扫码关注公众号           扫码咨询技术支持           扫码咨询技术服务
  
客服热线:400-901-9800  客服QQ:4009019800  技术答疑  技术支持  质量反馈  关于我们  联系我们
产品中心-北京博奥森生物技术有限公司
首页 > 产品中心 > 一抗 > 产品信息
CREG2 Rabbit pAb (bs-9957R)  
订购热线:400-901-9800
订购邮箱:sales@bioss.com.cn
订购QQ:  400-901-9800
技术支持:techsupport@bioss.com.cn
50ul/1180.00元
100ul/1980.00元
200ul/2800.00元
大包装/询价

产品编号 bs-9957R
英文名称 CREG2 Rabbit pAb
中文名称 E1A激活基因刺激蛋白2抗体
别    名 CREG2_HUMAN; CREG2; Cellular repressor of E1A-stimulated genes 2;   
研究领域 细胞生物  免疫学  
抗体来源 Rabbit
克隆类型 Polyclonal
克 隆 号
交叉反应 Mouse,Rat (predicted: Human)
产品应用 IHC-P=1:100-500,IHC-F=1:100-500,IF=1:100-500
not yet tested in other applications.
optimal dilutions/concentrations should be determined by the end user.
理论分子量 29 kDa
细胞定位 细胞外基质 分泌型蛋白 
性    状 Liquid
浓    度 1mg/ml
免 疫 原 KLH conjugated synthetic peptide derived from human CREG2: 21-120/290 
亚    型 IgG
纯化方法 affinity purified by Protein A
缓 冲 液 0.01M TBS (pH7.4) with 1% BSA, 0.02% Proclin300 and 50% Glycerol.
保存条件 Shipped at 4℃. Store at -20℃ for one year. Avoid repeated freeze/thaw cycles.
注意事项 This product as supplied is intended for research use only, not for use in human, therapeutic or diagnostic applications.
PubMed PubMed
产品介绍 The adenovirus E1A protein both activates and represses gene expression to promote cellular proliferation and inhibit differentiation. CREG (cellular repressor of E1A-stimulated genes) is a cellular protein that antagonizes transcriptional activation and cellular transformation by E1A. CREG was initially isolated in a yeast two-hybrid screen due to its interaction with the TATA-binding protein, TBP. A member of the CREG family, CREG2 (cellular repressor of E1A-stimulated genes 2) is a novel protein that shares 35% homology with CREG and is expressed at highest levels in brain. CREG2 is a secreted protein containing 290 amino acids whose N-terminus is thought to function as a signal sequence. The gene encoding CREG2 maps to human chromosome 2, which consists of 237 million bases, encodes over 1,400 genes and makes up approximately 8% of the human genome. A number of genetic diseases are linked to genes on chromosome 2 including Harlequin icthyosis, sitosterolemia and Alstr鰉 syndrome.

Subunit:
Secreted.

Tissue Specificity:
Brain specific mainly in the limbic system and faintly in the spinal cord but not in cerebellum.

Post-translational modifications:
It is not sure whether N-glycosylation is on Asn-165 and/or Asn-166.

Similarity:
Belongs to the CREG family.

SWISS:
Q8IUH2

Gene ID:
200407

Database links:
UniProtKB/Swiss-Prot: Q8IUH2.1

产品图片
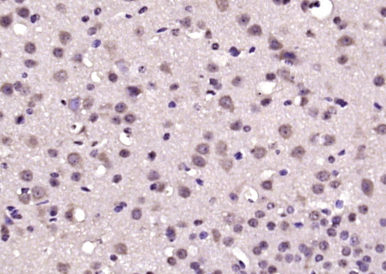
Paraformaldehyde-fixed, paraffin embedded (rat brain); Antigen retrieval by boiling in sodium citrate buffer (pH6.0) for 15min; Block endogenous peroxidase by 3% hydrogen peroxide for 20 minutes; Blocking buffer (normal goat serum) at 37°C for 30min; Antibody incubation with (CREG2) Polyclonal Antibody, Unconjugated (bs-9957R) at 1:200 overnight at 4°C, followed by operating according to SP Kit(Rabbit) (sp-0023) instructionsand DAB staining.
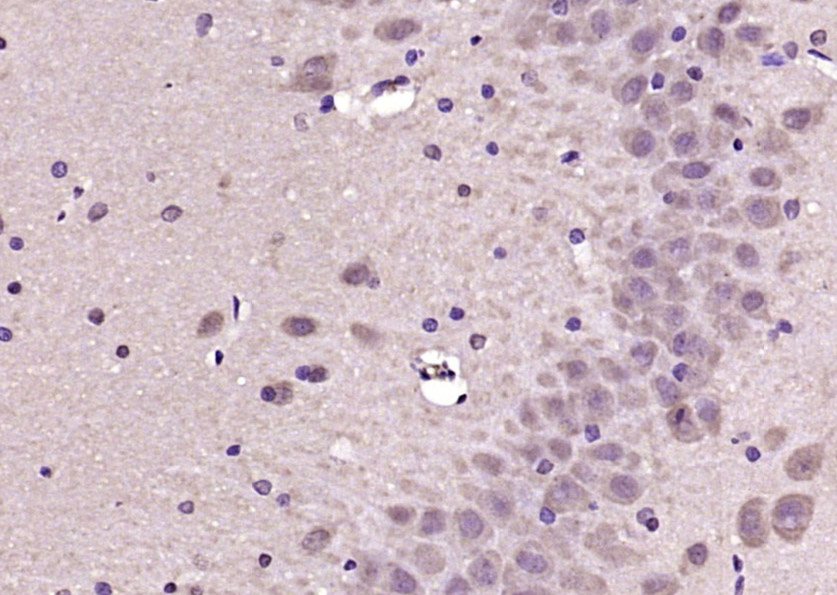
Paraformaldehyde-fixed, paraffin embedded (mouse brain); Antigen retrieval by boiling in sodium citrate buffer (pH6.0) for 15min; Block endogenous peroxidase by 3% hydrogen peroxide for 20 minutes; Blocking buffer (normal goat serum) at 37°C for 30min; Antibody incubation with (CREG2) Polyclonal Antibody, Unconjugated (bs-9957R) at 1:200 overnight at 4°C, followed by operating according to SP Kit(Rabbit) (sp-0023) instructionsand DAB staining.
版权所有 2004-2026 www.bioss.com.cn 北京博奥森生物技术有限公司
通过国际质量管理体系ISO 9001:2015 GB/T 19001-2016    证书编号: 00124Q34771R2M/1100
通过国际医疗器械-质量管理体系ISO 13485:2016 GB/T 42061-2022     证书编号: CQC24QY20047R0M/1100
京ICP备05066980号-1         京公网安备110107000727号