扫码关注公众号           扫码咨询技术支持           扫码咨询技术服务
  
客服热线:400-901-9800  客服QQ:4009019800  技术答疑  技术支持  质量反馈  关于我们  联系我们
产品中心-北京博奥森生物技术有限公司
首页 > 产品中心 > 一抗 > 产品信息
TYMS Rabbit pAb (bs-8537R)  
订购热线:400-901-9800
订购邮箱:sales@bioss.com.cn
订购QQ:  400-901-9800
技术支持:techsupport@bioss.com.cn
50ul/1180.00元
100ul/1980.00元
200ul/2800.00元
大包装/询价

产品编号 bs-8537R
英文名称 TYMS Rabbit pAb
中文名称 胸苷酸合成酶抗体
别    名 Thymidylate synthase; EC 2.1.1.45; HsT422; MGC88736; TS; TSase; OK/SW-cl.29; TYSY_HUMAN.  
研究领域 肿瘤  细胞生物  免疫学  表观遗传学  
抗体来源 Rabbit
克隆类型 Polyclonal
克 隆 号
交叉反应 Human,Mouse (predicted: Rat,Rabbit,Pig,Sheep,Cow)
产品应用 WB=1:500-2000,IHC-P=1:100-500,IHC-F=1:100-500,IF=1:100-500
not yet tested in other applications.
optimal dilutions/concentrations should be determined by the end user.
理论分子量 36 kDa
检测分子量
细胞定位 细胞核 细胞浆 细胞膜 
性    状 Liquid
浓    度 1mg/ml
免 疫 原 KLH conjugated synthetic peptide derived from human TYMS: 65-160/313 
亚    型 IgG
纯化方法 affinity purified by Protein A
缓 冲 液 0.01M TBS (pH7.4) with 1% BSA, 0.02% Proclin300 and 50% Glycerol.
保存条件 Shipped at 4℃. Store at -20℃ for one year. Avoid repeated freeze/thaw cycles.
注意事项 This product as supplied is intended for research use only, not for use in human, therapeutic or diagnostic applications.
PubMed PubMed
产品介绍 Thymidylate synthase catalyzes the methylation of deoxyuridylate to deoxythymidylate using, 10-methylenetetrahydrofolate (methylene-THF) as a cofactor. This function maintains the dTMP (thymidine-5-prime monophosphate) pool critical for DNA replication and repair. The enzyme has been of interest as a target for cancer chemotherapeutic agents. It is considered to be the primary site of action for 5-fluorouracil, 5-fluoro-2-prime-deoxyuridine, and some folate analogs. Expression of this gene and that of a naturally occurring antisense transcript, mitochondrial enolase superfamily member 1 (GeneID:55556), vary inversely when cell-growth progresses from late-log to plateau phase. Polymorphisms in this gene may be associated with etiology of neoplasia, including breast cancer, and response to chemotherapy. [provided by RefSeq, Aug 2017]

Function:
Contributes to the de novo mitochondrial thymidylate biosynthesis pathway.

Subunit:
Homodimer.

Subcellular Location:
Nucleus. Cytoplasm. Mitochondrion. Mitochondrion matrix. Mitochondrion inner membrane.

Similarity:
Belongs to the thymidylate synthase family.

SWISS:
P04818

Gene ID:
7298

Database links:

Entrez Gene: 7298 Human

Entrez Gene: 22171 Mouse

Entrez Gene: 29261 Rat

SwissProt: P04818 Human

SwissProt: P07607 Mouse

SwissProt: P45352 Rat



胸苷酸合成酶(thymidylate synthase,TS)是生物体内催化胸苷酸合成所必需的酶,多年来一直作为肿瘤化疗的重要靶酶。对TS基因调控机制的研究表明:基因扩增、转录、翻译和翻译后过程都参与了TS表达的调控。TS可与自身的mRNA结合形成TS-mRNA复合物,使mRNA翻译受阻,5-氟尿嘧啶(5-fluorouracil,5-FU)等抗代谢药物可与TS蛋白结合,结合后的复合物不能与TS mRNA作用,导致体内TS的表达升高,是肿瘤细胞产生抗药性的重要分子机制之一。
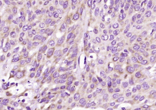
产品图片
Sample: Bone (Mouse) Lysate at 40 ug Primary: Anti- Thymidylate synthase (bs-8537R) at 1/1000 dilution Secondary: IRDye800CW Goat Anti-Rabbit IgG at 1/20000 dilution Predicted band size: 36 kD Observed band size: 38 kD
Paraformaldehyde-fixed, paraffin embedded (human colon carcinoma); Antigen retrieval by boiling in sodium citrate buffer (pH6.0) for 15min; Block endogenous peroxidase by 3% hydrogen peroxide for 20 minutes; Blocking buffer (normal goat serum) at 37°C for 30min; Antibody incubation with (Thymidylate synthase) Polyclonal Antibody, Unconjugated (bs-8537R) at 1:200 overnight at 4°C, followed by operating according to SP Kit(Rabbit) (sp-0023) instructionsand DAB staining.
版权所有 2004-2026 www.bioss.com.cn 北京博奥森生物技术有限公司
通过国际质量管理体系ISO 9001:2015 GB/T 19001-2016    证书编号: 00124Q34771R2M/1100
通过国际医疗器械-质量管理体系ISO 13485:2016 GB/T 42061-2022     证书编号: CQC24QY20047R0M/1100
京ICP备05066980号-1         京公网安备110107000727号