扫码关注公众号           扫码咨询技术支持           扫码咨询技术服务
  
客服热线:400-901-9800  客服QQ:4009019800  技术答疑  技术支持  质量反馈  人才招聘  关于我们  联系我们
产品中心-北京博奥森生物技术有限公司
首页 > 产品中心 > 一抗 > 产品信息
PDZD9 Rabbit pAb (bs-9632R)  
订购热线:400-901-9800
订购邮箱:sales@bioss.com.cn
订购QQ:  400-901-9800
技术支持:techsupport@bioss.com.cn
50ul/1180.00元
100ul/1980.00元
200ul/2800.00元
大包装/询价

产品编号 bs-9632R
英文名称 PDZD9 Rabbit pAb
中文名称 PDZ结构域PDZK9蛋白抗体
别    名 C16orf65; PDZD9_HUMAN; PDZD9; PDZ domain containing 9; chromosome 16 open reading frame 65  
研究领域 肿瘤  细胞生物  免疫学  神经生物学  
抗体来源 Rabbit
克隆类型 Polyclonal
交叉反应 Mouse (predicted: Human,Rat,Rabbit,Pig,Dog,Horse)
产品应用 WB=1:500-2000,IHC-P=1:100-500,IHC-F=1:100-500,IF=1:100-500
not yet tested in other applications.
optimal dilutions/concentrations should be determined by the end user.
理论分子量 30kDa
检测分子量 30
细胞定位 细胞核 细胞浆 
性    状 Liquid
浓    度 1mg/ml
免 疫 原 KLH conjugated synthetic peptide derived from human PDZD9: 51-150/264 
亚    型 IgG
纯化方法 affinity purified by Protein A
缓 冲 液 0.01M TBS (pH7.4) with 1% BSA, 0.02% Proclin300 and 50% Glycerol.
保存条件 Shipped at 4℃. Store at -20℃ for one year. Avoid repeated freeze/thaw cycles.
注意事项 This product as supplied is intended for research use only, not for use in human, therapeutic or diagnostic applications.
PubMed PubMed
产品介绍 PDZD9 (PDZ domain containing 9) is a 264 amino acid protein that contains one PDZ (DHR) domain and participates in protein binding. Conserved in chimpanzee, dog, cow, mouse and rat, PDZD9 exists as two alternatively spliced isoforms and is encoded by a gene that maps to human chromosome 16p12.1. Chromosome 16 encodes over 900 genes, approximately 90 million base pairs, makes up nearly 3% of human cellular DNA and is associated with a variety of genetic disorders. Giant axonal neuropathy, a nervous system disorder characterized by increasing malfunction with growth, and the rare disorder Rubinstein-Taybi syndrome, characterized by mental retardation and predisposition to tumor growth and white blood cell neoplasias, are associated with chromosome 16. Crohn's disease, a gastrointestinal inflammatory condition, and systemic lupus erythematosis are also associated with chromosome 16.

Similarity:
Contains 1 PDZ (DHR) domain.

SWISS:
Q8IXQ8

Gene ID:
255762

Database links:

Entrez Gene: 255762 Human

SwissProt: Q8IXQ8 Human

Unigene: 98244 Human



产品图片
Sample: Cerebellum (Mouse) Lysate at 40 ug Primary: Anti-PDZD9 (bs-9632R) at 1/300 dilution Secondary: IRDye800CW Goat Anti-Rabbit IgG at 1/20000 dilution Predicted band size: 30kD Observed band size: 30kD
Sample: Brain (Mouse) Lysate at 40 ug Primary: Anti-PDZD9 (bs-9632R) at 1/300 dilution Secondary: IRDye800CW Goat Anti-Rabbit IgG at 1/20000 dilution Predicted band size: 30kD Observed band size: 30kD
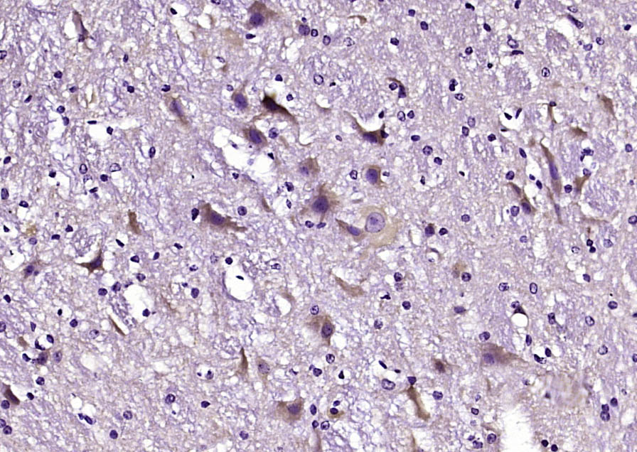
Paraformaldehyde-fixed, paraffin embedded (mouse cerebellum tissue); Antigen retrieval by boiling in sodium citrate buffer (pH6.0) for 15min; Block endogenous peroxidase by 3% hydrogen peroxide for 20 minutes; Blocking buffer (normal goat serum) at 37°C for 30min; Antibody incubation with (PDZD9) Polyclonal Antibody, Unconjugated (bs-9632R) at 1:200 overnight at 4°C, followed by operating according to SP Kit(Rabbit) (sp-0023) instructionsand DAB staining.
版权所有 2004-2026 www.bioss.com.cn 北京博奥森生物技术有限公司
通过国际质量管理体系ISO 9001:2015 GB/T 19001-2016    证书编号: 00124Q34771R2M/1100
通过国际医疗器械-质量管理体系ISO 13485:2016 GB/T 42061-2022     证书编号: CQC24QY20047R0M/1100
京ICP备05066980号-1         京公网安备110107000727号