白家族成员1A抗体
别    名 ATSV; C2orf20; HSN2C; MRD9; NESCAVS; SPG30; SPG30A; SPG30B; UNC104; KIF1A_HUMAN; KIF1A; Axonal transporter of synaptic vesicles; Microtubule-based motor KIF1A; Unc-104- and KIF1A-related protein (hUnc-104); 5.6.1.3; KIF1A_MOUSE; Kif1;   
研究领域 细胞生物  神经生物学  
抗体来源 Rabbit
克隆类型 Polyclonal
克 隆 号
交叉反应 Mouse (predicted: Human,Rat,Pig,Sheep,Cow,Chicken,Dog)
产品应用 IHC-P=1:100-500,IHC-F=1:100-500,IF=1:100-500
not yet tested in other applications.
optimal dilutions/concentrations should be determined by the end user.
理论分子量 191 kDa
细胞定位 细胞浆 
性    状 Liquid
浓    度 1mg/ml
免 疫 原 KLH conjugated synthetic peptide derived from human KIF1A: 1-100/1690 
亚    型 IgG
纯化方法 affinity purified by Protein A
缓 冲 液 0.01M TBS (pH7.4) with 1% BSA, 0.02% Proclin300 and 50% Glycerol.
保存条件 Shipped at 4℃. Store at -20℃ for one year. Avoid repeated freeze/thaw cycles.
注意事项 This product as supplied is intended for research use only, not for use in human, therapeutic or diagnostic applications.
PubMed PubMed
产品介绍 The kinesins constitute a large family of microtubule-dependent motor proteins, which are responsible for the distribution of numerous organelles, vesicles and macromolecular complexes throughout the cell. Individual kinesin members play crucial roles in cell division, intracellular transport and membrane trafficking events including endocytosis and transcytosis. KIF1C is a member of the KIF1/Unc104 family of kinesin-like proteins, which are involved in the transport of mitochondria or synaptic vesicles in axons. The human KIF1A gene encodes a neuron-specific motor protein that delivers synaptic vesicle precursors to nerve terminals. KIF1A is a monomeric, globular molecule and has rapid anterograde motor activity (1.2 microns/s). KIF1A-mediated axonal transport plays a critical role in viability, maintenance and function of neurons, particularly mature neurons. KIF1A is associated with organelles that contain synaptic vesicle proteins such as synaptotagmin, synaptophysin and Rab 3A.

Function:
Motor for anterograde axonal transport of synaptic vesicle precursors.

Subunit:
Monomer. Interacts with PPFIA1 and PPFIA4 (By similarity).

Subcellular Location:
Cytoplasm, cytoskeleton. Note=Expressed in distal regions of neurites.

Tissue Specificity:
Expressed in neurons.

DISEASE:
Spastic paraplegia 30, autosomal recessive (SPG30) [MIM:610357]: A form of spastic paraplegia, a neurodegenerative disorder characterized by a slow, gradual, progressive weakness and spasticity of the lower limbs. Rate of progression and the severity of symptoms are quite variable. Initial symptoms may include difficulty with balance, weakness and stiffness in the legs, muscle spasms, and dragging the toes when walking. In some forms of the disorder, bladder symptoms (such as incontinence) may appear, or the weakness and stiffness may spread to other parts of the body. SPG30 is characterized by onset in the first or second decades of unsteady spastic gait and hyperreflexia of the lower limbs. Note=The disease is caused by mutations affecting the gene represented in this entry.
Hereditary sensory neuropathy 2C (HSN2C) [MIM:614213]: A neurodegenerative disorder characterized by onset in the first decade of progressive distal sensory loss leading to ulceration and amputation of the fingers and toes. Affected individuals also develop distal muscle weakness, primarily affecting the lower limbs. Note=The disease is caused by mutations affecting the gene represented in this entry.
Mental retardation, autosomal dominant 9 (MRD9) [MIM:614255]: A disorder characterized by significantly below average general intellectual functioning associated with impairments in adaptative behavior and manifested during the developmental period. Note=The disease is caused by mutations affecting the gene represented in this entry.

Similarity:
Belongs to the kinesin-like protein family. Unc-104 subfamily.
Contains 1 FHA domain.
Contains 1 kinesin-motor domain.
Contains 1 PH domain.

SWISS:
Q12756

Gene ID:
547

Database links:

Entrez Gene: 547 Human

SwissProt: Q12756 Human

SwissProt: P33173 Mouse

Unigene: 516802 Human

Unigene: 276408 Mouse



产品图片
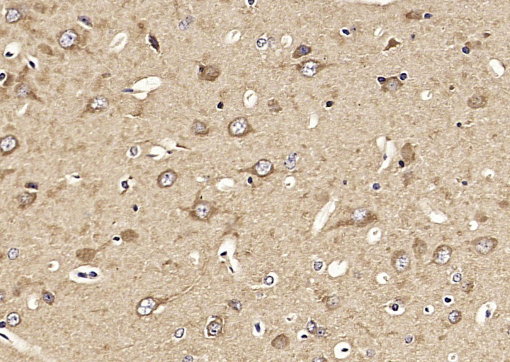
Paraformaldehyde-fixed, paraffin embedded (mouse brain); Antigen retrieval by microwave in sodium citrate buffer (pH6.0) ; Block endogenous peroxidase by 3% hydrogen peroxide for 30 minutes; Blocking buffer (3% BSA) at RT for 30min; Antibody incubation with (KIF1A) Polyclonal Antibody, Unconjugated (bs-11350R) at 1:400 overnight at 4℃, followed by conjugation to the secondary antibody (labeled with HRP)and DAB staining.
版权所有 2004-2026 www.bioss.com.cn 北京博奥森生物技术有限公司
通过国际质量管理体系ISO 9001:2015 GB/T 19001-2016    证书编号: 00124Q34771R2M/1100
通过国际医疗器械-质量管理体系ISO 13485:2016 GB/T 42061-2022     证书编号: CQC24QY20047R0M/1100
京ICP备05066980号-1         京公网安备110107000727号