扫码关注公众号           扫码咨询技术支持           扫码咨询技术服务
  
客服热线:400-901-9800  客服QQ:4009019800  技术答疑  技术支持  质量反馈  关于我们  联系我们
产品中心-北京博奥森生物技术有限公司
首页 > 产品中心 > 一抗 > 产品信息
BRMS1 Rabbit pAb (bs-8686R)  
订购热线:400-901-9800
订购邮箱:sales@bioss.com.cn
订购QQ:  400-901-9800
技术支持:techsupport@bioss.com.cn
50ul/1180.00元
100ul/1980.00元
200ul/2800.00元
大包装/询价

产品编号 bs-8686R
英文名称 BRMS1 Rabbit pAb
中文名称 乳腺癌转移抑制基因1抗体
别    名 Breast cancer metastasis suppressor 1; Breast cancer metastasis-suppressor 1; BRMS-1; BRMS1_HUMAN; DKFZp564A063; MGC95128; AV003220; AW554636.  
研究领域 肿瘤  免疫学  表观遗传学  
抗体来源 Rabbit
克隆类型 Polyclonal
克 隆 号
交叉反应 Human,Mouse,Rat (predicted: Pig,Dog,Horse)
产品应用 WB=1:500-2000,IHC-P=1:100-500,IHC-F=1:100-500,IF=1:100-500
not yet tested in other applications.
optimal dilutions/concentrations should be determined by the end user.
理论分子量 28 kDa
检测分子量
细胞定位 细胞核 细胞浆 
性    状 Liquid
浓    度 1mg/ml
免 疫 原 KLH conjugated synthetic peptide derived from human BRMS1: 151-246/246 
亚    型 IgG
纯化方法 affinity purified by Protein A
缓 冲 液 0.01M TBS (pH7.4) with 1% BSA, 0.02% Proclin300 and 50% Glycerol.
保存条件 Shipped at 4℃. Store at -20℃ for one year. Avoid repeated freeze/thaw cycles.
注意事项 This product as supplied is intended for research use only, not for use in human, therapeutic or diagnostic applications.
PubMed PubMed
产品介绍 Breast cancer metastasis-suppressor 1 (BRMS1) is 246 amino acid protein that acts as a mediator of metastasis suppression in several types of cancer including ovarian, lung, bladder, and murine mammary. BRMS1 mRNA is expressed in various tissues, including ovary, prostate, testis, and colon, but the protein is primarily detected in term placenta. BRMS1 suppresses metastasis without inhibiting tumorigenicity by modifying several metastasis-associated phenotypes. BRMS1 may participate in transcriptional regulation by binding to the mSin3/histone deacetylase complex. The expression of BRMS1 in certain cells increases connexin Cx43 expression and reduces connexin Cx32 expression. This produces a gap junction that increases intercellular communication, similar to those found in normal breast tissue. BRMS1 is stabilized by Hsp90 and may inhibit NF-ⅹB activity.

Function:
Transcriptional repressor. Down-regulates transcription activation by NF-kappa-B by promoting the deacetylation of RELA at 'Lys-310'. Promotes HDAC1 binding to promoter regions. Down-regulates expression of anti-apoptotic genes that are controlled by NF-kappa-B. Promotes apoptosis in cells that have inadequate adherence to a substrate, a process called anoikis, and may thereby inhibit metastasis. May be a mediator of metastasis suppression in breast carcinoma.

Subunit:
Belongs to the BRMS1 family.

Subcellular Location:
Nucleus. Cytoplasm. Predominantly nuclear.

Tissue Specificity:
Expression levels are higher in term placentas than in early placentas. Low levels of expression observed in normal pregnancies and in molar pregnancies.

Similarity:
Belongs to the BRMS1 family.

SWISS:
Q9HCU9

Gene ID:
25855

Database links:

Entrez Gene: 25855 Human

Omim: 606259 Human

SwissProt: Q9HCU9 Human

Unigene: 100426 Human



产品图片
Sample: HepG2(Human) Cell Lysate at 30 ug Primary: Anti-BRMS1 (bs-8686R) at 1/1000 dilution Secondary: IRDye800CW Goat Anti-Rabbit IgG at 1/20000 dilution Predicted band size: 28 kD Observed band size: 28 kD
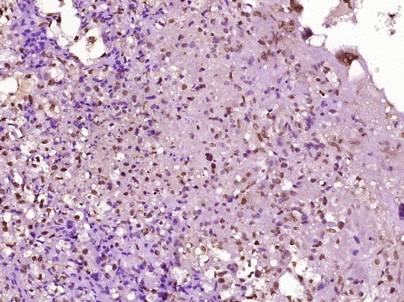
Paraformaldehyde-fixed, paraffin embedded (rat placenta); Antigen retrieval by boiling in sodium citrate buffer (pH6.0) for 15min; Block endogenous peroxidase by 3% hydrogen peroxide for 20 minutes; Blocking buffer (normal goat serum) at 37°C for 30min; Incubation with (BRMS1 Rabbit pAb) Polyclonal Antibody, Unconjugated (bs-8686R) at 1:200 overnight at 4°C, followed by operating according to SP Kit(Rabbit) (sp-0023) instructionsand DAB staining.
Paraformaldehyde-fixed, paraffin embedded (mouse brain); Antigen retrieval by boiling in sodium citrate buffer (pH6.0) for 15min; Block endogenous peroxidase by 3% hydrogen peroxide for 20 minutes; Blocking buffer (normal goat serum) at 37°C for 30min; Incubation with (BRMS1 Rabbit pAb) Polyclonal Antibody, Unconjugated (bs-8686R) at 1:200 overnight at 4°C, followed by operating according to SP Kit(Rabbit) (sp-0023) instructionsand DAB staining.
Paraformaldehyde-fixed, paraffin embedded (human testis); Antigen retrieval by boiling in sodium citrate buffer (pH6.0) for 15min; Block endogenous peroxidase by 3% hydrogen peroxide for 20 minutes; Blocking buffer (normal goat serum) at 37°C for 30min; Incubation with (BRMS1 Rabbit pAb) Polyclonal Antibody, Unconjugated (bs-8686R) at 1:200 overnight at 4°C, followed by operating according to SP Kit(Rabbit) (sp-0023) instructionsand DAB staining
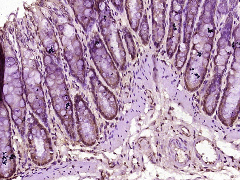
Paraformaldehyde-fixed, paraffin embedded (Rat colon); Antigen retrieval by boiling in sodium citrate buffer (pH6.0) for 15min; Block endogenous peroxidase by 3% hydrogen peroxide for 20 minutes; Blocking buffer (normal goat serum) at 37°C for 30min; Antibody incubation with (BRMS1) Polyclonal Antibody, Unconjugated (bs-8686R) at 1:400 overnight at 4°C, followed by operating according to SP Kit(Rabbit) (sp-0023) instructionsand DAB staining.
Paraformaldehyde-fixed, paraffin embedded (Mouse placenta); Antigen retrieval by boiling in sodium citrate buffer (pH6.0) for 15min; Block endogenous peroxidase by 3% hydrogen peroxide for 20 minutes; Blocking buffer (normal goat serum) at 37°C for 30min; Antibody incubation with (BRMS1) Polyclonal Antibody, Unconjugated (bs-8686R) at 1:400 overnight at 4°C, followed by operating according to SP Kit(Rabbit) (sp-0023) instructionsand DAB staining.
版权所有 2004-2026 www.bioss.com.cn 北京博奥森生物技术有限公司
通过国际质量管理体系ISO 9001:2015 GB/T 19001-2016    证书编号: 00124Q34771R2M/1100
通过国际医疗器械-质量管理体系ISO 13485:2016 GB/T 42061-2022     证书编号: CQC24QY20047R0M/1100
京ICP备05066980号-1         京公网安备110107000727号