扫码关注公众号           扫码咨询技术支持           扫码咨询技术服务
  
客服热线:400-901-9800  客服QQ:4009019800  技术答疑  技术支持  质量反馈  人才招聘  关于我们  联系我们
产品中心-北京博奥森生物技术有限公司
首页 > 产品中心 > 一抗 > 产品信息
C22orf25 Rabbit pAb (bs-9984R)  
订购热线:400-901-9800
订购邮箱:sales@bioss.com.cn
订购QQ:  400-901-9800
技术支持:techsupport@bioss.com.cn
50ul/1180.00元
100ul/1980.00元
200ul/2800.00元
大包装/询价

产品编号 bs-9984R
英文名称 C22orf25 Rabbit pAb
中文名称 22号染色体开放阅读框25抗体
别    名 C22orf25; MECRCN; TNG2_HUMAN; TANGO2; transport and golgi organization 2 homolog; chromosome 22 open reading frame 25; transport and golgi organization 2 homolog (Drosophila)  
研究领域 肿瘤  细胞生物  免疫学  神经生物学  
抗体来源 Rabbit
克隆类型 Polyclonal
交叉反应 Human,Mouse,Rat (predicted: Pig,Cow,Zebrafish,Chicken,Dog,Horse)
产品应用 WB=1:500-2000,IHC-P=1:100-500,IHC-F=1:100-500,IF=1:100-500
not yet tested in other applications.
optimal dilutions/concentrations should be determined by the end user.
理论分子量 31kDa
检测分子量 35
性    状 Liquid
浓    度 1mg/ml
免 疫 原 KLH conjugated synthetic peptide derived from human C22orf25: 21-120/276 
亚    型 IgG
纯化方法 affinity purified by Protein A
缓 冲 液 0.01M TBS (pH7.4) with 1% BSA, 0.02% Proclin300 and 50% Glycerol.
保存条件 Shipped at 4℃. Store at -20℃ for one year. Avoid repeated freeze/thaw cycles.
注意事项 This product as supplied is intended for research use only, not for use in human, therapeutic or diagnostic applications.
PubMed PubMed
产品介绍 Chromosome 22 contains over 500 genes and about 49 million bases. Being the second smallest human chromosome, 22 contains a surprising variety of interesting genes. Phelan-McDermid syndrome, Neurofibromatosis type 2 and autism are associated with chromosome 22. A schizophrenia susceptibility locus has been identified on chromosome 22 and studies show that 22q11 deletion symptoms include a high incidence of schizophrenia. Translocations between chromosomes 9 and 22 may lead to the formation of the Philadelphia Chromosome and the subsequent production of the novel fusion protein, BCR-Abl, a potent cell proliferation activator found in several types of leukemia. The C22orf25 gene product has been provisionally designated C22orf25 pending further characterization.

SWISS:
Q6ICL3

Gene ID:
128989

Database links:

Entrez Gene: 128989 Human

SwissProt: Q6ICL3 Human



产品图片
Sample:Placenta (Mouse) Lysate at 40 ug Primary: Anti- C22orf25 (bs-9984R)at 1/300 dilution Secondary: IRDye800CW Goat Anti-Rabbit IgG at 1/20000 dilution Predicted band size: 31kD Observed band size: 35kD
Sample:Lovo Cell (Human) Lysate at 30 ug Primary: Anti- C22orf25 (bs-9984R)at 1/300 dilution Secondary: IRDye800CW Goat Anti-Rabbit IgG at 1/20000 dilution Predicted band size: 31kD Observed band size: 35kD
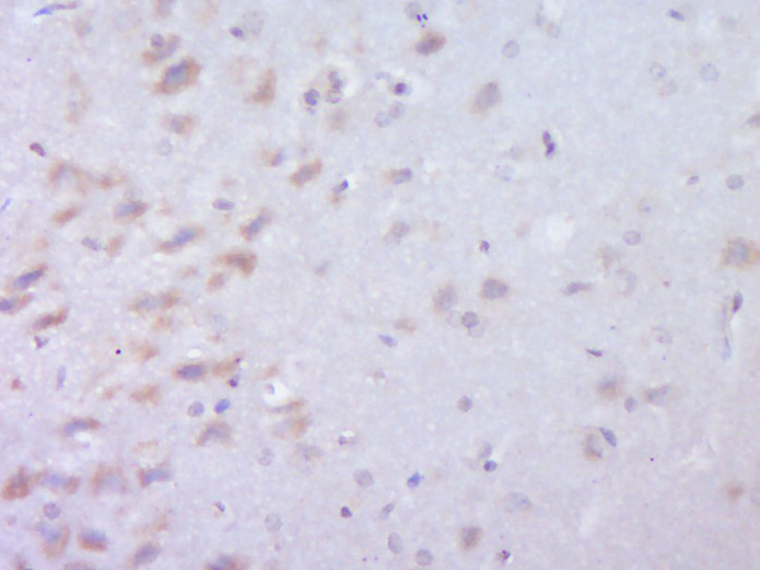
Paraformaldehyde-fixed, paraffin embedded (Rat brain); Antigen retrieval by boiling in sodium citrate buffer (pH6.0) for 15min; Block endogenous peroxidase by 3% hydrogen peroxide for 20 minutes; Blocking buffer (normal goat serum) at 37°C for 30min; Antibody incubation with (C22orf25) Polyclonal Antibody, Unconjugated (bs-9984R) at 1:400 overnight at 4°C, followed by operating according to SP Kit(Rabbit) (sp-0023) instructions and DAB staining.
版权所有 2004-2026 www.bioss.com.cn 北京博奥森生物技术有限公司
通过国际质量管理体系ISO 9001:2015 GB/T 19001-2016    证书编号: 00124Q34771R2M/1100
通过国际医疗器械-质量管理体系ISO 13485:2016 GB/T 42061-2022     证书编号: CQC24QY20047R0M/1100
京ICP备05066980号-1         京公网安备110107000727号