扫码关注公众号           扫码咨询技术支持           扫码咨询技术服务
  
客服热线:400-901-9800  客服QQ:4009019800  技术答疑  技术支持  质量反馈  人才招聘  关于我们  联系我们
产品中心-北京博奥森生物技术有限公司
首页 > 产品中心 > 一抗 > 产品信息
PAPOLB Rabbit pAb (bs-4967R)  
订购热线:400-901-9800
订购邮箱:sales@bioss.com.cn
订购QQ:  400-901-9800
技术支持:techsupport@bioss.com.cn
50ul/1180.00元
100ul/1980.00元
200ul/2800.00元
大包装/询价

产品编号 bs-4967R
英文名称 PAPOLB Rabbit pAb
中文名称 睾丸特异性核苷酸果糖β抗体
别    名 PAPT; TPAP; PAP; Paplob; Papola-ps; Plap-ps; PAPOB_HUMAN; PAPOLB; PAP-beta; Polynucleotide adenylyltransferase beta; Testis-specific poly(A) polymerase; 2.7.7.19; PAPOB_MOUSE;   
研究领域 细胞生物  发育生物学  表观遗传学  
抗体来源 Rabbit
克隆类型 Polyclonal
克 隆 号
交叉反应 Rat (predicted: Human,Mouse,Rabbit,Pig,Cow)
产品应用 IHC-P=1:100-500,IHC-F=1:100-500,IF=1:100-500
not yet tested in other applications.
optimal dilutions/concentrations should be determined by the end user.
理论分子量 72 kDa
细胞定位 细胞核 
性    状 Liquid
浓    度 1mg/ml
免 疫 原 KLH conjugated synthetic peptide derived from human PAPOLB: 351-450/636 
亚    型 IgG
纯化方法 affinity purified by Protein A
缓 冲 液 0.01M TBS (pH7.4) with 1% BSA, 0.02% Proclin300 and 50% Glycerol.
保存条件 Shipped at 4℃. Store at -20℃ for one year. Avoid repeated freeze/thaw cycles.
注意事项 This product as supplied is intended for research use only, not for use in human, therapeutic or diagnostic applications.
PubMed PubMed
产品介绍 Polyadenylation of the 3-prime ends of eukaryotic mRNAs is a key event that takes place in the nucleus during maturation of mRNA. The reaction includes endoribonucleolytic cleavage of the pre-RNA at the poly(A) site that leads to synthesis of the poly(A) tail at the 3-prime end of the upstream cleavage product. The poly(A) polymerase (PAP) is required The adenosine addition reaction depends on poly(A) polymerase (PAP) activity. The testis express PAP-Beta (TPAP) in the cytoplasm of spermatogenic cells. The adenosine addition function of PAP-Beta plays a critical role in male germ cell production. PAP-Beta-deficient transgenic mice display impaired expression of haploid-specific genes that are necessary for spermatogenesis. The intronless gene encoding human PAP-∫ maps to chromosome 7p22.3.

Function:
RelevanceThe function of this protein remains unknown. This gene is a member of the myotubularin family and encodes a putative tyrosine phosphatase. Mutations in this gene are a cause of Charcot-Marie-Tooth disease type 4B, an autosomal recessive demyelinating neuropathy. Multiple alternatively spliced transcript variants have been found for this gene, but the protein products of some of these variants are likely not viable, as they are nonsense-mediated mRNA decay (NMD) candidates.

Subcellular Location:
Nuclear

SWISS:
Q9NRJ5

Gene ID:
56903

Database links:

Entrez Gene: 56903 Human

Entrez Gene: 56522 Mouse

Entrez Gene: 304300 Rat

Omim: 607436 Human

SwissProt: Q9NRJ5 Human

SwissProt: Q9WVP6 Mouse



产品图片
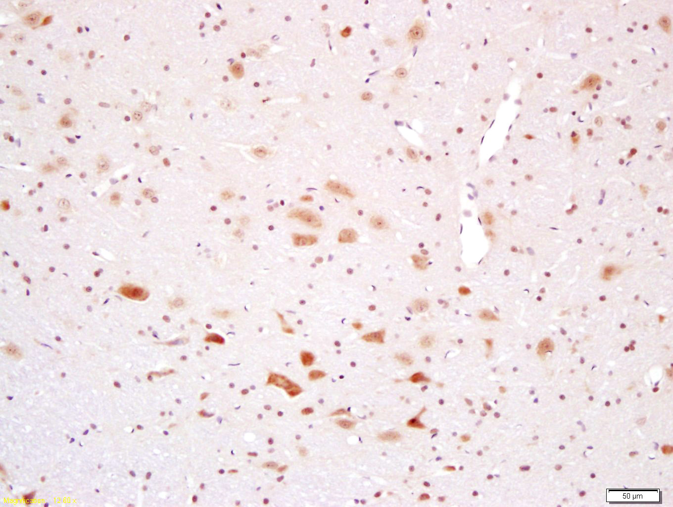
Tissue/cell: rat brain tissue; 4% Paraformaldehyde-fixed and paraffin-embedded; Antigen retrieval: citrate buffer ( 0.01M, pH 6.0 ), Boiling bathing for 15min; Block endogenous peroxidase by 3% Hydrogen peroxide for 30min; Blocking buffer (normal goat serum,C-0005) at 37℃ for 20 min; Incubation: Anti-PAPOLB Polyclonal Antibody, Unconjugated(bs-4967R) 1:200, overnight at 4°C, followed by conjugation to the secondary antibody(SP-0023) and DAB(C-0010) staining
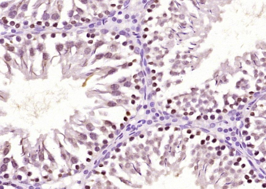
Paraformaldehyde-fixed, paraffin embedded (rat testis tissue); Antigen retrieval by boiling in sodium citrate buffer (pH6.0) for 15min; Block endogenous peroxidase by 3% hydrogen peroxide for 20 minutes; Blocking buffer (normal goat serum) at 37°C for 30min; Antibody incubation with (PAPOLB) Polyclonal Antibody, Unconjugated (bs-4967R) at 1:400 overnight at 4°C, followed by operating according to SP Kit(Rabbit) (sp-0023) instructionsand DAB staining.
版权所有 2004-2026 www.bioss.com.cn 北京博奥森生物技术有限公司
通过国际质量管理体系ISO 9001:2015 GB/T 19001-2016    证书编号: 00124Q34771R2M/1100
通过国际医疗器械-质量管理体系ISO 13485:2016 GB/T 42061-2022     证书编号: CQC24QY20047R0M/1100
京ICP备05066980号-1         京公网安备110107000727号