扫码关注公众号           扫码咨询技术支持           扫码咨询技术服务
  
客服热线:400-901-9800  客服QQ:4009019800  技术答疑  技术支持  质量反馈  关于我们  联系我们
产品中心-北京博奥森生物技术有限公司
首页 > 产品中心 > 一抗 > 产品信息
C5orf51 Rabbit pAb (bs-9484R)  
订购热线:400-901-9800
订购邮箱:sales@bioss.com.cn
订购QQ:  400-901-9800
技术支持:techsupport@bioss.com.cn
50ul/1180.00元
100ul/1980.00元
200ul/2800.00元
大包装/询价

产品编号 bs-9484R
英文名称 C5orf51 Rabbit pAb
中文名称 5号染色体开放阅读框51抗体
别    名 C5orf51; RIMC1_HUMAN; RIMOC1; UPF0600 protein C5orf51;   
研究领域 肿瘤  细胞生物  免疫学  
抗体来源 Rabbit
克隆类型 Polyclonal
克 隆 号
交叉反应 Human,Rat (predicted: Mouse,Rabbit,Dog,Horse)
产品应用 WB=1:500-2000,IHC-P=1:100-500,IHC-F=1:100-500,IF=1:100-500
not yet tested in other applications.
optimal dilutions/concentrations should be determined by the end user.
理论分子量 34 kDa
性    状 Liquid
浓    度 1mg/ml
免 疫 原 KLH conjugated synthetic peptide derived from human C5orf51: 1-100/294 
亚    型 IgG
纯化方法 affinity purified by Protein A
缓 冲 液 0.01M TBS (pH7.4) with 1% BSA, 0.02% Proclin300 and 50% Glycerol.
保存条件 Shipped at 4℃. Store at -20℃ for one year. Avoid repeated freeze/thaw cycles.
注意事项 This product as supplied is intended for research use only, not for use in human, therapeutic or diagnostic applications.
PubMed PubMed
产品介绍 With 181 million base pairs encoding around 1,000 genes, chromosome 5 is about 6% of human genomic DNA. It is associated with Cockayne syndrome through the ERCC8 gene and familial adenomatous polyposis through the adenomatous polyposis coli (APC) tumor suppressor gene. Treacher Collins syndrome is also chromosome 5 associated and is caused by insertions or deletions within the TCOF1 gene. Deletion of the p arm of chromosome 5 leads to Cri du chat syndrome. Deletion of 5q or chromosome 5 altogether is common in therapy-related acute myelogenous leukemias and myelodysplastic syndrome. The LOC285636 gene product has been provisionally designated LOC285636 pending further characterization.

Similarity:
Belongs to the UPF0600 family.

SWISS:
A6NDU8

Gene ID:
285636

Database links:

Entrez Gene: 285636 Human

SwissProt: A6NDU8 Human



产品图片
Sample: Lovo Cell (Human) Lysate at 40 ug Primary: Anti-C5orf51 (bs-9484R) at 1/300 dilution Secondary: IRDye800CW Goat Anti-Rabbit IgG at 1/20000 dilution Predicted band size: 34 kD Observed band size: 34 kD
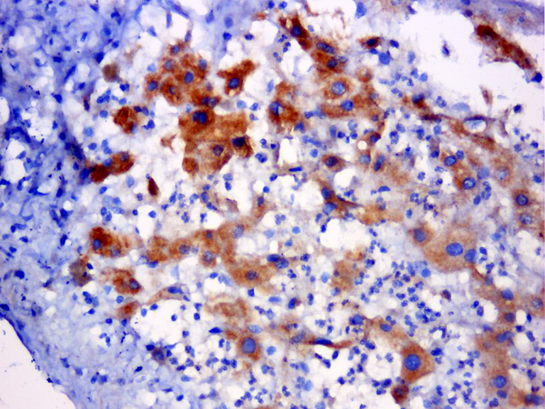
Paraformaldehyde-fixed, paraffin embedded (rat liver cancer); Antigen retrieval by boiling in sodium citrate buffer (pH6.0) for 15min; Block endogenous peroxidase by 3% hydrogen peroxide for 20 minutes; Blocking buffer (normal goat serum) at 37°C for 30min; Antibody incubation with (C5orf51) Polyclonal Antibody, Unconjugated (bs-9484R) at 1:500 overnight at 4°C, followed by a conjugated secondary (sp-0023) for 20 minutes and DAB staining.
版权所有 2004-2026 www.bioss.com.cn 北京博奥森生物技术有限公司
通过国际质量管理体系ISO 9001:2015 GB/T 19001-2016    证书编号: 00124Q34771R2M/1100
通过国际医疗器械-质量管理体系ISO 13485:2016 GB/T 42061-2022     证书编号: CQC24QY20047R0M/1100
京ICP备05066980号-1         京公网安备110107000727号