扫码关注公众号           扫码咨询技术支持           扫码咨询技术服务
  
客服热线:400-901-9800  客服QQ:4009019800  技术答疑  技术支持  质量反馈  人才招聘  关于我们  联系我们
产品中心-北京博奥森生物技术有限公司
首页 > 产品中心 > 一抗 > 产品信息
gamma crystallin S Rabbit pAb (bs-9585R)  
订购热线:400-901-9800
订购邮箱:sales@bioss.com.cn
订购QQ:  400-901-9800
技术支持:techsupport@bioss.com.cn
50ul/1180.00元
100ul/1980.00元
200ul/2800.00元
大包装/询价

产品编号 bs-9585R
英文名称 gamma crystallin S Rabbit pAb
中文名称 γ晶状体蛋白S/γS-crystallin抗体
别    名 CRYGS_HUMAN; CRYGS; Beta-crystallin S; Gamma-S-crystallin; CRYG8; CTRCT20;   
研究领域 细胞生物  神经生物学  
抗体来源 Rabbit
克隆类型 Polyclonal
克 隆 号
交叉反应 Rat (predicted: Human,Mouse,Rabbit,Pig,Cow,Dog)
产品应用 IHC-P=1:100-500,IHC-F=1:100-500,IF=1:100-500
not yet tested in other applications.
optimal dilutions/concentrations should be determined by the end user.
理论分子量 20 kDa
性    状 Liquid
浓    度 1mg/ml
免 疫 原 KLH conjugated synthetic peptide derived from human gamma crystallin S: 121-168/178 
亚    型 IgG
纯化方法 affinity purified by Protein A
缓 冲 液 0.01M TBS (pH7.4) with 1% BSA, 0.02% Proclin300 and 50% Glycerol.
保存条件 Shipped at 4℃. Store at -20℃ for one year. Avoid repeated freeze/thaw cycles.
注意事项 This product as supplied is intended for research use only, not for use in human, therapeutic or diagnostic applications.
PubMed PubMed
产品介绍 Crystallins are water soluble structural proteins found in the vertebrate eye. Mammalian crystallins are classified in three forms, designated α, β and γ. Crystallins, as the principal components of the lens, function to increase the refractive index of the eye during accommodation by forming high-molecular weight aggregates which maintain transparency. γS-crystallin (Gamma-crystallin S), also known as Beta-crystallin S, is a 178 amino acid protein that exists as a monomer which does not aggregate. γS-crystallin contains a two-domain beta structure and belongs to the beta/gamma-crystallin gene family mapping to human chromosome 3. γS-crystallin has been linked to congenital cataract development, a disorder signified by increasing levels of lens opacity.

Function:
Crystallins are the dominant structural components of the vertebrate eye lens.

Subunit:
Monomer.

Subcellular Location:
Has a two-domain beta-structure, folded into four very similar Greek key motifs.

Similarity:
Belongs to the beta/gamma-crystallin family.
Contains 4 beta/gamma crystallin 'Greek key' domains.

SWISS:
P22914

Gene ID:
1427

Database links:

Entrez Gene: 1427 Human

Entrez Gene: 12970 Mouse

Entrez Gene: 689897 Rat

Omim: 123730 Human

SwissProt: P06504 Cow

SwissProt: P22914 Human

SwissProt: O35486 Mouse

SwissProt: P0C5E9 Rat

Unigene: 376209 Human

Unigene: 6253 Mouse

Unigene: 198271 Rat



γS-crystallin
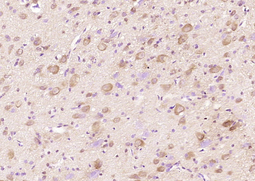
产品图片
Paraformaldehyde-fixed, paraffin embedded (rat brain); Antigen retrieval by boiling in sodium citrate buffer (pH6.0) for 15min; Block endogenous peroxidase by 3% hydrogen peroxide for 20 minutes; Blocking buffer (normal goat serum) at 37°C for 30min; Antibody incubation with (gamma crystallin S) Polyclonal Antibody, Unconjugated (bs-9585R) at 1:200 overnight at 4°C, followed by operating according to SP Kit(Rabbit) (sp-0023) instructionsand DAB staining.
版权所有 2004-2026 www.bioss.com.cn 北京博奥森生物技术有限公司
通过国际质量管理体系ISO 9001:2015 GB/T 19001-2016    证书编号: 00124Q34771R2M/1100
通过国际医疗器械-质量管理体系ISO 13485:2016 GB/T 42061-2022     证书编号: CQC24QY20047R0M/1100
京ICP备05066980号-1         京公网安备110107000727号