扫码关注公众号           扫码咨询技术支持           扫码咨询技术服务
  
客服热线:400-901-9800  客服QQ:4009019800  技术答疑  技术支持  质量反馈  关于我们  联系我们
产品中心-北京博奥森生物技术有限公司
首页 > 产品中心 > 一抗 > 产品信息
RFC2 Rabbit pAb (bs-11305R)  
订购热线:400-901-9800
订购邮箱:sales@bioss.com.cn
订购QQ:  400-901-9800
技术支持:techsupport@bioss.com.cn
50ul/1180.00元
100ul/1980.00元
200ul/2800.00元
大包装/询价

产品编号 bs-11305R
英文名称 RFC2 Rabbit pAb
中文名称 复制激活因子C2抗体
别    名 Activator 1; Activator 1 subunit 2; Activator 140 kDa Subunit; MGC3665; OTTHUMP00000160645; OTTHUMP00000160646; replication factor C(activator 1) 2 40kDa; Replication factor C(activator 1) 2; Replication factor C 2; Replication Factor C 40 kDa subunit; Replication factor C subunit 2; replication factor c2; Replication Factor C40 kDa subunit; RF C 40 kDa subunit; RF-C 40 kDa subunit; RFC 2; RFC 40; RFC 40 kDa subunit; RFC2; RFC2_HUMAN; RFC40; A1 40 kDa subunit; A1 antibody A140; Activator 1 40 kDa Subunit.  
研究领域 细胞生物  细胞凋亡  表观遗传学  
抗体来源 Rabbit
克隆类型 Polyclonal
克 隆 号
交叉反应 Mouse (predicted: Human,Rat,Pig,Sheep,Cow,Dog,Horse)
产品应用 WB=1:500-2000,IHC-P=1:100-500,IHC-F=1:100-500,IF=1:100-500
not yet tested in other applications.
optimal dilutions/concentrations should be determined by the end user.
理论分子量 39 kDa
检测分子量
细胞定位 细胞核 
性    状 Liquid
浓    度 1mg/ml
免 疫 原 KLH conjugated synthetic peptide derived from human RFC2: 281-354/354 
亚    型 IgG
纯化方法 affinity purified by Protein A
缓 冲 液 0.01M TBS (pH7.4) with 1% BSA, 0.02% Proclin300 and 50% Glycerol.
保存条件 Shipped at 4℃. Store at -20℃ for one year. Avoid repeated freeze/thaw cycles.
注意事项 This product as supplied is intended for research use only, not for use in human, therapeutic or diagnostic applications.
PubMed PubMed
产品介绍 Replication factor C (RFC) is an essential DNA polymerase accessory protein that is required for numerous aspects of DNA metabolism including DNA replication, DNA repair, and telomere metabolism. RFC is a heteropentameric complex that recognizes a primer on a template DNA, binds to a primer terminus, and loads proliferating cell nuclear antigen (PCNA) onto DNA at primer-template junctions in an ATP-dependent reaction. All five of the RFC subunits share a set of related sequences (RFC boxes) that include nucleotide-binding consensus sequences. Four of the five RFC genes (RFC1, RFC2, RFC3, and RFC4) have consensus ATP-binding motifs. The small RFC proteins, RFC2, RFC3, RFC4 and RFC5, interact with Rad24, whereas the RFC1 subunit does not. RFC2, the third-largest subunit of the RFC complex, exhibits ATP binding which makes it important for both DNA replication and checkpoint function. The human RFC2 gene maps to chromosome 7q11.23 and encodes the RFC2 subunit. RFC2 has been associated with Williams-Beuren syndrome, which is a rare multi-system developmental disorder caused by the deletion of contiguous genes at 7q11.23.

Function:
The elongation of primed DNA templates by DNA polymerase delta and epsilon requires the action of the accessory proteins proliferating cell nuclear antigen (PCNA) and activator 1. This subunit binds ATP.

Subunit:
Heterotetramer of subunits RFC2, RFC3, RFC4 and RFC5 that can form a complex either with RFC1 or with RAD17. The former interacts with PCNA in the presence of ATP, while the latter has ATPase activity but is not stimulated by PCNA. RFC2 also interacts with PRKAR1A; the complex may be involved in cell survival.

Subcellular Location:
Nucleus.

DISEASE:
Note=RFC2 is located in the Williams-Beuren syndrome (WBS) critical region. WBS results from a hemizygous deletion of several genes on chromosome 7q11.23, thought to arise as a consequence of unequal crossing over between highly homologous low-copy repeat sequences flanking the deleted region.

Similarity:
Belongs to the activator 1 small subunits family.

SWISS:
P35250

Gene ID:
5982

Database links:

Entrez Gene: 5982 Human

Entrez Gene: 19718 Mouse

Entrez Gene: 116468 Rat

Omim: 600404 Human

SwissProt: P35250 Human

SwissProt: Q9WUK4 Mouse

SwissProt: Q641W4 Rat



产品图片
Sample: Bone (Mouse) Lysate at 40 ug Primary: Anti-RFC2 (bs-11305R) at 1/300 dilution Secondary: IRDye800CW Goat Anti-Rabbit IgG at 1/20000 dilution Predicted band size: 39 kD Observed band size: 39 kD
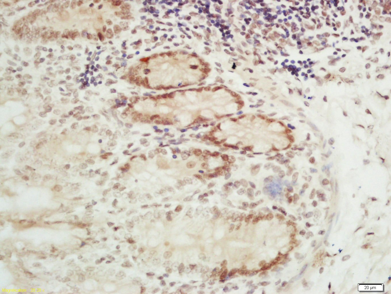
Tissue/cell: mouse intestine tissue; 4% Paraformaldehyde-fixed and paraffin-embedded; Antigen retrieval: citrate buffer ( 0.01M, pH 6.0 ), Boiling bathing for 15min; Block endogenous peroxidase by 3% Hydrogen peroxide for 30min; Blocking buffer (normal goat serum,C-0005) at 37℃ for 20 min; Incubation: Anti-RFC2 Polyclonal Antibody, Unconjugated(bs-11305R) 1:200, overnight at 4°C, followed by conjugation to the secondary antibody(SP-0023) and DAB(C-0010) staining
版权所有 2004-2026 www.bioss.com.cn 北京博奥森生物技术有限公司
通过国际质量管理体系ISO 9001:2015 GB/T 19001-2016    证书编号: 00124Q34771R2M/1100
通过国际医疗器械-质量管理体系ISO 13485:2016 GB/T 42061-2022     证书编号: CQC24QY20047R0M/1100
京ICP备05066980号-1         京公网安备110107000727号