扫码关注公众号           扫码咨询技术支持           扫码咨询技术服务
  
客服热线:400-901-9800  客服QQ:4009019800  技术答疑  技术支持  质量反馈  关于我们  联系我们
产品中心-北京博奥森生物技术有限公司
首页 > 产品中心 > 一抗 > 产品信息
NSMase2 Rabbit pAb (bs-11193R)  
订购热线:400-901-9800
订购邮箱:sales@bioss.com.cn
订购QQ:  400-901-9800
技术支持:techsupport@bioss.com.cn
50ul/1180.00元
100ul/1980.00元
200ul/2800.00元
大包装/询价

产品编号 bs-11193R
英文名称 NSMase2 Rabbit pAb
中文名称 中性鞘磷脂2抗体
别    名 N-SMase2; Cca1; neutral sphingomyelinase 2; Confluent 3Y1 cell-associated protein 1; Neutral sphingomyelinase 2; Neutral sphingomyelinase II; NSMA2_HUMAN; nSMase-2; nSMase2; Smpd3; Sphingomyelin phosphodiesterase 3.  
研究领域 细胞生物  神经生物学  脂蛋白  
抗体来源 Rabbit
克隆类型 Polyclonal
克 隆 号
交叉反应 Human,Mouse,Rat (predicted: Rabbit,Pig,Cow,Dog)
产品应用 IHC-P=1:100-500,IHC-F=1:100-500,IF=1:100-500,ELISA=1:5000-10000
not yet tested in other applications.
optimal dilutions/concentrations should be determined by the end user.
理论分子量 71 kDa
检测分子量
细胞定位 细胞浆 细胞膜 
性    状 Liquid
浓    度 1mg/ml
免 疫 原 KLH conjugated synthetic peptide derived from human NSMase2: 511-610/655 
亚    型 IgG
纯化方法 affinity purified by Protein A
缓 冲 液 0.01M TBS (pH7.4) with 1% BSA, 0.02% Proclin300 and 50% Glycerol.
保存条件 Shipped at 4℃. Store at -20℃ for one year. Avoid repeated freeze/thaw cycles.
注意事项 This product as supplied is intended for research use only, not for use in human, therapeutic or diagnostic applications.
PubMed PubMed
产品介绍 N-SMase2 (neutral sphingomyelinase 2), also known as NSMASE2 or SMPD3 (sphingomyelin phosphodiesterase 3), is a ubiquitously expressed 655 amino acid member of the magnesium-dependent phosphohydrolase protein family. Localized to the membrane of the Golgi apparatus, N-SMase2 functions to catalyze the hydrolysis of sphingomyelin to form ceramide and phosphocholine—two proteins that mediate cell growth arrest and apoptosis. N-SMase2 is enzymatically activated by unsaturated fatty acids and phosphatidylserine and, through regulation of ceramide synthesis, is involved in growth suppression and postnatal development. Expression of N-SMase2 is upregulated during the G0/G1 phases of the cell cycle and optimal N-SMase2 activity occurs at a slightly basic pH of 7.5. N-SMase2 deficiency is the cause of chondrodysplasia, a genetic disorder characterized by impaired bone growth that leads to short stature, bowlegs and underdeveloped joints.

Function:
Catalyzes the hydrolysis of sphingomyelin to form ceramide and phosphocholine. Ceramide mediates numerous cellular functions, such as apoptosis and growth arrest, and is capable of regulating these 2 cellular events independently. Also hydrolyzes sphingosylphosphocholine. Regulates the cell cycle by acting as a growth suppressor in confluent cells. Probably acts as a regulator of postnatal development and participates in bone and dentin mineralization.

Subunit:
Belongs to the neutral sphingomyelinase family.

Subcellular Location:
Golgi apparatus membrane. Cell membrane. May localize to detergent-resistant subdomains of Golgi membranes of hypothalamic neurosecretory neurons. According to PubMed:15051724, it localizes to plasma membrane in confluent contact-inhibited cells.

Tissue Specificity:
Predominantly expressed in brain.

Similarity:
Belongs to the neutral sphingomyelinase family.

SWISS:
Q9NY59

Gene ID:
55512

Database links:

Entrez Gene: 55512 Human

Omim: 605777 Human

SwissProt: Q9NY59 Human

Unigene: 368421 Human



产品图片
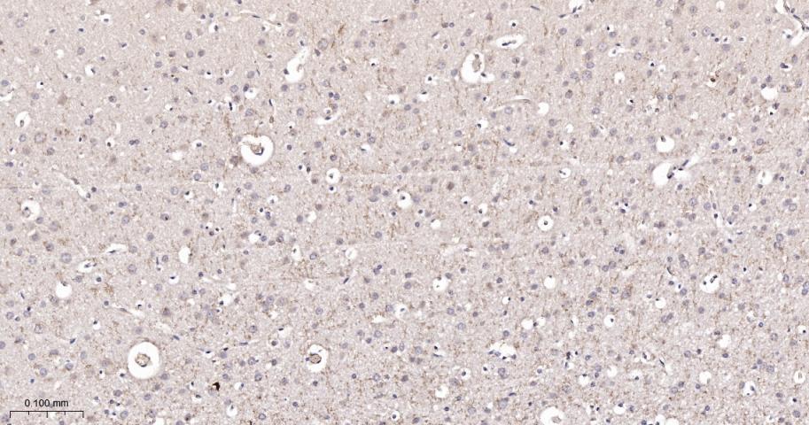
Paraformaldehyde-fixed, paraffin embedded Human Cerebrum; Antigen retrieval by boiling in sodium citrate buffer (pH6.0) for 15 min; The section was incubated with NSMase2 Polyclonal Antibody, Unconjugated (bs-11193R) at 1:200 overnight at 4°C, followed by conjugation to the bs-0295G-HRP and DAB (C-0010) staining.
Paraformaldehyde-fixed, paraffin embedded Rat Cerebrum; Antigen retrieval by boiling in sodium citrate buffer (pH6.0) for 15 min; The section was incubated with NSMase2 Polyclonal Antibody, Unconjugated (bs-11193R) at 1:200 overnight at 4°C, followed by conjugation to the bs-0295G-HRP and DAB (C-0010) staining.
Paraformaldehyde-fixed, paraffin embedded Mouse Cerebrum; Antigen retrieval by boiling in sodium citrate buffer (pH6.0) for 15 min; The section was incubated with NSMase2 Polyclonal Antibody, Unconjugated (bs-11193R) at 1:200 overnight at 4°C, followed by conjugation to the bs-0295G-HRP and DAB (C-0010) staining.
版权所有 2004-2026 www.bioss.com.cn 北京博奥森生物技术有限公司
通过国际质量管理体系ISO 9001:2015 GB/T 19001-2016    证书编号: 00124Q34771R2M/1100
通过国际医疗器械-质量管理体系ISO 13485:2016 GB/T 42061-2022     证书编号: CQC24QY20047R0M/1100
京ICP备05066980号-1         京公网安备110107000727号