扫码关注公众号           扫码咨询技术支持           扫码咨询技术服务
  
客服热线:400-901-9800  客服QQ:4009019800  技术答疑  技术支持  质量反馈  人才招聘  关于我们  联系我们
产品中心-北京博奥森生物技术有限公司
首页 > 产品中心 > 一抗 > 产品信息
SLC2A4RG Rabbit pAb (bs-9457R)  
订购热线:400-901-9800
订购邮箱:sales@bioss.com.cn
订购QQ:  400-901-9800
技术支持:techsupport@bioss.com.cn
50ul/1180.00元
100ul/1980.00元
200ul/2800.00元
大包装/询价

产品编号 bs-9457R
英文名称 SLC2A4RG Rabbit pAb
中文名称 葡萄糖转运蛋白4增强因子抗体
别    名 GEF; HDBP-1; HDBP1; Si-1-2; Si-1-2-19; S2A4R_HUMAN; SLC2A4RG; GLUT4 enhancer factor (GEF); Huntington disease gene regulatory region-binding protein 1 (HDBP-1);   
研究领域 细胞生物  信号转导  转录调节因子  表观遗传学  
抗体来源 Rabbit
克隆类型 Polyclonal
克 隆 号
交叉反应 Human,Mouse (predicted: Sheep,Cow)
产品应用 WB=1:500-2000,IHC-P=1:100-500,IHC-F=1:100-500,IF=1:50-200
not yet tested in other applications.
optimal dilutions/concentrations should be determined by the end user.
理论分子量 41 kDa
检测分子量 41
细胞定位 细胞核 细胞浆 
性    状 Liquid
浓    度 1mg/ml
免 疫 原 KLH conjugated synthetic peptide derived from human SLC2A4RG: 301-387/387 
亚    型 IgG
纯化方法 affinity purified by Protein A
缓 冲 液 0.01M TBS (pH7.4) with 1% BSA, 0.02% Proclin300 and 50% Glycerol.
保存条件 Shipped at 4℃. Store at -20℃ for one year. Avoid repeated freeze/thaw cycles.
注意事项 This product as supplied is intended for research use only, not for use in human, therapeutic or diagnostic applications.
PubMed PubMed
产品介绍 The protein encoded by this gene is a nuclear transcription factor involved in the activation of the solute carrier family 2 member 4 gene. The encoded protein interacts with another transcription factor, myocyte enhancer factor 2, to activate transcription of this gene. [provided by RefSeq, Jul 2008].

Function:
Transcription factor involved in SLC2A4 and HD gene transactivation. Binds to the consensus sequence 5'-GCCGGCG-3'.

Subunit:
Interacts with MEF2A.

Subcellular Location:
Cytoplasm. Nucleus. Note=Shuttles between the cytoplasm and the nucleus.

Tissue Specificity:
According to PubMed:14630949, expressed in heart, skeletal muscle, liver, kidney and pancreas; undetectable in lung, placenta or brain. According to PubMed:14625278, ubiquitously expressed, with lowest expression in brain and ileum.

Similarity:
Contains 1 C2H2-type zinc finger.

SWISS:
Q9NR83

Gene ID:
56731

Database links:

Entrez Gene: 56731 Human

Omim: 609493 Human

SwissProt: Q9NR83 Human

Unigene: 435126 Human



产品图片
Sample: Lane 1: Mouse Heart tissue lysates Lane 2: Mouse Muscle tissue lysates Primary: Anti-SLC2A4RG (bs-9457R) at 1/1000 dilution Secondary: IRDye800CW Goat Anti-Rabbit IgG at 1/20000 dilution Predicted band size: 41 kDa Observed band size: 41 kDa
Sample: Liver (Mouse) Lysate at 40 ug Primary: Anti- SLC2A4RG (bs-9457R) at 1/1000 dilution Secondary: IRDye800CW Goat Anti-Rabbit IgG at 1/20000 dilution Predicted band size: 41 kD Observed band size: 41 kD
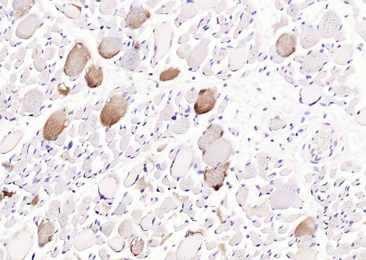
Paraformaldehyde-fixed, paraffin embedded (human kidney); Antigen retrieval by boiling in sodium citrate buffer (pH6.0) for 15min; Block endogenous peroxidase by 3% hydrogen peroxide for 20 minutes; Blocking buffer (normal goat serum) at 37°C for 30min; Antibody incubation with (SLC2A4RG) Polyclonal Antibody, Unconjugated (bs-9457R) at 1:200 overnight at 4°C, followed by operating according to SP Kit(Rabbit) (sp-0023) instructionsand DAB staining.
Paraformaldehyde-fixed, paraffin embedded (human skeletal muscle); Antigen retrieval by boiling in sodium citrate buffer (pH6.0) for 15min; Block endogenous peroxidase by 3% hydrogen peroxide for 20 minutes; Blocking buffer (normal goat serum) at 37°C for 30min; Antibody incubation with (SLC2A4RG) Polyclonal Antibody, Unconjugated (bs-9457R) at 1:200 overnight at 4°C, followed by operating according to SP Kit(Rabbit) (sp-0023) instructionsand DAB staining.
版权所有 2004-2026 www.bioss.com.cn 北京博奥森生物技术有限公司
通过国际质量管理体系ISO 9001:2015 GB/T 19001-2016    证书编号: 00124Q34771R2M/1100
通过国际医疗器械-质量管理体系ISO 13485:2016 GB/T 42061-2022     证书编号: CQC24QY20047R0M/1100
京ICP备05066980号-1         京公网安备110107000727号