扫码关注公众号           扫码咨询技术支持           扫码咨询技术服务
  
客服热线:400-901-9800  客服QQ:4009019800  技术答疑  技术支持  质量反馈  关于我们  联系我们
产品中心-北京博奥森生物技术有限公司
首页 > 产品中心 > 一抗 > 产品信息
Monoamine Oxidase B Rabbit pAb (bs-11297R)  
订购热线:400-901-9800
订购邮箱:sales@bioss.com.cn
订购QQ:  400-901-9800
技术支持:techsupport@bioss.com.cn
50ul/1180.00元
100ul/1980.00元
200ul/2800.00元
大包装/询价

产品编号 bs-11297R
英文名称 Monoamine Oxidase B Rabbit pAb
中文名称 单胺氧化酶B抗体
别    名 Adrenalin oxidase; Amine oxidase(flavin containing); Amine oxidase [flavin-containing] B; AOFB_HUMAN; MAO, brain; MAO, platelet; MAO-B; MAOB; MGC26382; Monoamine oxidase B; Monoamine oxidase type B; OTTHUMP00000023166; Tyramine oxidase.  
研究领域 肿瘤  细胞生物  神经生物学  信号转导  
抗体来源 Rabbit
克隆类型 Polyclonal
克 隆 号
交叉反应 Human,Mouse,Rat (predicted: Rabbit,Pig,Cow,Dog,Horse)
产品应用 WB=1:500-2000,IHC-P=1:100-500,IHC-F=1:100-500,IF=1:100-500
not yet tested in other applications.
optimal dilutions/concentrations should be determined by the end user.
理论分子量 59 kDa
检测分子量
细胞定位 细胞浆 细胞膜 
性    状 Liquid
浓    度 1mg/ml
免 疫 原 KLH conjugated synthetic peptide derived from human MAOB/Monoamine Oxidase B: 51-150/520 
亚    型 IgG
纯化方法 affinity purified by Protein A
缓 冲 液 0.01M TBS (pH7.4) with 1% BSA, 0.02% Proclin300 and 50% Glycerol.
保存条件 Shipped at 4℃. Store at -20℃ for one year. Avoid repeated freeze/thaw cycles.
注意事项 This product as supplied is intended for research use only, not for use in human, therapeutic or diagnostic applications.
PubMed PubMed
产品介绍 Monoamine oxidase (MAO) is an enzyme of the mitochondrial outer membrane and catalyzes the oxidative deamination of biogenic amines throughout the body (1). MAO is critical in the neuronal metabolism of catecholamine and indolamine transmitters (2). Cultured skin fibroblasts show both MAO-A and MAO-B and both MAOs differ in molecular structure (1). MAO-A, the primary type in fibroblasts, preferentially degrades serotonin and norepinephrine (3). Only MAO-B is present in platelets and only MAO-A is present in trophoblasts (1). MAO-B, the primary type found not only in platelets but also in the brain of man and other primates, preferentially degrades phenylethylamine and benzylamine (3). MAO has been of particular interest to psychiatry and genetics because of the suggestion that low activity is a ‘genetic marker’ for schizophrenia (4). The genes which encode MAO-A and MAO-B map to human chromosome Xp11.23 (5).

Function:
Catalyzes the oxidative deamination of biogenic and xenobiotic amines and has important functions in the metabolism of neuroactive and vasoactive amines in the central nervous system and peripheral tissues. MAOB preferentially degrades benzylamine and phenylethylamine.

Subunit:
Monomer, homo- or heterodimer (containing two subunits of similar size). Each subunit contains a covalently bound flavin. Enzymatically active as monomer (By similarity).

Subcellular Location:
Mitochondrion outer membrane.

Similarity:
Belongs to the flavin monoamine oxidase family.

SWISS:
P27338

Gene ID:
4129

Database links:

Entrez Gene: 4129 Human

Entrez Gene: 109731 Mouse

Entrez Gene: 25750 Rat

Omim: 309860 Human

SwissProt: P27338 Human

SwissProt: Q8BW75 Mouse

SwissProt: P19643 Rat

Unigene: 654473 Human

Unigene: 241656 Mouse

Unigene: 6656 Rat



产品图片
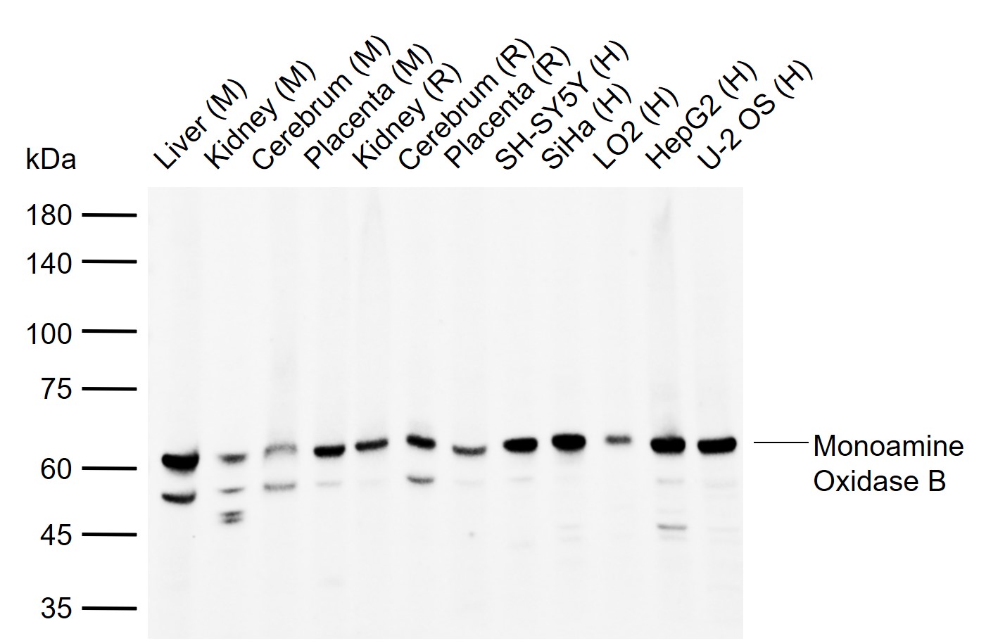
Sample: Lane 1: Mouse Liver tissue lysates Lane 2: Mouse Kidney tissue lysates Lane 3: Mouse Cerebrum tissue lysates Lane 4: Mouse Placenta tissue lysates Lane 5: Rat Kidney tissue lysates Lane 6: Rat Cerebrum tissue lysates Lane 7: Rat Placenta tissue lysates Lane 8: Human SH-SY5Y cell lysates Lane 9: Human SiHa cell lysates Lane 10: Human LO2 cell lysates Lane 11: Human HepG2 cell lysates Lane 12: Human U-2 OS cell lysates Primary: Anti-Monoamine Oxidase B (bs-11297R) at 1/1000 dilution Secondary: IRDye800CW Goat Anti-Rabbit IgG at 1/20000 dilution Predicted band size: 59 kDa Observed band size: 61 kDa
Paraformaldehyde-fixed, paraffin embedded Mouse Placenta; Antigen retrieval by boiling in sodium citrate buffer (pH6.0) for 15 min; The section was incubated with Monoamine Oxidase B Polyclonal Antibody, Unconjugated (bs-11297R) at 1:200 overnight at 4°C, followed by conjugation to the bs-0295G-HRP and DAB (C-0010) staining.
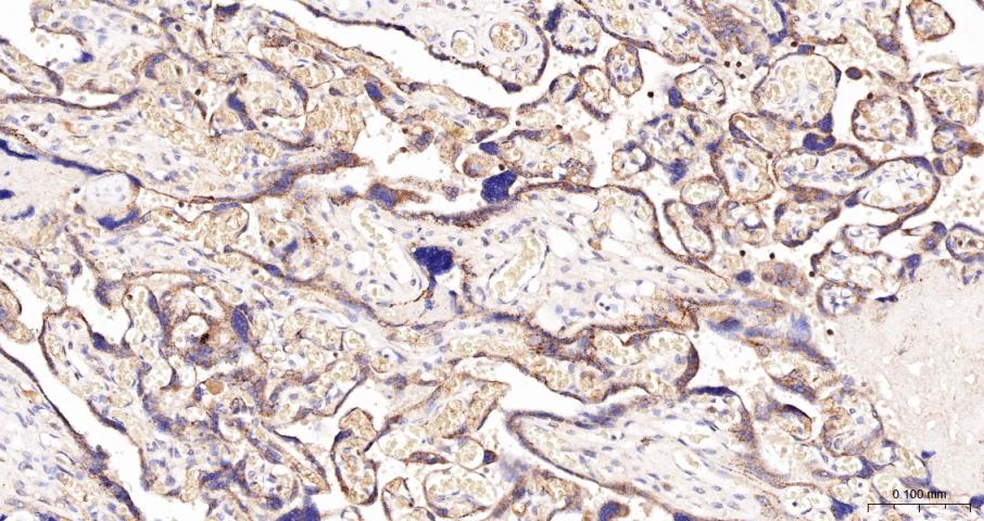
Paraformaldehyde-fixed, paraffin embedded Human Placenta; Antigen retrieval by boiling in sodium citrate buffer (pH6.0) for 15 min; The section was incubated with Monoamine Oxidase B Polyclonal Antibody, Unconjugated (bs-11297R) at 1:200 overnight at 4°C, followed by conjugation to the bs-0295G-HRP and DAB (C-0010) staining.
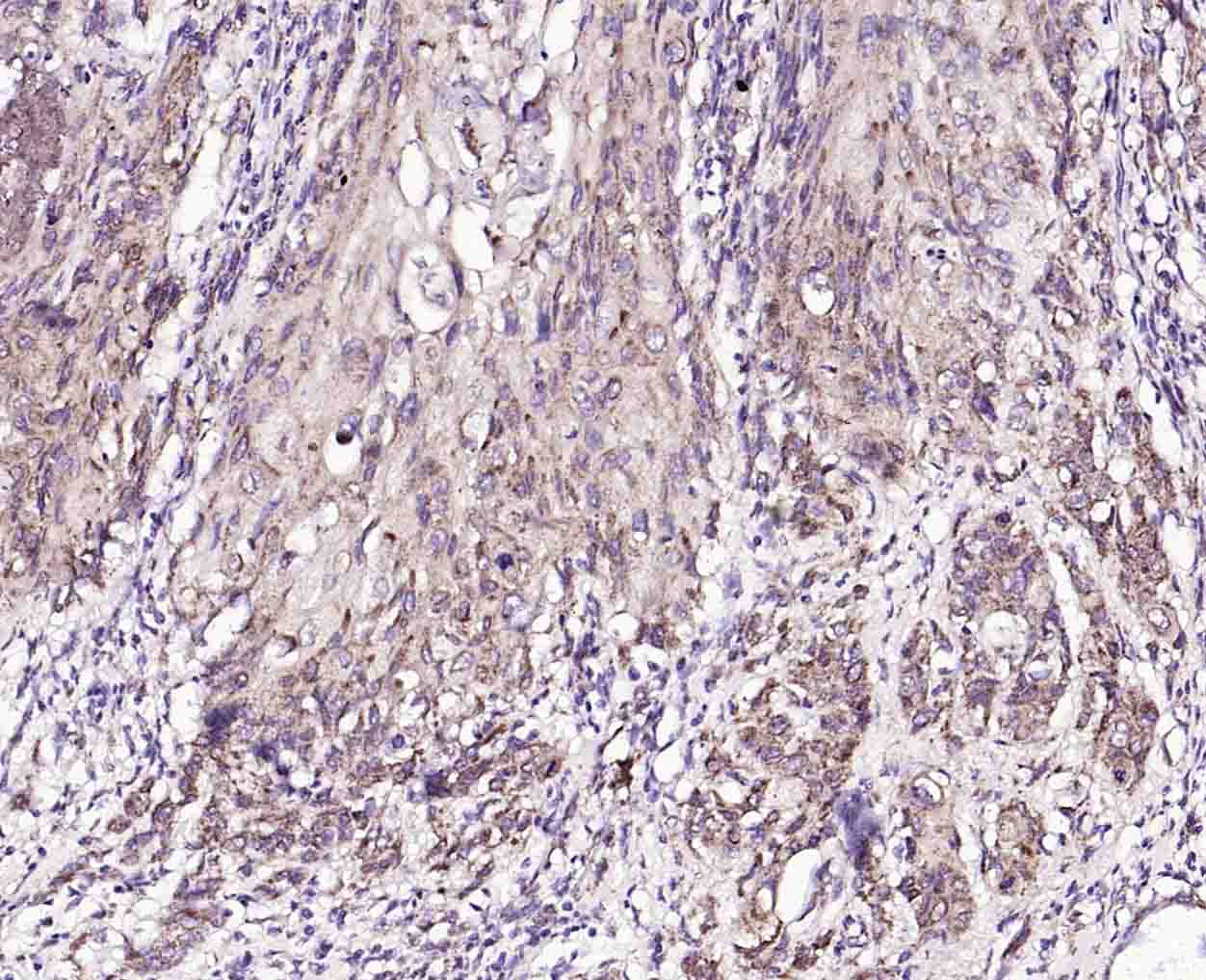
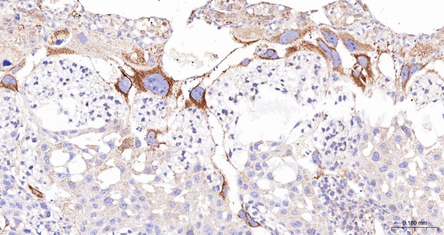
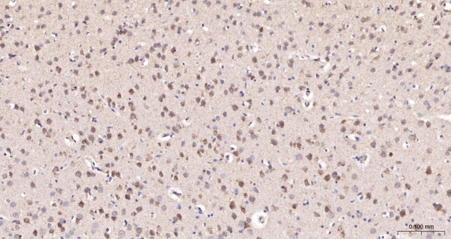
Paraformaldehyde-fixed, paraffin embedded Human Glioma; Antigen retrieval by boiling in sodium citrate buffer (pH6.0) for 15 min; The section was incubated with Monoamine Oxidase B Polyclonal Antibody, Unconjugated (bs-11297R) at 1:200 overnight at 4°C, followed by conjugation to the bs-0295G-HRP and DAB (C-0010) staining.
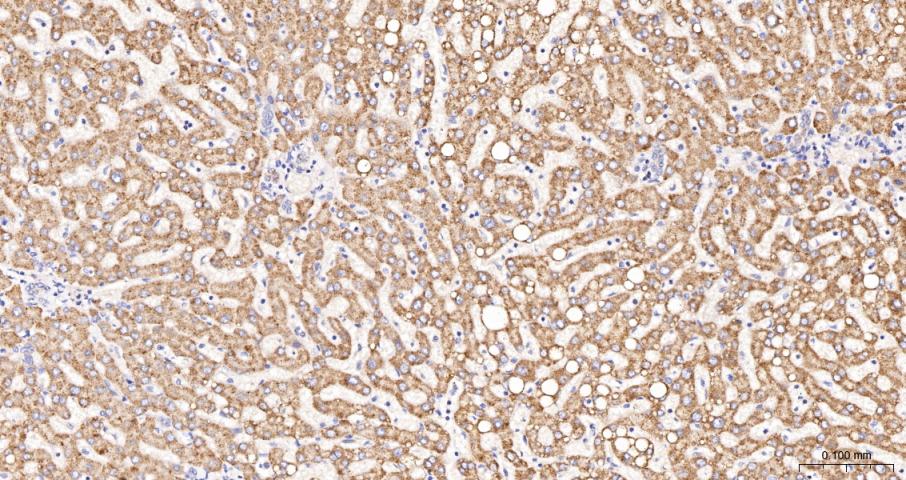
Paraformaldehyde-fixed, paraffin embedded Human Liver; Antigen retrieval by boiling in sodium citrate buffer (pH6.0) for 15 min; The section was incubated with Monoamine Oxidase B Polyclonal Antibody, Unconjugated (bs-11297R) at 1:200 overnight at 4°C, followed by conjugation to the bs-0295G-HRP and DAB (C-0010) staining.
Paraformaldehyde-fixed, paraffin embedded Human Liver Cancer; Antigen retrieval by boiling in sodium citrate buffer (pH6.0) for 15 min; The section was incubated with Monoamine Oxidase B Polyclonal Antibody, Unconjugated (bs-11297R) at 1:200 overnight at 4°C, followed by conjugation to the bs-0295G-HRP and DAB (C-0010) staining.
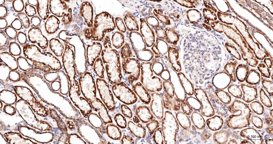
Paraformaldehyde-fixed, paraffin embedded Mouse Kidney; Antigen retrieval by boiling in sodium citrate buffer (pH6.0) for 15 min; The section was incubated with Monoamine Oxidase B Polyclonal Antibody, Unconjugated (bs-11297R) at 1:200 overnight at 4°C, followed by conjugation to the bs-0295G-HRP and DAB (C-0010) staining.
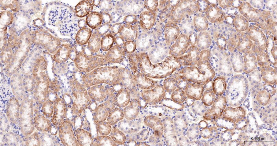
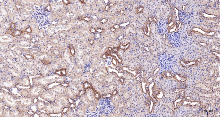
Paraformaldehyde-fixed, paraffin embedded Human Kidney; Antigen retrieval by boiling in sodium citrate buffer (pH6.0) for 15 min; The section was incubated with Monoamine Oxidase B Polyclonal Antibody, Unconjugated (bs-11297R) at 1:200 overnight at 4°C, followed by conjugation to the bs-0295G-HRP and DAB (C-0010) staining.
Paraformaldehyde-fixed, paraffin embedded Rat Kidney; Antigen retrieval by boiling in sodium citrate buffer (pH6.0) for 15 min; The section was incubated with Monoamine Oxidase B Polyclonal Antibody, Unconjugated (bs-11297R) at 1:200 overnight at 4°C, followed by conjugation to the bs-0295G-HRP and DAB (C-0010) staining.
Paraformaldehyde-fixed, paraffin embedded Mouse Cerebrum; Antigen retrieval by boiling in sodium citrate buffer (pH6.0) for 15 min; The section was incubated with Monoamine Oxidase B Polyclonal Antibody, Unconjugated (bs-11297R) at 1:200 overnight at 4°C, followed by conjugation to the bs-0295G-HRP and DAB (C-0010) staining.
Paraformaldehyde-fixed, paraffin embedded Rat Cerebrum; Antigen retrieval by boiling in sodium citrate buffer (pH6.0) for 15 min; The section was incubated with Monoamine Oxidase B Polyclonal Antibody, Unconjugated (bs-11297R) at 1:200 overnight at 4°C, followed by conjugation to the bs-0295G-HRP and DAB (C-0010) staining.
Paraformaldehyde-fixed, paraffin embedded Mouse Colon; Antigen retrieval by boiling in sodium citrate buffer (pH6.0) for 15 min; The section was incubated with Monoamine Oxidase B Polyclonal Antibody, Unconjugated (bs-11297R) at 1:200 overnight at 4°C, followed by conjugation to the bs-0295G-HRP and DAB (C-0010) staining.
Paraformaldehyde-fixed, paraffin embedded Rat Colon; Antigen retrieval by boiling in sodium citrate buffer (pH6.0) for 15 min; The section was incubated with Monoamine Oxidase B Polyclonal Antibody, Unconjugated (bs-11297R) at 1:200 overnight at 4°C, followed by conjugation to the bs-0295G-HRP and DAB (C-0010) staining.
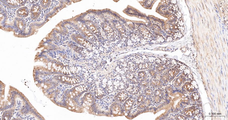
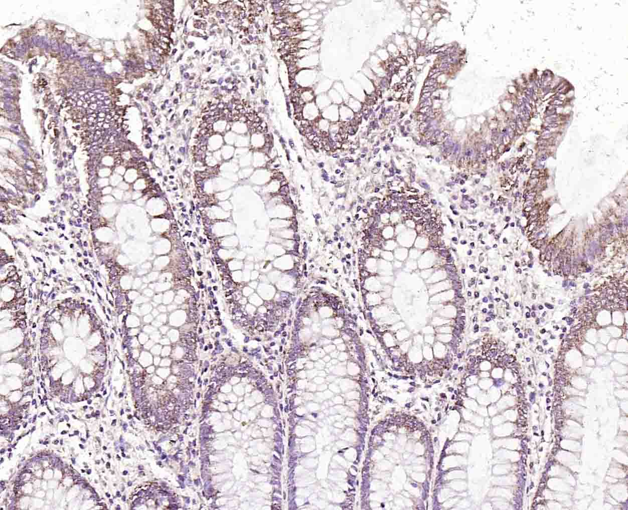
Paraformaldehyde-fixed, paraffin embedded (Human colon); Antigen retrieval by boiling in sodium citrate buffer (pH6.0) for 15min; Block endogenous peroxidase by 3% hydrogen peroxide for 20 minutes; Blocking buffer (normal goat serum) at 37°C for 30min; Incubation with (amine Oxidase B Rabbit pAb) Polyclonal Antibody, Unconjugated (bs-11297R) at 1:200 overnight at 4°C, followed by operating according to SP Kit(Rabbit) (sp-0023) instructionsand DAB staining.
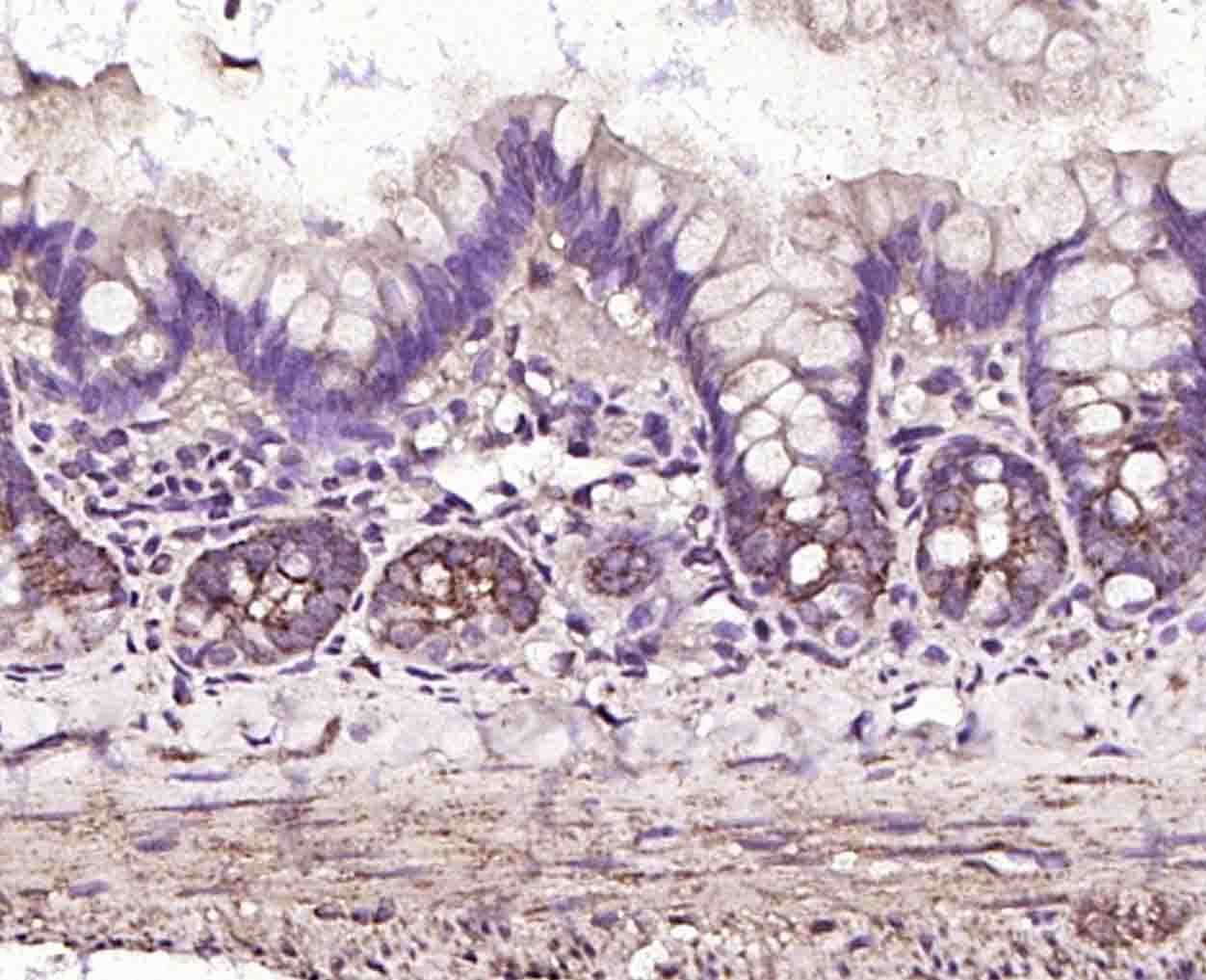
Paraformaldehyde-fixed, paraffin embedded (human duodenum); Antigen retrieval by boiling in sodium citrate buffer (pH6.0) for 15min; Block endogenous peroxidase by 3% hydrogen peroxide for 20 minutes; Blocking buffer (normal goat serum) at 37°C for 30min; Incubation with (amine Oxidase B Rabbit pAb) Polyclonal Antibody, Unconjugated (bs-11297R) at 1:200 overnight at 4°C, followed by operating according to SP Kit(Rabbit) (sp-0023) instructionsand DAB staining.
Paraformaldehyde-fixed, paraffin embedded (rat duodenum); Antigen retrieval by boiling in sodium citrate buffer (pH6.0) for 15min; Block endogenous peroxidase by 3% hydrogen peroxide for 20 minutes; Blocking buffer (normal goat serum) at 37°C for 30min; Incubation with (amine Oxidase B Rabbit pAb) Polyclonal Antibody, Unconjugated (bs-11297R) at 1:200 overnight at 4°C, followed by operating according to SP Kit(Rabbit) (sp-0023) instructionsand DAB staining.
Paraformaldehyde-fixed, paraffin embedded (mouse duodenum); Antigen retrieval by boiling in sodium citrate buffer (pH6.0) for 15min; Block endogenous peroxidase by 3% hydrogen peroxide for 20 minutes; Blocking buffer (normal goat serum) at 37°C for 30min; Incubation with (amine Oxidase B Rabbit pAb) Polyclonal Antibody, Unconjugated (bs-11297R) at 1:200 overnight at 4°C, followed by operating according to SP Kit(Rabbit) (sp-0023) instructionsand DAB staining.
Paraformaldehyde-fixed, paraffin embedded (human kidney carcinoma); Antigen retrieval by boiling in sodium citrate buffer (pH6.0) for 15min; Block endogenous peroxidase by 3% hydrogen peroxide for 20 minutes; Blocking buffer (normal goat serum) at 37°C for 30min; Incubation with (amine Oxidase B Rabbit pAb) Polyclonal Antibody, Unconjugated (bs-11297R) at 1:200 overnight at 4°C, followed by operating according to SP Kit(Rabbit) (sp-0023) instructionsand DAB staining.
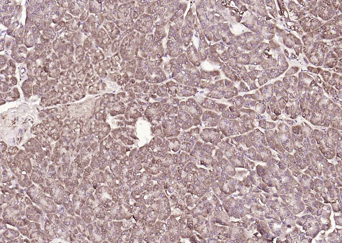
Paraformaldehyde-fixed, paraffin embedded (human pancreas); Antigen retrieval by boiling in sodium citrate buffer (pH6.0) for 15min; Block endogenous peroxidase by 3% hydrogen peroxide for 20 minutes; Blocking buffer (normal goat serum) at 37°C for 30min; Incubation with (Monoamine Oxidase B) Polyclonal Antibody, Unconjugated (bs-11297R) at 1:200 overnight at 4°C, followed by operating according to SP Kit(Rabbit) (sp-0023) instructionsand DAB staining.
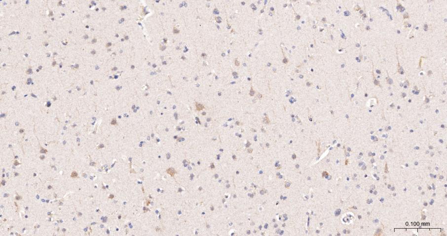
Paraformaldehyde-fixed, paraffin embedded (human brain); Antigen retrieval by boiling in sodium citrate buffer (pH6.0) for 15min; Block endogenous peroxidase by 3% hydrogen peroxide for 20 minutes; Blocking buffer (normal goat serum) at 37°C for 30min; Incubation with (Monoamine Oxidase B) Polyclonal Antibody, Unconjugated (bs-11297R) at 1:200 overnight at 4°C, followed by operating according to SP Kit(Rabbit) (sp-0023) instructionsand DAB staining.
版权所有 2004-2026 www.bioss.com.cn 北京博奥森生物技术有限公司
通过国际质量管理体系ISO 9001:2015 GB/T 19001-2016    证书编号: 00124Q34771R2M/1100
通过国际医疗器械-质量管理体系ISO 13485:2016 GB/T 42061-2022    证书编号: CQC24QY10047R0M/1100
京ICP备05066980号-1         京公网安备110107000727号