扫码关注公众号           扫码咨询技术支持           扫码咨询技术服务
  
客服热线:400-901-9800  客服QQ:4009019800  技术答疑  技术支持  质量反馈  人才招聘  关于我们  联系我们
产品中心-北京博奥森生物技术有限公司
首页 > 产品中心 > 一抗 > 产品信息
AKD1 Rabbit pAb (bs-9532R)  
订购热线:400-901-9800
订购邮箱:sales@bioss.com.cn
订购QQ:  400-901-9800
技术支持:techsupport@bioss.com.cn
50ul/1180.00元
100ul/1980.00元
200ul/2800.00元
大包装/询价

产品编号 bs-9532R
英文名称 AKD1 Rabbit pAb
中文名称 腺苷酸激酶结构域蛋白1抗体
别    名 AK 9; AKD1; AKD2; C6orf199; C6orf224; SPGF89; dJ70A9.1; KAD9_HUMAN; AK9; Adenylate kinase domain-containing protein 1; Adenylate kinase domain-containing protein 2; 2.7.4.4; 2.7.4.6; AKD1_HUMAN;   
研究领域 肿瘤  细胞生物  免疫学  神经生物学  
抗体来源 Rabbit
克隆类型 Polyclonal
克 隆 号
交叉反应 Mouse (predicted: Human,Rat,Rabbit,Cow,Dog,Horse)
产品应用 IHC-P=1:100-500,IHC-F=1:100-500,IF=1:100-500
not yet tested in other applications.
optimal dilutions/concentrations should be determined by the end user.
理论分子量 221 kDa
性    状 Liquid
浓    度 1mg/ml
免 疫 原 KLH conjugated synthetic peptide derived from human AKD1: 1331-1430/1911 
亚    型 IgG
纯化方法 affinity purified by Protein A
缓 冲 液 0.01M TBS (pH7.4) with 1% BSA, 0.02% Proclin300 and 50% Glycerol.
保存条件 Shipped at 4℃. Store at -20℃ for one year. Avoid repeated freeze/thaw cycles.
注意事项 This product as supplied is intended for research use only, not for use in human, therapeutic or diagnostic applications.
PubMed PubMed
产品介绍 AKD1 is a 1,911 amino acid coiled-coil protein belonging to the adenylate kinase family. AKD1 exists as six alternatively spliced isoforms and is encoded by a gene that maps to human chromosome 6q21. Chromosome 6 makes up nearly 6% of the human genome and contains 170 million base pairs, which encode 1,200 genes. Deletion of a portion of the q arm of chromosome 6 is associated with early onset intestinal cancer, suggesting the presence of a cancer susceptibility locus. A bipolar disorder susceptibility locus is also linked to the q arm of chromosome 6. The PARK2 gene, which is associated with Parkinson's disease, and the genes encoding the major histocompatiblity complex proteins are located on chromosome 6. Stickler syndrome, 21-hydroxylase deficiency and maple syrup urine disease are also associated with genes on chromosome 6.

Similarity:
Belongs to the adenylate kinase family.

SWISS:
Q6ZNF1

Gene ID:
221264

Database links:

Entrez Gene: 221264 Human

SwissProt: Q5TCS8 Human

SwissProt: Q6ZNF1 Human

Unigene: 205144 Human



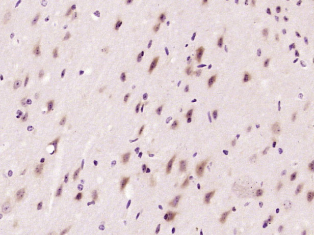
产品图片
Paraformaldehyde-fixed, paraffin embedded (mouse brain tissue); Antigen retrieval by boiling in sodium citrate buffer (pH6.0) for 15min; Block endogenous peroxidase by 3% hydrogen peroxide for 20 minutes; Blocking buffer (normal goat serum) at 37°C for 30min; Antibody incubation with (AKD1) Polyclonal Antibody, Unconjugated (bs-9532R) at 1:400 overnight at 4°C, followed by operating according to SP Kit(Rabbit) (sp-0023) instructionsand DAB staining.
版权所有 2004-2026 www.bioss.com.cn 北京博奥森生物技术有限公司
通过国际质量管理体系ISO 9001:2015 GB/T 19001-2016    证书编号: 00124Q34771R2M/1100
通过国际医疗器械-质量管理体系ISO 13485:2016 GB/T 42061-2022     证书编号: CQC24QY20047R0M/1100
京ICP备05066980号-1         京公网安备110107000727号