扫码关注公众号           扫码咨询技术支持           扫码咨询技术服务
  
客服热线:400-901-9800  客服QQ:4009019800  技术答疑  技术支持  质量反馈  人才招聘  关于我们  联系我们
产品中心-北京博奥森生物技术有限公司
首页 > 产品中心 > 一抗 > 产品信息
SPRR3 Rabbit pAb (bs-11163R)  
订购热线:400-901-9800
订购邮箱:sales@bioss.com.cn
订购QQ:  400-901-9800
技术支持:techsupport@bioss.com.cn
50ul/1180.00元
100ul/1980.00元
200ul/2800.00元
大包装/询价

产品编号 bs-11163R
英文名称 SPRR3 Rabbit pAb
中文名称 角质蛋白β抗体
别    名 SPRR3_HUMAN; SPRR3; 22 kDa pancornulin; Cornifin beta; Esophagin; SPRC;   
研究领域 细胞生物  神经生物学  
抗体来源 Rabbit
克隆类型 Polyclonal
克 隆 号
交叉反应 Human (predicted: Mouse,Rat)
产品应用 IHC-P=1:100-500,IHC-F=1:100-500,IF=1:100-500
not yet tested in other applications.
optimal dilutions/concentrations should be determined by the end user.
理论分子量 18 kDa
细胞定位 细胞浆 
性    状 Liquid
浓    度 1mg/ml
免 疫 原 KLH conjugated synthetic peptide derived from human SPRR3/Cornifin B: 21-100/169 
亚    型 IgG
纯化方法 affinity purified by Protein A
缓 冲 液 0.01M TBS (pH7.4) with 1% BSA, 0.02% Proclin300 and 50% Glycerol.
保存条件 Shipped at 4℃. Store at -20℃ for one year. Avoid repeated freeze/thaw cycles.
注意事项 This product as supplied is intended for research use only, not for use in human, therapeutic or diagnostic applications.
PubMed PubMed
产品介绍 Esophagin, also known as small proline-rich protein 3 (SPR3) or Cornifin ∫, belongs to the cornifin family of cornified-envelope structural proteins. It is expressed in mucosal epithelia such as esophagus and tongue and is strongly induced during epidermal keratinocyte differentiation. Due to its highly inducible nature, Esophagin is considered a marker of squamous differentiation. Esophagin serves as a cross-linking protein within the cornified cell envelope and may play a role in the maintenance of normal esophageal epithelial homeostasis. It shares significant homology with the related proteins, SPRR1 and SPRR2. Esophagin is typically not expressed in healthy human epithelium, but its expression is upregulated in numerous hyperproliferative disorders of the skin. Contrastly, its expression is dramatically downregulated in esophageal squamous cell carcinoma.

Function:
Cross-linked envelope protein of keratinocytes.

Subunit:
Belongs to the cornifin (SPRR) family.

Subcellular Location:
Cytoplasm.

Similarity:
Belongs to the cornifin (SPRR) family.

SWISS:
Q9UBC9

Gene ID:
6707

Database links:

Entrez Gene: 6707 Human

Omim: 182271 Human

SwissProt: Q9UBC9 Human

Unigene: 139322 Human



产品图片
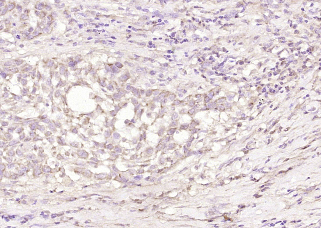
Paraformaldehyde-fixed, paraffin embedded (Human esophageal cancer); Antigen retrieval by boiling in sodium citrate buffer (pH6.0) for 15min; Block endogenous peroxidase by 3% hydrogen peroxide for 20 minutes; Blocking buffer (normal goat serum) at 37°C for 30min; Antibody incubation with (SPRR3) Polyclonal Antibody, Unconjugated (bs-11163R) at 1:400 overnight at 4°C, followed by operating according to SP Kit(Rabbit) (sp-0023) instructionsand DAB staining.
版权所有 2004-2026 www.bioss.com.cn 北京博奥森生物技术有限公司
通过国际质量管理体系ISO 9001:2015 GB/T 19001-2016    证书编号: 00124Q34771R2M/1100
通过国际医疗器械-质量管理体系ISO 13485:2016 GB/T 42061-2022     证书编号: CQC24QY20047R0M/1100
京ICP备05066980号-1         京公网安备110107000727号