扫码关注公众号           扫码咨询技术支持           扫码咨询技术服务
  
客服热线:400-901-9800  客服QQ:4009019800  技术答疑  技术支持  质量反馈  人才招聘  关于我们  联系我们
产品中心-北京博奥森生物技术有限公司
首页 > 产品中心 > 一抗 > 产品信息
GRAMD2 Rabbit pAb (bs-8578R)  
订购热线:400-901-9800
订购邮箱:sales@bioss.com.cn
订购QQ:  400-901-9800
技术支持:techsupport@bioss.com.cn
50ul/1180.00元
100ul/1980.00元
200ul/2800.00元
大包装/询价

产品编号 bs-8578R
英文名称 GRAMD2 Rabbit pAb
中文名称 GRAM结构域蛋白2抗体
别    名 GRAMD2; RGD1564007; GRM2A_HUMAN; GRAMD2A; GRM2A_MOUSE; GRAM domain-containing protein 2;   
研究领域 细胞生物  免疫学  神经生物学  
抗体来源 Rabbit
克隆类型 Polyclonal
克 隆 号
交叉反应 Rat (predicted: Human,Mouse,Sheep,Cow,Chicken,Dog,Horse)
产品应用 IHC-P=1:100-500,IHC-F=1:100-500,IF=1:100-500
not yet tested in other applications.
optimal dilutions/concentrations should be determined by the end user.
理论分子量 40 kDa
细胞定位 细胞膜 
性    状 Liquid
浓    度 1mg/ml
免 疫 原 KLH conjugated synthetic peptide derived from human GRAMD2: 151-250/354 
亚    型
纯化方法 affinity purified by Protein A
缓 冲 液 0.01M TBS (pH7.4) with 1% BSA, 0.02% Proclin300 and 50% Glycerol.
保存条件 Shipped at 4℃. Store at -20℃ for one year. Avoid repeated freeze/thaw cycles.
注意事项 This product as supplied is intended for research use only, not for use in human, therapeutic or diagnostic applications.
PubMed PubMed
产品介绍 GRAMD2 is a 354 amino acid single-pass membrane protein that contains one GRAM domain and is encoded by a gene that maps to human chromosome 15q23. Encoding more than 700 genes, chromosome 15 is made up of approximately 106 million base pairs and is about 3% of the human genome. Angelman and Prader-Willi syndromes are associated with loss of function or deletion of genes in the 15q11-q13 region. In the case of Angelman syndrome, this loss is due to inactivity of the maternal 15q11-q13 encoded UBE3A gene in the brain by either chromosomal deletion or mutation. In cases of Prader-Willi syndrome, there is a partial or complete deletion of this region from the paternal copy of chromosome 15. Tay-Sachs disease is a lethal disorder associated with mutations of the HEXA gene, which is encoded by chromosome 15. Marfan syndrome is associated with chromosome 15 through the FBN1 gene.

Subcellular Location:
Membrane; Single-pass membrane protein (Potential).

Similarity:
Contains 1 GRAM domain.

SWISS:
Q8IUY3

Gene ID:
196996

Database links:

Entrez Gene: 196996 Human

Entrez Gene: 546134 Mouse

Entrez Gene: 300761 Rat

SwissProt: Q8IUY3 Human

SwissProt: Q3V3G7 Mouse



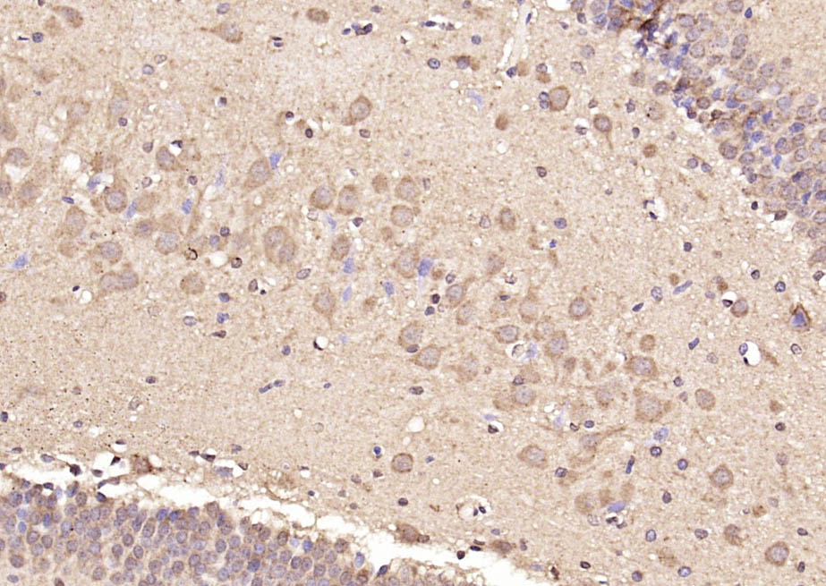
产品图片
Paraformaldehyde-fixed, paraffin embedded (rat brain); Antigen retrieval by boiling in sodium citrate buffer (pH6.0) for 15min; Block endogenous peroxidase by 3% hydrogen peroxide for 20 minutes; Blocking buffer (normal goat serum) at 37°C for 30min; Antibody incubation with (GRAMD2) Polyclonal Antibody, Unconjugated (bs-8578R) at 1:200 overnight at 4°C, followed by operating according to SP Kit(Rabbit) (sp-0023) instructionsand DAB staining.
版权所有 2004-2026 www.bioss.com.cn 北京博奥森生物技术有限公司
通过国际质量管理体系ISO 9001:2015 GB/T 19001-2016    证书编号: 00124Q34771R2M/1100
通过国际医疗器械-质量管理体系ISO 13485:2016 GB/T 42061-2022     证书编号: CQC24QY20047R0M/1100
京ICP备05066980号-1         京公网安备110107000727号