扫码关注公众号           扫码咨询技术支持           扫码咨询技术服务
  
客服热线:400-901-9800  客服QQ:4009019800  技术答疑  技术支持  质量反馈  关于我们  联系我们
产品中心-北京博奥森生物技术有限公司
首页 > 产品中心 > 一抗 > 产品信息
C2orf43 Rabbit pAb (bs-9816R)  
订购热线:400-901-9800
订购邮箱:sales@bioss.com.cn
订购QQ:  400-901-9800
技术支持:techsupport@bioss.com.cn
50ul/1180.00元
100ul/1980.00元
200ul/2800.00元
大包装/询价

产品编号 bs-9816R
英文名称 C2orf43 Rabbit pAb
中文名称 2号染色体开放阅抗体
别    名 C2orf43; hLDAH; LDAH_HUMAN; LDAH; Lipid droplet-associated serine hydrolase (hLDAH); 3.1.1.13;   脂滴相关水解酶;
研究领域 细胞生物  免疫学  
抗体来源 Rabbit
克隆类型 Polyclonal
克 隆 号
交叉反应 Mouse (predicted: Human,Rat)
产品应用 WB=1:500-2000,IHC-P=1:100-500,IHC-F=1:100-500,IF=1:100-500
not yet tested in other applications.
optimal dilutions/concentrations should be determined by the end user.
理论分子量 37 kDa
细胞定位 细胞浆 
性    状 Liquid
浓    度 1mg/ml
免 疫 原 KLH conjugated synthetic peptide derived from human C2orf43: 1-100/325 
亚    型 IgG
纯化方法 affinity purified by Protein A
缓 冲 液 0.01M TBS (pH7.4) with 1% BSA, 0.02% Proclin300 and 50% Glycerol.
保存条件 Shipped at 4℃. Store at -20℃ for one year. Avoid repeated freeze/thaw cycles.
注意事项 This product as supplied is intended for research use only, not for use in human, therapeutic or diagnostic applications.
PubMed PubMed
产品介绍 C2orf43 is a 325 amino acid protein that belongs to the UPF0554 family and is encoded by a gene that maps to human chromosome 2q11.2. As the second largest human chromosome, chromosome 2 makes up approximately 8% of the human genome and contains 237 million bases encoding over 1,400 genes. A number of genetic diseases are linked to genes on chromosome 2. Harlequin icthyosis, a rare skin deformity, is associated with mutations in the ABCA12 gene. The lipid metabolic disorder sitosterolemia is associated with ABCG5 and ABCG8. An extremely rare recessive genetic disorder, Alstr鰉 syndrome, is related to mutations in the ALMS1 gene. Chromosome 2 contains a probable vestigial second centromere as well as vestigial telomeres, which gives credence to the hypothesis that human chromosome 2 formed as a result of an ancient fusion of two ancestral chromosomes, which are still present in modern day apes.

Similarity:
Belongs to the UPF0554 family.

SWISS:
Q9H6V9

Gene ID:
60526

Database links:

Entrez Gene: 60526 Human

SwissProt: Q9H6V9 Human

Unigene: 187823 Human



产品图片
Sample: Raw264.7(Mouse) Cell Lysate at 30 ug Primary: Anti- C2orf43 (bs-9816R) at 1/1000 dilution Secondary: IRDye800CW Goat Anti-Rabbit IgG at 1/20000 dilution Predicted band size: 37 kD Observed band size: 35 kD
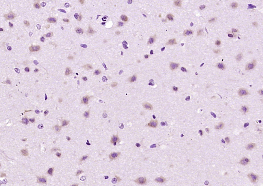
Paraformaldehyde-fixed, paraffin embedded (mouse brain); Antigen retrieval by boiling in sodium citrate buffer (pH6.0) for 15min; Block endogenous peroxidase by 3% hydrogen peroxide for 20 minutes; Blocking buffer (normal goat serum) at 37°C for 30min; Antibody incubation with (C2orf43) Polyclonal Antibody, Unconjugated (bs-9816R) at 1:200 overnight at 4°C, followed by operating according to SP Kit(Rabbit) (sp-0023) instructionsand DAB staining.
版权所有 2004-2026 www.bioss.com.cn 北京博奥森生物技术有限公司
通过国际质量管理体系ISO 9001:2015 GB/T 19001-2016    证书编号: 00124Q34771R2M/1100
通过国际医疗器械-质量管理体系ISO 13485:2016 GB/T 42061-2022     证书编号: CQC24QY20047R0M/1100
京ICP备05066980号-1         京公网安备110107000727号