扫码关注公众号           扫码咨询技术支持           扫码咨询技术服务
  
客服热线:400-901-9800  客服QQ:4009019800  技术答疑  技术支持  质量反馈  人才招聘  关于我们  联系我们
产品中心-北京博奥森生物技术有限公司
首页 > 产品中心 > 一抗 > 产品信息
C14orf174 Rabbit pAb (bs-9617R)  
订购热线:400-901-9800
订购邮箱:sales@bioss.com.cn
订购QQ:  400-901-9800
技术支持:techsupport@bioss.com.cn
50ul/1180.00元
100ul/1980.00元
200ul/2800.00元
大包装/询价

产品编号 bs-9617R
英文名称 C14orf174 Rabbit pAb
中文名称 14号染色体开放阅读框174
别    名 C14orf174; FAM15A; SAM15_HUMAN; SAMD15; SAM domain-containing protein 15;   
研究领域 肿瘤  细胞生物  免疫学  神经生物学  
抗体来源 Rabbit
克隆类型 Polyclonal
克 隆 号
交叉反应 Rat (predicted: Human,Mouse,Rabbit,Sheep,Cow,Dog)
产品应用 IHC-P=1:100-500,IHC-F=1:100-500,IF=1:100-500
not yet tested in other applications.
optimal dilutions/concentrations should be determined by the end user.
理论分子量 77 kDa
细胞定位 细胞核 细胞浆 
性    状 Liquid
浓    度 1mg/ml
免 疫 原 KLH conjugated synthetic peptide derived from human SAMD15/C14orf174: 571-674/674 
亚    型 IgG
纯化方法 affinity purified by Protein A
缓 冲 液 0.01M TBS (pH7.4) with 1% BSA, 0.02% Proclin300 and 50% Glycerol.
保存条件 Shipped at 4℃. Store at -20℃ for one year. Avoid repeated freeze/thaw cycles.
注意事项 This product as supplied is intended for research use only, not for use in human, therapeutic or diagnostic applications.
PubMed PubMed
产品介绍 C14orf174, is a 674 amino acid protein that contains one SAM (sterile alpha motif) domain. Existing as two alternatively spliced isoforms,C14orf174 is encoded by a gene that maps to human chromosome 14q24.3. Chromosome 14 contains about 700 genes and 106 million base pairs and makes up about 3.5% of human cellular DNA. Chromosome 14 encodes the presinilin 1 (PSEN1) gene, which is one of the three key genes associated with the development of Alzheimer's disease. The SERPINA1 gene is located on chromosome 14 and when defective leads to the genetic disorder ?-antitrypsin deficiency. This disorder is characterized by severe lung complications and liver dysfunction. Notably, the immunoglobulin heavy chain locus is found on chromosome 14 and has been identified as a fusion with the chromosome 19 encoded protein Bcl-3 in the (14;19) translocations found in a variety of B cell malignancies.

Similarity:
Contains 1 SAM (sterile alpha motif) domain.

SWISS:
Q9P1V8

Gene ID:
161394

Database links:

Entrez Gene: 161394 Human

SwissProt: Q9P1V8 Human

Unigene: 421961 Human



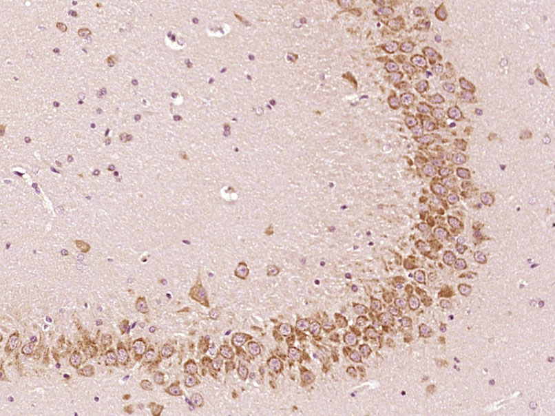
产品图片
Paraformaldehyde-fixed, paraffin embedded (Rat brain); Antigen retrieval by boiling in sodium citrate buffer (pH6.0) for 15min; Block endogenous peroxidase by 3% hydrogen peroxide for 20 minutes; Blocking buffer (normal goat serum) at 37°C for 30min; Antibody incubation with (C14orf174) Polyclonal Antibody, Unconjugated (bs-9617R) at 1:400 overnight at 4°C, followed by operating according to SP Kit(Rabbit) (sp-0023) instructionsand DAB staining.
版权所有 2004-2026 www.bioss.com.cn 北京博奥森生物技术有限公司
通过国际质量管理体系ISO 9001:2015 GB/T 19001-2016    证书编号: 00124Q34771R2M/1100
通过国际医疗器械-质量管理体系ISO 13485:2016 GB/T 42061-2022     证书编号: CQC24QY20047R0M/1100
京ICP备05066980号-1         京公网安备110107000727号