扫码关注公众号           扫码咨询技术支持           扫码咨询技术服务
  
客服热线:400-901-9800  客服QQ:4009019800  技术答疑  技术支持  质量反馈  人才招聘  关于我们  联系我们
产品中心-北京博奥森生物技术有限公司
首页 > 产品中心 > 一抗 > 产品信息
Osteocalcin Rabbit pAb (bs-4917R)  
订购热线:400-901-9800
订购邮箱:sales@bioss.com.cn
订购QQ:  400-901-9800
技术支持:techsupport@bioss.com.cn
50ul/1180.00元
100ul/1980.00元
大包装/询价

产品编号 bs-4917R
英文名称 Osteocalcin Rabbit pAb
中文名称 骨钙蛋白/骨钙素抗体
别    名 BGP; OC; OCN; Bglap2; Bgpr; Bgpra; OSTCN_BOVIN; BGLAP; Bone Gla protein (BGP); Gamma-carboxyglutamic acid-containing protein; OSTCN_HUMAN; OSTCN_PIG; OSTCN_RAT;   
Specific References  (43)     |     bs-4917R has been referenced in 43 publications.
[IF=13.273] Fangyu Qiao. et al. 4-Octyl itaconate modified demineralized bone matrix scaffold improves bone repair by regulating early inflammation. Chem Eng J. 2021 Dec;425:131490  WB ;  Rat.  
[IF=11.322] Jinxiu Yu. et al. Promoting osseointegration of titanium by pH-responsive releasing of H2S and optimizing polarization time for macrophages. COMPOS PART B-ENG. 2023 Mar;253:110554  IHC ;  Rat.  
[IF=10.652] Zhuo Liang. et al. Exosome derived from mesenchymal stem cells mediates hypoxia-specific BMP2 gene delivery and enhances bone regeneration. Chem Eng J. 2021 Oct;422:130084  IHC ;  Rabbit.  
[IF=10.319] Dan Li. et al. A HAase/NIR responsive surface on titanium implants for treating bacterial infection and improving osseointegration. J MATER SCI TECHNOL. 2022 Nov;:  IF ;  Rat.  
[IF=9.77]  Zheng-Zhao Liu . et al. Autophagy receptor OPTN (optineurin) regulates mesenchymal stem cell fate and bone-fat balance during aging by clearing FABP3. 2020 Nov 04  IHC ;  Mouse.  
[IF=8.352] Ye Hea et al. Improved osteointegration by SEW2871-encapsulated multilayers on micro-structured titanium via macrophages recruitment and immunomodulation. Applied Materials Today 20 (2020) 100673  IHC ;  Rat.  
[IF=8.31] Li, Long, et al. "Controlled dual delivery of BMP-2 and dexamethasone by nanoparticle-embedded electrospun nanofibers for the efficient repair of critical-sized rat calvarial defect." Biomaterials (2014).  IHC-P ;  Rat.  
[IF=8.025] Yixuan Li. et al. Minimally invasive bone augmentation through subperiosteal injectable hydroxylapatite/laponite/alginate nanocomposite hydrogels. INT J BIOL MACROMOL. 2023 Mar;231:123232  IHC ;  Rat.  
[IF=7.666] Maximilian Koblenzer. et al. Physiological Mineralization during In Vitro Osteogenesis in a Biomimetic Spheroid Culture Model. CELLS-BASEL. 2022 Jan;11(17):2702  IHC ;  Mouse.  
[IF=7.666] Katarzyna Klimek. et al. Could Curdlan/Whey Protein Isolate/Hydroxyapatite Biomaterials Be Considered as Promising Bone Scaffolds?—Fabrication, Characterization, and Evaluation of Cytocompatibility towards Osteoblast Cells In Vitro. CELLS-BASEL. 2022 Jan;11(20):3251  IF ;  Human.  
[IF=7.59] Zhenyin Chen. et al. Dynamic stiffening collagen-coated substrate enhances osteogenic differentiation of mesenchymal stem cells through integrin α2β1. BIOMATER SCI-UK. 2023 May;:  IF ;  Rat.  
[IF=7.31] Guangyue Li. et al. Irisin Promotes Osteogenesis by Modulating Oxidative Stress and Mitophagy through SIRT3 Signaling under Diabetic Conditions. OXID MED CELL LONGEV. 2022 Oct 10;2022:3319056  IHC ;  Rat.  
[IF=6.895] Liu M et al. Luminescent Net-like Inorganic Scaffolds with Europium Doped Hydroxyapatite for Enhanced Bone ReconstructionNanoscale.2021 Jan 6.  IF ;  Human.  
[IF=6.344] Zheng, Han. et al. miR-140-3p enhanced the osteo/odontogenic differentiation of DPSCs via inhibiting KMT5B under hypoxia condition. Int J Oral Sci. 2021 Dec;13(1):1-10  WB ;  Human.  
[IF=6.208] Samantha Ketelyn Silva. et al. Suitability of Chitosan Scaffolds with Carbon Nanotubes for Bone Defects Treated with Photobiomodulation. INT J MOL SCI. 2022 Jan;23(12):6503  IHC ;  Rat.  
[IF=5.988] Kou Yuying. et al. Eldecalcitol prevented OVX-induced osteoporosis through inhibiting BMSCs senescence by regulating the SIRT1-Nrf2 signal. FRONT PHARMACOL. 2023 Mar;14:504  WB ;  Rat.  
[IF=5.88] Förster Y et al. The influence of different artificial extracellular matrix implant coatings on the regeneration of a critical size femur defect in rats. Mater Sci Eng C Mater Biol Appl . 2020 Nov;116:111157.  IHF-P ;  Rat.  
[IF=5.88] Qiuping Leng. et al. Demineralized bone matrix scaffold modified with mRNA derived from osteogenically pre-differentiated MSCs improves bone repair. Mat Sci Eng C-Mater. 2021 Feb;119:111601  IHC ;  Rat.  
[IF=5.854] Yi Liu. et al. Modification of COL1A1 in Autologous Adipose Tissue-Derived Progenitor Cells Rescues the Bone Phenotype in a Mouse Model of Osteogenesis Imperfecta. 2021 May 18  IF ;  Mouse.  
[IF=5.711] Zhu H et al. Direct reprogramming of mouse fibroblasts into functional osteoblasts. J Bone Miner Res. 2019 Dec 2.  ICF ;  Mouse.  
[IF=5.157] Qingnan Yan. et al. Loss of phosphatidylinositol-4-phosphate 5-kinase type-1 gamma (Pip5k1c) in mesenchymal stem cells leads to osteopenia by impairing bone remodeling. J Biol Chem. 2022 Jan;:101639  IF ;  Mouse.  
[IF=5.051] Du Zhi. et al. Circulating exosomal circRNA_0063476 impairs expression of markers of bone growth via the miR-518c-3p/DDX6 axis in ISS. ENDOCRINOLOGY. 2022 Aug;:  IHC ;  Rat.  
[IF=4.652] Jiang et al. Andrographolide Exerts Pro-Osteogenic Effect by Activation of Wnt/β-Catenin Signaling Pathway in Vitro. (2015) Cell.Physiol.Bioche. 36:2327-39  ICC ;  Rat.  
[IF=4.545] Liu Y et al. The synergistic effect of NELL1 and adipose-derived stem cells on promoting bone formation in osteogenesis imperfecta treatment. Biomed Pharmacother. 2020 Aug;128:110235.  IHC ;  Mouse.  
[IF=4.15] Ding, Shan, et al. "A nano-micro alternating multilayer scaffold loading with rBMSCs and BMP-2 for bone tissue engineering." Colloids and Surfaces B: Biointerfaces (2015).  IHC-P ;  Rat.  
[IF=4.122] İbrahim Halilullah Erbay. et al. Bioengineering bone-on-a-chip model harnessing osteoblastic and osteoclastic resolution. ADV ENG MATER. 2022 Dec;:  IF ;  Mouse.  
[IF=3.989] Liu G et al. Suppressing MicroRNA-30b by Estrogen Promotes Osteogenesis in Bone Marrow MesenchymalStem Cells. Stem Cells Int. 2019 Apr 4;2019:7547506.  WB ;  Rat.  
[IF=3.869] Zhang Chen. et al. The Histone Demethylase KDM3B Promotes Osteo-/Odontogenic Differentiation, Cell Proliferation, and Migration Potential of Stem Cells from the Apical Papilla. Stem Cells Int. 2020;2020:8881021  WB ;  Humann.  
[IF=3.448] Xiao Y et al. Controlled delivery of recombinant human bone morphogenetic protein-2 by using glucose-sensitive core–shell nanofibers to repair the mandible defects in diabetic rats. J. Mater. Chem. B, 2019,7, 4347-4360.  ICF ;  Human.  
[IF=3.328] Nan Wang. et al. Histological analysis of pulp mineralisation after severe intrusive luxation of immature molars in rats. DENT TRAUMATOL. 2023 Feb;:  IHC ;  Rat.  
研究领域 细胞生物  信号转导  干细胞  细胞外基质  
抗体来源 Rabbit
克隆类型 Polyclonal
克 隆 号
交叉反应 Human,Mouse,Rat
产品应用 WB=1:500-2000,IHC-P=1:100-500,IHC-F=1:100-500,IF=1:100-500,ELISA=1:5000-10000
not yet tested in other applications.
optimal dilutions/concentrations should be determined by the end user.
理论分子量 11 kDa
细胞定位 分泌型蛋白 
性    状 Liquid
浓    度 1mg/ml
免 疫 原 KLH conjugated synthetic peptide derived from human Osteocalcin: 21-100/100 
亚    型 IgG
纯化方法 affinity purified by Protein A
缓 冲 液 0.01M TBS (pH7.4) with 1% BSA, 0.02% Proclin300 and 50% Glycerol.
保存条件 Shipped at 4℃. Store at -20℃ for one year. Avoid repeated freeze/thaw cycles.
注意事项 This product as supplied is intended for research use only, not for use in human, therapeutic or diagnostic applications.
PubMed PubMed
产品介绍 Osteocalcin belongs to the osteocalcin/matrix Gla protein family and constitutes 1 to 2% of the total bone protein. It is a 49 amino acid single chain vitamin K dependent protein, made by osteoblasts, and is a major component of the noncollagenous bone matrix. Post translational modification by a vitamin K dependent carboxylase produces three gamma carboxyglutamic acid residues at positions 17, 21 and 24, giving it a high affinity for calcium. It also binds strongly to apatite.

Function:
Constitutes 1-2% of the total bone protein. It binds strongly to apatite and calcium.

Subcellular Location:
Secreted.

Post-translational modifications:
Gamma-carboxyglutamate residues are formed by vitamin K dependent carboxylation. These residues are essential for the binding of calcium.

Similarity:
Belongs to the osteocalcin/matrix Gla protein family.
Contains 1 Gla (gamma-carboxy-glutamate) domain.

SWISS:
P02818

Gene ID:
632

Database links:

Entrez Gene: 281646 Cow

Entrez Gene: 632 Human

Entrez Gene: 397530 Pig

Entrez Gene: 25295 Rat

Omim: 112260 Human

SwissProt: P02820 Cow

SwissProt: P02818 Human

SwissProt: Q8HYY9 Pig

SwissProt: P04640 Rat

Unigene: 654541 Human

Unigene: 9722 Rat



骨钙素又称骨γ-羧谷氨酸包含蛋白
产品图片
Sample: Lane 1: Mouse NIH/3T3 cell lysates Lane 2: Human MG63 cell lysates Lane 3: Human A549 cell lysates Lane 4: Human U-2 OS cell lysates Primary: Anti-Osteocalcin (bs-4917R) at 1/500 dilution Secondary: IRDye800CW Goat Anti-Rabbit IgG at 1/20000 dilution Predicted band size: 11 kDa Observed band size: 11 kDa
25 ug total protein per lane of various lysates (see on figure) probed with Osteocalcin polyclonal antibody, unconjugated (bs-4917R) at 1:1000 dilution and 4°C overnight incubation. Followed by conjugated secondary antibody incubation at r.t. for 60 min.
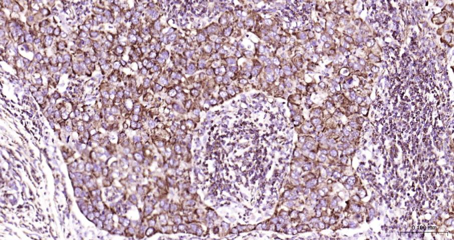
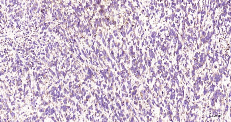
Paraformaldehyde-fixed, paraffin embedded Human Ewing’s sarcoma; Antigen retrieval by boiling in sodium citrate buffer (pH6.0) for 15 min; The section was incubated with Osteocalcin Polyclonal Antibody, Unconjugated (bs-4917R) at 1:200 overnight at 4°C, followed by conjugation to the bs-0295G-HRP and DAB (C-0010) staining.
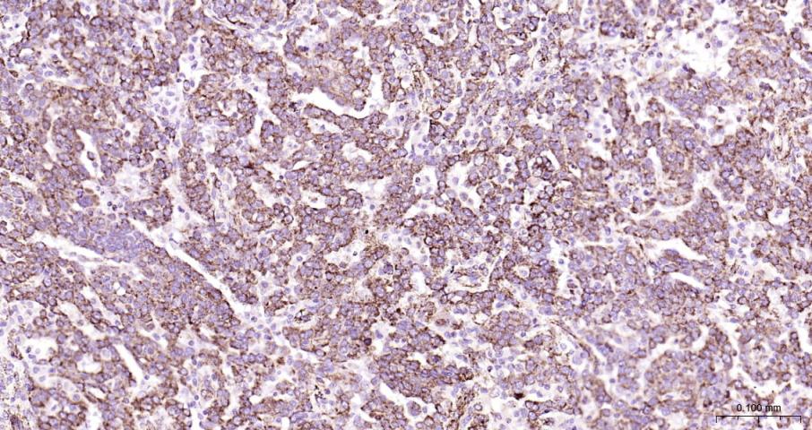
Paraformaldehyde-fixed, paraffin embedded Human Breast Cancer; Antigen retrieval by boiling in sodium citrate buffer (pH6.0) for 15 min; The section was incubated with Osteocalcin Polyclonal Antibody, Unconjugated (bs-4917R) at 1:200 overnight at 4°C, followed by conjugation to the bs-0295G-HRP and DAB (C-0010) staining.
Paraformaldehyde-fixed, paraffin embedded Human Ovarian Cancer; Antigen retrieval by boiling in sodium citrate buffer (pH6.0) for 15 min; The section was incubated with Osteocalcin Polyclonal Antibody, Unconjugated (bs-4917R) at 1:200 overnight at 4°C, followed by conjugation to the bs-0295G-HRP and DAB (C-0010) staining.
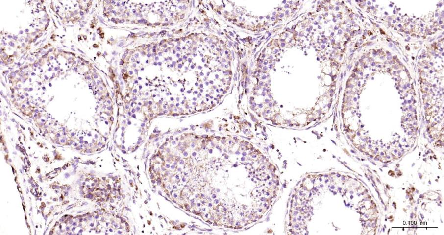
Paraformaldehyde-fixed, paraffin embedded Human Testicles; Antigen retrieval by boiling in sodium citrate buffer (pH6.0) for 15 min; The section was incubated with Osteocalcin Polyclonal Antibody, Unconjugated (bs-4917R) at 1:200 overnight at 4°C, followed by conjugation to the bs-0295G-HRP and DAB (C-0010) staining.
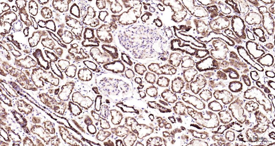
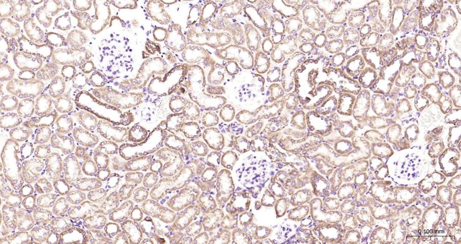
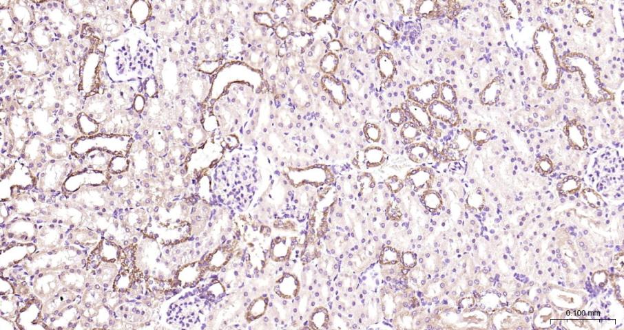
Paraformaldehyde-fixed, paraffin embedded Mouse Kidney; Antigen retrieval by boiling in sodium citrate buffer (pH6.0) for 15 min; The section was incubated with Osteocalcin Polyclonal Antibody, Unconjugated (bs-4917R) at 1:200 overnight at 4°C, followed by conjugation to the bs-0295G-HRP and DAB (C-0010) staining.
Paraformaldehyde-fixed, paraffin embedded Human Kidney; Antigen retrieval by boiling in sodium citrate buffer (pH6.0) for 15 min; The section was incubated with Osteocalcin Polyclonal Antibody, Unconjugated (bs-4917R) at 1:200 overnight at 4°C, followed by conjugation to the bs-0295G-HRP and DAB (C-0010) staining.
Paraformaldehyde-fixed, paraffin embedded Rat Kidney; Antigen retrieval by boiling in sodium citrate buffer (pH6.0) for 15 min; The section was incubated with Osteocalcin Polyclonal Antibody, Unconjugated (bs-4917R) at 1:200 overnight at 4°C, followed by conjugation to the bs-0295G-HRP and DAB (C-0010) staining.
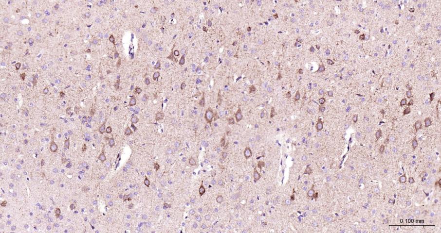
Paraformaldehyde-fixed, paraffin embedded Mouse Cerebrum; Antigen retrieval by boiling in sodium citrate buffer (pH6.0) for 15 min; The section was incubated with Osteocalcin Polyclonal Antibody, Unconjugated (bs-4917R) at 1:200 overnight at 4°C, followed by conjugation to the bs-0295G-HRP and DAB (C-0010) staining.
Paraformaldehyde-fixed, paraffin embedded Rat Cerebrum; Antigen retrieval by boiling in sodium citrate buffer (pH6.0) for 15 min; The section was incubated with Osteocalcin Polyclonal Antibody, Unconjugated (bs-4917R) at 1:200 overnight at 4°C, followed by conjugation to the bs-0295G-HRP and DAB (C-0010) staining.
Paraformaldehyde-fixed, paraffin embedded (human skeletal muscle); Antigen retrieval by boiling in sodium citrate buffer (pH6.0) for 15min; Block endogenous peroxidase by 3% hydrogen peroxide for 20 minutes; Blocking buffer (normal goat serum) at 37°C for 30min; Incubation with (Osteocalcin) Polyclonal Antibody, Unconjugated (bs-4917R) at 1:100 overnight at 4°C, followed by operating according to SP Kit(Rabbit) (sp-0023) instructionsand DAB staining.
Paraformaldehyde-fixed, paraffin embedded Human Ovarian Cancer; Antigen retrieval by boiling in sodium citrate buffer (pH6.0) for 15 min; The section was incubated with Osteocalcin Polyclonal Antibody, Unconjugated (bs-4917R) at 1:200 overnight at 4°C. Followed by conjugated Goat Anti-Rabbit IgG antibody (green, bs-0295G-BF488), DAPI (blue, C02-04002) was used to stain the cell nuclei.
Paraformaldehyde-fixed, paraffin embedded Human Kidney; Antigen retrieval by boiling in sodium citrate buffer (pH6.0) for 15 min; The section was incubated with Osteocalcin Polyclonal Antibody, Unconjugated (bs-4917R) at 1:200 overnight at 4°C. Followed by conjugated Goat Anti-Rabbit IgG antibody (green, bs-0295G-BF488), DAPI (blue, C02-04002) was used to stain the cell nuclei.
Paraformaldehyde-fixed, paraffin embedded Mouse Kidney; Antigen retrieval by boiling in sodium citrate buffer (pH6.0) for 15 min; The section was incubated with Osteocalcin Polyclonal Antibody, Unconjugated (bs-4917R) at 1:200 overnight at 4°C. Followed by conjugated Goat Anti-Rabbit IgG antibody (green, bs-0295G-BF488), DAPI (blue, C02-04002) was used to stain the cell nuclei.
Paraformaldehyde-fixed, paraffin embedded Mouse Cerebrum; Antigen retrieval by boiling in sodium citrate buffer (pH6.0) for 15 min; The section was incubated with Osteocalcin Polyclonal Antibody, Unconjugated (bs-4917R) at 1:200 overnight at 4°C. Followed by conjugated Goat Anti-Rabbit IgG antibody (green, bs-0295G-BF488), DAPI (blue, C02-04002) was used to stain the cell nuclei.
Paraformaldehyde-fixed, paraffin embedded Rat Cerebrum; Antigen retrieval by boiling in sodium citrate buffer (pH6.0) for 15 min; The section was incubated with Osteocalcin Polyclonal Antibody, Unconjugated (bs-4917R) at 1:200 overnight at 4°C. Followed by conjugated Goat Anti-Rabbit IgG antibody (green, bs-0295G-BF488), DAPI (blue, C02-04002) was used to stain the cell nuclei.
Paraformaldehyde-fixed, paraffin embedded (human skeletal muscle); Antigen retrieval by boiling in sodium citrate buffer (pH6.0) for 15min; Blocking buffer (normal goat serum) at 37°C for 30min; Incubation with (Osteocalcin) Polyclonal Antibody, Unconjugated (bs-4917R) at 1:100 overnight at 4°C, followed by a conjugated Goat Anti-Rabbit IgG antibody (bs-0295G-AF488) for 90 minutes, and DAPI for nuclei stainin
版权所有 2004-2026 www.bioss.com.cn 北京博奥森生物技术有限公司
通过国际质量管理体系ISO 9001:2015 GB/T 19001-2016    证书编号: 00124Q34771R2M/1100
通过国际医疗器械-质量管理体系ISO 13485:2016 GB/T 42061-2022     证书编号: CQC24QY20047R0M/1100
京ICP备05066980号-1         京公网安备110107000727号