扫码关注公众号           扫码咨询技术支持           扫码咨询技术服务
  
客服热线:400-901-9800  客服QQ:4009019800  技术答疑  技术支持  质量反馈  人才招聘  关于我们  联系我们
产品中心-北京博奥森生物技术有限公司
首页 > 产品中心 > 一抗 > 产品信息
Epac1 Rabbit pAb (bs-8682R)  
订购热线:400-901-9800
订购邮箱:sales@bioss.com.cn
订购QQ:  400-901-9800
技术支持:techsupport@bioss.com.cn
50ul/1180.00元
100ul/1980.00元
200ul/2800.00元
大包装/询价

产品编号 bs-8682R
英文名称 Epac1 Rabbit pAb
中文名称 环磷酸腺苷调节鸟嘌呤核苷酸交换因子1抗体
别    名 CAMP-GEFI; EPAC; EPAC1; HSU79275; bcm910; 2310016P22Rik; 9330170P05Rik; RPGF3_HUMAN; RAPGEF3; Exchange factor directly activated by cAMP 1; Exchange protein directly activated by cAMP 1 (EPAC 1); Rap1 guanine-nucleotide-exchange factor directly activated   
Specific References  (2)     |     bs-8682R has been referenced in 2 publications.
[IF=3.056] Fanfan Sun. et al. Epac1 signaling pathway mediates the damage and apoptosis of inner ear hair cells after noise exposure in a rat model. Neuroscience. 2021 Apr;:  IF ;  Rat.  
[IF=0] Zhang C et al. IFN-stimulated P2Y13 protects mice from viral infection by suppressing the cAMP/EPAC1 signaling pathway. Res Vet Sci. 2018 Oct;120:4-10.  WB ;  Human&Mouse.  
研究领域 免疫学  神经生物学  信号转导  
抗体来源 Rabbit
克隆类型 Polyclonal
克 隆 号
交叉反应 Rat (predicted: Human,Mouse,Rabbit)
产品应用 IHC-P=1:100-500,IHC-F=1:100-500,IF=1:100-500
not yet tested in other applications.
optimal dilutions/concentrations should be determined by the end user.
理论分子量 99 kDa
细胞定位 细胞膜 
性    状 Liquid
浓    度 1mg/ml
免 疫 原 KLH conjugated synthetic peptide derived from human Epac1: 301-400/923 
亚    型 IgG
纯化方法 affinity purified by Protein A
缓 冲 液 0.01M TBS (pH7.4) with 1% BSA, 0.02% Proclin300 and 50% Glycerol.
保存条件 Shipped at 4℃. Store at -20℃ for one year. Avoid repeated freeze/thaw cycles.
注意事项 This product as supplied is intended for research use only, not for use in human, therapeutic or diagnostic applications.
PubMed PubMed
产品介绍 The activation of RaP1 by cAMP is independent of PKA and is mediated by recently discovered family of guanine nucleotide exchange factors (GEFs) called cAMP-GEFs or Epacs. The Epac signaling therefore represents a novel mechanism for cAMP signaling with in the cAMP cascade. There are 2 members of the Epac family, Epac1 and Epac 2. Both proteins are multidomain proteins containing an autoinhibitory cAMP-binding domain that inhibits the catalytic region and a DEP domain (dishevelled, Egl-10 and pleckstrin homology domain) targeting the membrane anchors. EPAC2 has an additional cAMP-binding site in its N-terminus that binds cAMP with low affinity. EPAC1 mRNA is broadly expressed, with particularly high levels occurring in the thyroid, ovary, kidney and certain brain regions, whereas expression of EPAC2 mRNA appears to be restricted to the brain and adrenal glands. Epac 1 and Epac 2 also interact with light chain 2 (LC2) or MAP1A that serves as a scaffolding structure to stabilize the signal transduction complex. The Epac 1-selective antibodies were generated against unique antigenic sequences form near N-terminus and between RasGEFN and Ras GEF domains. The antibodies to Epac 1are affinity purified over immobilized antigen based chromatography.

Function:
Guanine nucleotide exchange factor (GEF) for RAP1A and RAP2A small GTPases that is activated by binding cAMP. Through simultaneous binding of PDE3B to RAPGEF3 and PIK3R6 is assembled in a signaling complex in which it activates the PI3K gamma complex and which is involved in angiogenesis.

Subunit:
Interacts with PDE3B.

Subcellular Location:
Endomembrane system

Tissue Specificity:
Widely expressed with highest levels in adult kidney, heart, thyroid and brain, and fetal kidney.

Similarity:
Contains 1 cyclic nucleotide-binding domain.
Contains 1 DEP domain.
Contains 1 N-terminal Ras-GEF domain.
Contains 1 Ras-GEF domain.

SWISS:
O95398

Gene ID:
10411

Database links:

Entrez Gene: 10411 Human

Entrez Gene: 223864 Mouse

Entrez Gene: 59326 Rat

Omim: 606057 Human

SwissProt: O95398 Human

SwissProt: Q8VCC8 Mouse

SwissProt: Q9Z1C8 Rat

Unigene: 8578 Human

Unigene: 42899 Rat



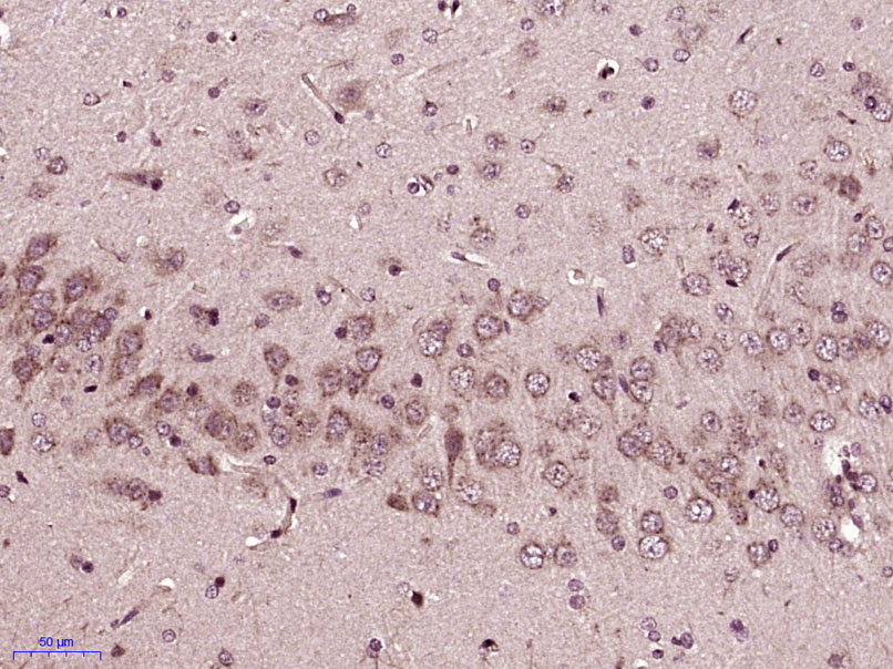
产品图片
Paraformaldehyde-fixed, paraffin embedded (Rat brain); Antigen retrieval by boiling in sodium citrate buffer (pH6.0) for 15min; Block endogenous peroxidase by 3% hydrogen peroxide for 20 minutes; Blocking buffer (normal goat serum) at 37°C for 30min; Antibody incubation with (Epac1) Polyclonal Antibody, Unconjugated (bs-8682R) at 1:400 overnight at 4°C, followed by operating according to SP Kit(Rabbit) (sp-0023) instructionsand DAB staining.
版权所有 2004-2026 www.bioss.com.cn 北京博奥森生物技术有限公司
通过国际质量管理体系ISO 9001:2015 GB/T 19001-2016    证书编号: 00124Q34771R2M/1100
通过国际医疗器械-质量管理体系ISO 13485:2016 GB/T 42061-2022     证书编号: CQC24QY20047R0M/1100
京ICP备05066980号-1         京公网安备110107000727号