扫码关注公众号           扫码咨询技术支持           扫码咨询技术服务
  
客服热线:400-901-9800  客服QQ:4009019800  技术答疑  技术支持  质量反馈  人才招聘  关于我们  联系我们
产品中心-北京博奥森生物技术有限公司
首页 > 产品中心 > 一抗 > 产品信息
FAM84A Rabbit pAb (bs-11010R)  
订购热线:400-901-9800
订购邮箱:sales@bioss.com.cn
订购QQ:  400-901-9800
技术支持:techsupport@bioss.com.cn
50ul/1180.00元
100ul/1980.00元
200ul/2800.00元
大包装/询价

产品编号 bs-11010R
英文名称 FAM84A Rabbit pAb
中文名称 感觉神经蛋白1抗体
别    名 LRAT1_HUMAN; LRATD1; LRAT domain-containing 1; Neurologic sensory protein 1 (NSE1); Protein FAM84A; FAM84A; NSE1; LRAT1_MOUSE; B2RYB4_RAT;   
研究领域 肿瘤  细胞生物  免疫学  神经生物学  
抗体来源 Rabbit
克隆类型 Polyclonal
克 隆 号
交叉反应 Rat (predicted: Human,Mouse,Pig,Cow,Zebrafish,Chicken,Dog)
产品应用 IHC-P=1:100-500,IHC-F=1:100-500,IF=1:100-500
not yet tested in other applications.
optimal dilutions/concentrations should be determined by the end user.
理论分子量 32 kDa
性    状 Liquid
浓    度 1mg/ml
免 疫 原 KLH conjugated synthetic peptide derived from human NSE1/FAM84A: 151-250/292 
亚    型 IgG
纯化方法 affinity purified by Protein A
缓 冲 液 0.01M TBS (pH7.4) with 1% BSA, 0.02% Proclin300 and 50% Glycerol.
保存条件 Shipped at 4℃. Store at -20℃ for one year. Avoid repeated freeze/thaw cycles.
注意事项 This product as supplied is intended for research use only, not for use in human, therapeutic or diagnostic applications.
PubMed PubMed
产品介绍 FAM84A is a 292 amino acid protein that belongs to the FAM84 family of proteins. Predominantly expressed in testis, FAM84A shares 44% amino acid identity with the related protein FAM84B. FAM84A localizes to a subcellular membrane region where there is no contact between neighboring cells and is believed to play a role in cell morphology and motility. More specifically, the expression of FAM84A increases cell motility. Two FAM84A isoforms are expressed due to alternative splicing events. Isoform 2 can be phosphorylated on various serine residues and this phosphorylation is associated with cellular morphology. FAM84A is upregulated in colorectal cancer, lung cancer, pancreatic cancer, cholangiocarcinoma and bladder cancer tissues. Via its ability to increase cell motility, FAM84A may contribute to the invasion and metastasis of cancer cells.

Post-translational modifications:
Isoform 2 is phosphorylated.

Similarity:
Belongs to the FAM84 family.

SWISS:
Q96KN4

Gene ID:
151354

Database links:

Entrez Gene: 151354 Human

Entrez Gene: 105005 Mouse

Entrez Gene: 313969 Rat

Omim: 611234 Human

SwissProt: Q96KN4 Human

SwissProt: Q9D650 Mouse

SwissProt: B2RYB4 Rat

Unigene: 260855 Human



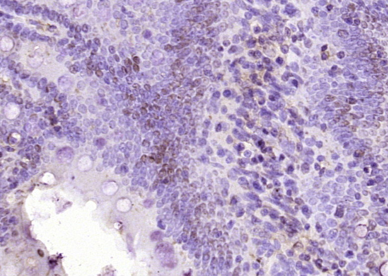
产品图片
Paraformaldehyde-fixed, paraffin embedded (rat rectum); Antigen retrieval by boiling in sodium citrate buffer (pH6.0) for 15min; Block endogenous peroxidase by 3% hydrogen peroxide for 20 minutes; Blocking buffer (normal goat serum) at 37°C for 30min; Antibody incubation with (FAM84A) Polyclonal Antibody, Unconjugated (bs-11010) at 1:200 overnight at 4°C, followed by operating according to SP Kit(Rabbit) (sp-0023) instructionsand DAB staining.
版权所有 2004-2026 www.bioss.com.cn 北京博奥森生物技术有限公司
通过国际质量管理体系ISO 9001:2015 GB/T 19001-2016    证书编号: 00124Q34771R2M/1100
通过国际医疗器械-质量管理体系ISO 13485:2016 GB/T 42061-2022     证书编号: CQC24QY20047R0M/1100
京ICP备05066980号-1         京公网安备110107000727号