扫码关注公众号           扫码咨询技术支持           扫码咨询技术服务
  
客服热线:400-901-9800  客服QQ:4009019800  技术答疑  技术支持  质量反馈  人才招聘  关于我们  联系我们
产品中心-北京博奥森生物技术有限公司
首页 > 产品中心 > 一抗 > 产品信息
CGAS Rabbit pAb (bs-9537R)  
订购热线:400-901-9800
订购邮箱:sales@bioss.com.cn
订购QQ:  400-901-9800
技术支持:techsupport@bioss.com.cn
50ul/1180.00元
100ul/1980.00元
200ul/2800.00元
大包装/询价

产品编号 bs-9537R
英文名称 CGAS Rabbit pAb
中文名称 MB21D1 抗体
别    名 C6orf150; D4; MB21D1; h-cGAS; CGAS_HUMAN; CGAS; cGAMP synthase; 2'3'-cGAMP synthase; Mab-21 domain-containing protein 1; 2.7.7.86;   
Specific References  (1)     |     bs-9537R has been referenced in 1 publications.
[IF=9.038] Bing Han. et al. Pulmonary inflammatory and fibrogenic response induced by graphitized multi-walled carbon nanotube involved in cGAS-STING signaling pathway. J Hazard Mater. 2021 May;:125984  WB ;  Mouse.  
研究领域 肿瘤  细胞生物  免疫学  神经生物学  
抗体来源 Rabbit
克隆类型 Polyclonal
克 隆 号
交叉反应 Human (predicted: Mouse,Rat)
产品应用 IHC-P=1:100-500,IHC-F=1:400-800,IF=1:100-500,ELISA=1:5000-10000
not yet tested in other applications.
optimal dilutions/concentrations should be determined by the end user.
理论分子量 59 kDa
细胞定位 细胞浆 
性    状 Liquid
浓    度 1mg/ml
免 疫 原 KLH conjugated synthetic peptide derived from human C6orf150: 251-350/522 
亚    型 IgG
纯化方法 affinity purified by Protein A
缓 冲 液 0.01M TBS (pH7.4) with 1% BSA, 0.02% Proclin300 and 50% Glycerol.
保存条件 Shipped at 4℃. Store at -20℃ for one year. Avoid repeated freeze/thaw cycles.
注意事项 This product as supplied is intended for research use only, not for use in human, therapeutic or diagnostic applications.
PubMed PubMed
产品介绍 Making up nearly 6% of the human genome, chromosome 6 contains around 1,200 genes within 170 million base pairs of sequence. Deletion of a portion of the q arm of chromosome 6 is associated with early onset intestinal cancer suggesting the presence of a cancer susceptibility locus. Porphyria cutanea tarda is associated with chromosome 6 through the HFE gene which, when mutated, predisposes an individual to developing this porphyria. Notably, the PARK2 gene, which is associated with Parkinson's disease, and the genes encoding the major histocompatiblity complex proteins, which are key molecular components of the immune system and determine predisposition to rheumatic diseases, are also located on chromosome 6. Stickler syndrome, 21-hydroxylase deficiency and maple syrup urine disease are also associated with genes on chromosome 6. A bipolar disorder susceptibility locus has been identified on the q arm of chromosome 6. The C6orf150 gene product has been provisionally designated C6orf150 pending further characterization.

Function:
Nucleotidyltransferase that catalyzes formation of cyclic GMP-AMP (cGAMP) from ATP and GTP and exhibits antiviral activity. Has antiviral activity by acting as a key cytosolic DNA sensor, the presence of DNA in the cytoplasm being a danger signal that triggers the immune responses. Binds cytosolic DNA directly, leading to activation and synthesis of cGAMP, a second messenger that binds to and activates TMEM173/STING, thereby triggering type-I interferon production.

Subcellular Location:
Cytoplasm, cytosol.

Tissue Specificity:
Expressed in the monocytic cell line THP1.

Similarity:
Belongs to the mab-21 family.

SWISS:
Q8N884

Gene ID:
115004

Database links:

Entrez Gene: 115004 Human

Omim: 613973 Human

SwissProt: Q8N884 Human

Unigene: 658405 Human



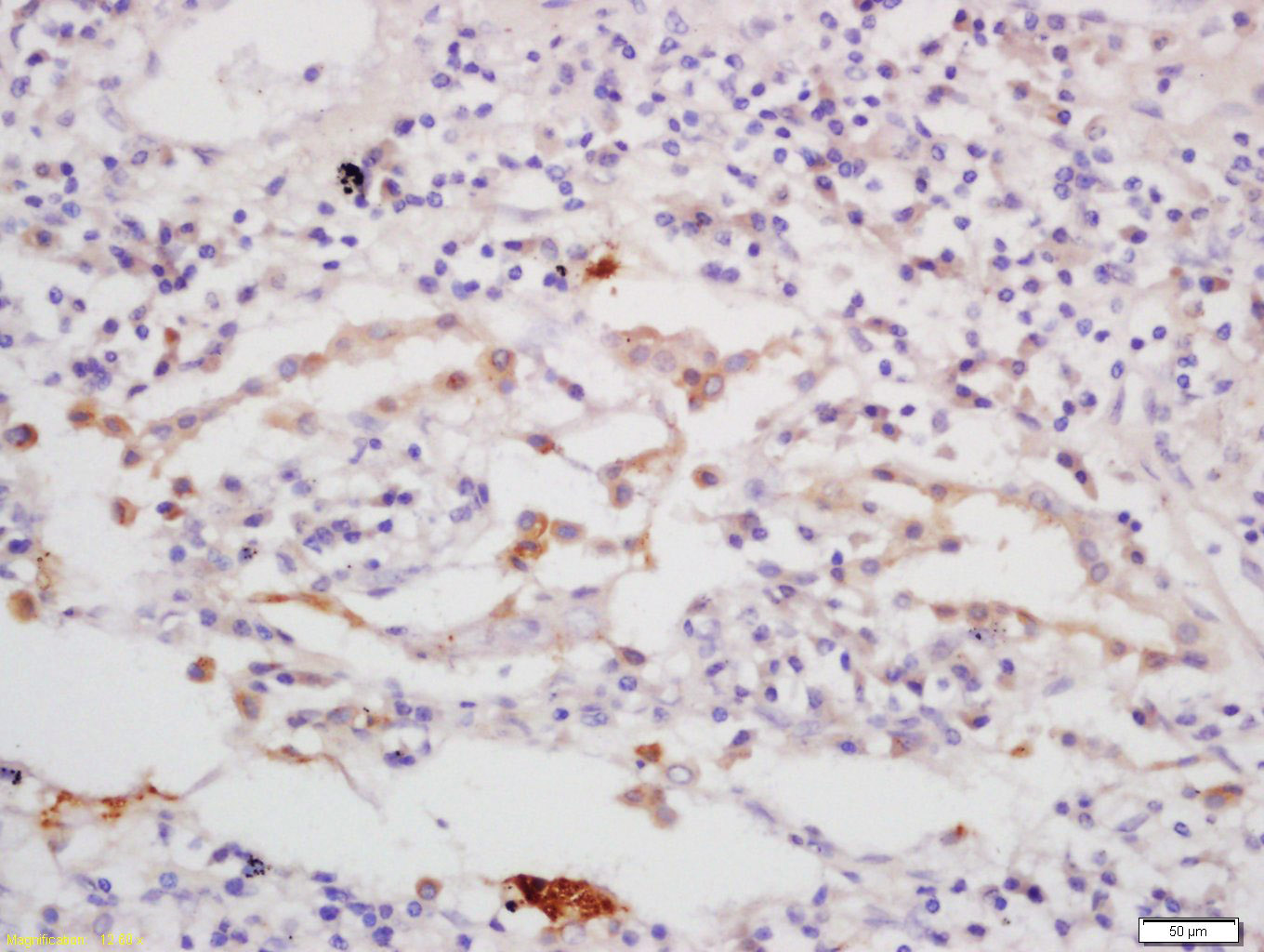
产品图片
Tissue/cell: human lung carcinoma; 4% Paraformaldehyde-fixed and paraffin-embedded; Antigen retrieval: citrate buffer ( 0.01M, pH 6.0 ), Boiling bathing for 15min; Block endogenous peroxidase by 3% Hydrogen peroxide for 30min; Blocking buffer (normal goat serum,C-0005) at 37℃ for 20 min; Incubation: Anti-C6orf150 Polyclonal Antibody, Unconjugated(bs-9537R) 1:200, overnight at 4°C, followed by conjugation to the secondary antibody(SP-0023) and DAB(C-0010) staining
版权所有 2004-2026 www.bioss.com.cn 北京博奥森生物技术有限公司
通过国际质量管理体系ISO 9001:2015 GB/T 19001-2016    证书编号: 00124Q34771R2M/1100
通过国际医疗器械-质量管理体系ISO 13485:2016 GB/T 42061-2022     证书编号: CQC24QY20047R0M/1100
京ICP备05066980号-1         京公网安备110107000727号