扫码关注公众号           扫码咨询技术支持           扫码咨询技术服务
  
客服热线:400-901-9800  客服QQ:4009019800  技术答疑  技术支持  质量反馈  人才招聘  关于我们  联系我们
产品中心-北京博奥森生物技术有限公司
首页 > 产品中心 > 一抗 > 产品信息
BBS5 Rabbit pAb (bs-9438R)  
订购热线:400-901-9800
订购邮箱:sales@bioss.com.cn
订购QQ:  400-901-9800
技术支持:techsupport@bioss.com.cn
50ul/1180.00元
100ul/1980.00元
200ul/2800.00元
大包装/询价

产品编号 bs-9438R
英文名称 BBS5 Rabbit pAb
中文名称 巴德-毕德氏综合征蛋白BBS5抗体
别    名 1700049I01Rik; 2700023J09Rik; BBS5_HUMAN; BBS5; Bardet-Biedl syndrome 5 protein;   
研究领域 肿瘤  细胞生物  神经生物学  
抗体来源 Rabbit
克隆类型 Polyclonal
克 隆 号
交叉反应 Mouse (predicted: Human,Rat,Pig,Cow,Dog,Horse)
产品应用 IHC-P=1:100-500,IHC-F=1:100-500,IF=1:100-500
not yet tested in other applications.
optimal dilutions/concentrations should be determined by the end user.
理论分子量 38 kDa
细胞定位 细胞浆 细胞膜 
性    状 Liquid
浓    度 1mg/ml
免 疫 原 KLH conjugated synthetic peptide derived from human BBS5: 241-341/341 
亚    型 IgG
纯化方法 affinity purified by Protein A
缓 冲 液 0.01M TBS (pH7.4) with 1% BSA, 0.02% Proclin300 and 50% Glycerol.
保存条件 Shipped at 4℃. Store at -20℃ for one year. Avoid repeated freeze/thaw cycles.
注意事项 This product as supplied is intended for research use only, not for use in human, therapeutic or diagnostic applications.
PubMed PubMed
产品介绍 Bardet-Biedl syndrome (BBS) is a pleiotropic genetic disorder characterized by obesity, photoreceptor degeneration, polydactyly, hypogenitalism, renal abnormalities, and developmental delay. Other associated clinical findings in BBS patients include diabetes, hypertension and congenital heart defects. BBS is a heterogeneous disorder; BBS genes map to eight genetic loci and encode eight proteins, BBS1-BBS8. Five BBS genes encode basal body or cilia proteins, suggesting that BBS is a ciliary dysfunction disorder. BBS5 localizes to ciliary basal bodies and is a member of the basal body/flagellar proteome. It plays a role in flagellar and basal body assembly and function. A mutation or loss of BBS5 may be correlated with photoreceptor degeneration

Function:
The BBSome complex is required for ciliogenesis but is dispensable for centriolar satellite function. This ciliogenic function is mediated in part by the Rab8 GDP/GTP exchange factor, which localizes to the basal body and contacts the BBSome. Rab8(GTP) enters the primary cilium and promotes extension of the ciliary membrane. Firstly the BBSome associates with the ciliary membrane and binds to RAB3IP/Rabin8, the guanosyl exchange factor (GEF) for Rab8 and then the Rab8-GTP localizes to the cilium and promotes docking and fusion of carrier vesicles to the base of the ciliary membrane.

Subunit:
Part of BBSome complex, that contains BBS1, BBS2, BBS4, BBS5, BBS7, BBS8, BBS9 and BBIP10. The BBSome complex binds to PCM1 and tubulin. Binds to phosphoinositides.

Subcellular Location:
Cell projection, cilium membrane. Cytoplasm. Cytoplasm, cytoskeleton, cilium basal body.

DISEASE:
Defects in BBS5 are a cause of Bardet-Biedl syndrome type 5 (BBS5) [MIM:209900]. Bardet-Biedl syndrome (BBS) is a genetically heterogeneous disorder characterized by usually severe pigmentary retinopathy, early onset obesity, polydactyly, hypogenitalism, renal malformation and mental retardation. Secondary features include diabetes mellitus, hypertension and congenital heart disease. A relatively high incidence of BBS is found in the mixed Arab populations of Kuwait and in Bedouin tribes throughout the Middle East, most likely due to the high rate of consaguinity in these populations and a founder effect.

Similarity:
Belongs to the BBS5 family.

SWISS:
Q8N3I7

Gene ID:
129880

Database links:

Entrez Gene: 129880 Human

Entrez Gene: 72569 Mouse

Entrez Gene: 362142 Rat

GenBank: GC02P170044 Human

Omim: 209900 Human

SwissProt: Q8N3I7 Human

SwissProt: Q8N3I7 Mouse



BBS蛋白是一类研究早期儿童肥胖综合症有关的其中一种。巴尔得-别德尔综合征(Bardet-Biedl syndrome,BBS)的特征为不同程度的肥胖、智力延迟、色素视网膜病变、多指和肾脏异常。
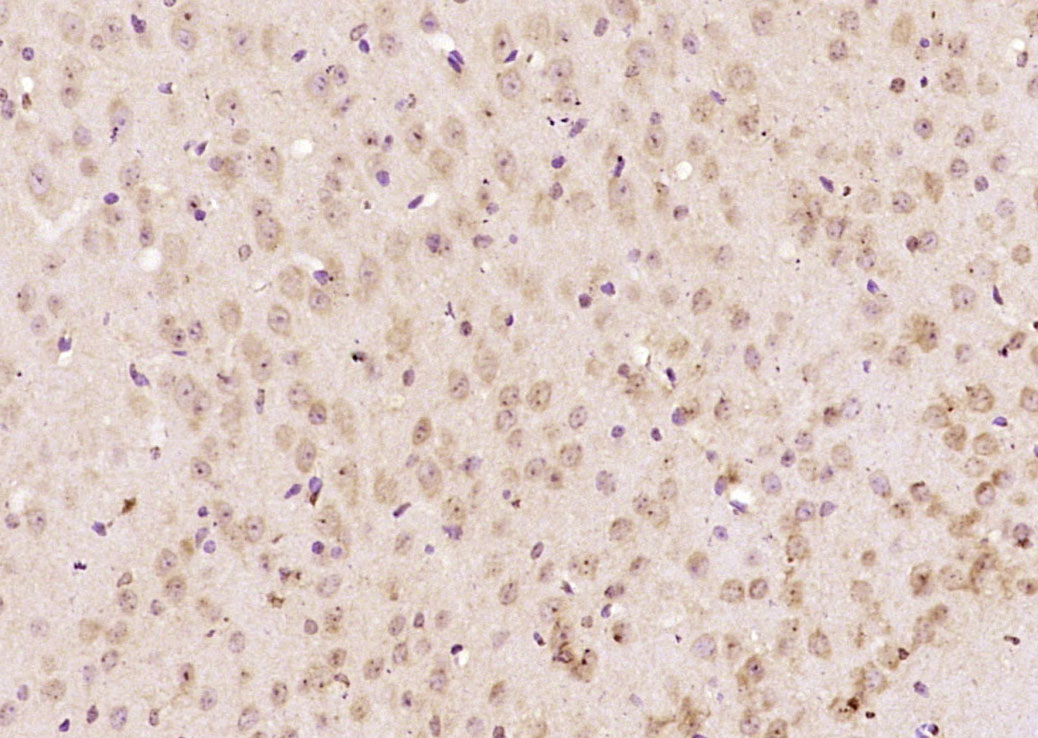
产品图片
Paraformaldehyde-fixed, paraffin embedded (mouse brain); Antigen retrieval by boiling in sodium citrate buffer (pH6.0) for 15min; Block endogenous peroxidase by 3% hydrogen peroxide for 20 minutes; Blocking buffer (normal goat serum) at 37°C for 30min; Antibody incubation with (BBS5) Polyclonal Antibody, Unconjugated (bs-9438R) at 1:400 overnight at 4°C, followed by operating according to SP Kit(Rabbit) (sp-0023) instructionsand DAB staining.
版权所有 2004-2026 www.bioss.com.cn 北京博奥森生物技术有限公司
通过国际质量管理体系ISO 9001:2015 GB/T 19001-2016    证书编号: 00124Q34771R2M/1100
通过国际医疗器械-质量管理体系ISO 13485:2016 GB/T 42061-2022     证书编号: CQC24QY20047R0M/1100
京ICP备05066980号-1         京公网安备110107000727号