扫码关注公众号           扫码咨询技术支持           扫码咨询技术服务
  
客服热线:400-901-9800  客服QQ:4009019800  技术答疑  技术支持  质量反馈  人才招聘  关于我们  联系我们
产品中心-北京博奥森生物技术有限公司
首页 > 产品中心 > 一抗 > 产品信息
INTS3 Rabbit pAb (bs-9766R)  
订购热线:400-901-9800
订购邮箱:sales@bioss.com.cn
订购QQ:  400-901-9800
技术支持:techsupport@bioss.com.cn
50ul/1180.00元
100ul/1980.00元
200ul/2800.00元
大包装/询价

产品编号 bs-9766R
英文名称 INTS3 Rabbit pAb
中文名称 集成复杂蛋白亚单位3抗体
别    名 C1orf193; C1orf60; INT3; SOSS-A; SOSSA; INT3_HUMAN; INTS3; SOSS complex subunit A; Sensor of single-strand DNA complex subunit A (SOSS-A | Sensor of ssDNA subunit A); INT3_MOUSE;   
研究领域 细胞生物  信号转导  表观遗传学  
抗体来源 Rabbit
克隆类型 Polyclonal
克 隆 号
交叉反应 Human (predicted: Rabbit,Pig,Cow,Dog,Horse)
产品应用 WB=1:500-2000,IHC-P=1:100-500,IHC-F=1:100-500,IF=1:100-500
not yet tested in other applications.
optimal dilutions/concentrations should be determined by the end user.
理论分子量 118 kDa
细胞定位 细胞核 
性    状 Liquid
浓    度 1mg/ml
免 疫 原 KLH conjugated synthetic peptide derived from human INTS3: 901-1043/1043 
亚    型 IgG
纯化方法 affinity purified by Protein A
缓 冲 液 0.01M TBS (pH7.4) with 1% BSA, 0.02% Proclin300 and 50% Glycerol.
保存条件 Shipped at 4℃. Store at -20℃ for one year. Avoid repeated freeze/thaw cycles.
注意事项 This product as supplied is intended for research use only, not for use in human, therapeutic or diagnostic applications.
PubMed PubMed
产品介绍 RNA polymerase II (Pol II) is an enzyme that is composed of twelve subunits and is responsible for the transcription of protein-coding genes. Transcription initiation requires Pol II-mediated recruitment of transcription machinery to a target promoter, thereby allowing transcription to begin. The integrator complex is a multi-protein complex that associates with the C-terminal domain of Pol II and is involved in small nuclear RNA (snRNA) transcription and 3’-end processing. INTS3 (integrator complex subunit 3), also known as INT3 or SOSS-A, is a 1,043 amino acid nuclear protein and is a subunit of the Integrator complex, which associates with the C-terminal domain of RNA polymerase II large subunit and mediates 3-prime end processing of small nuclear RNAs U1 and U2. Expressed in the nucleus, INTS3 exists as four alternatively spliced isoforms and is encoded by a gene located on human chromosome 1q21.3.

Subunit:
Belongs to the multiprotein complex Integrator, at least composed of INTS1, INTS2, INTS3, INTS4, INTS5, INTS6, INTS7, INTS8, INTS9/RC74, INTS10, CPSF3L/INTS11 and INTS12. Component of the SOSS complex, composed of SOSS-B (SOSS-B1/OBFC2B or SOSS-B2/OBFC2A), SOSS-A/INTS3 and SOSS-C/C9orf80. SOSS complexes containing SOSS-B1/OBFC2B are more abundant than complexes containing SOSS-B2/OBFC2A. Interacts with SOSS-B1/OBFC2B, SOSS-B2/OBFC2A and SOSS-C/C9orf80; the interaction is direct. Interacts with NBN/NBS1.

Subcellular Location:
Nucleus. Note=Localizes to nuclear foci following DNA damage.

Similarity:
Belongs to the Integrator subunit 3 family.

SWISS:
Q68E01

Gene ID:
65123

Database links:

Entrez Gene: 65123 Human

Entrez Gene: 229543 Mouse

Omim: 611347 Human

SwissProt: Q68E01 Human

SwissProt: Q7TPD0 Mouse



产品图片
Sample: Hela(Human) Cell Lysate at 30 ug A431(Human) Cell Lysate at 30 ug Primary: Anti- INTS3 (bs-9766R) at 1/1000 dilution Secondary: IRDye800CW Goat Anti-Rabbit IgG at 1/20000 dilution Predicted band size: 118 kD Observed band size: 118 kD
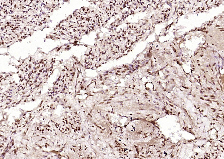
Paraformaldehyde-fixed, paraffin embedded (Human uterus); Antigen retrieval by boiling in sodium citrate buffer (pH6.0) for 15min; Block endogenous peroxidase by 3% hydrogen peroxide for 20 minutes; Blocking buffer (normal goat serum) at 37°C for 30min; Antibody incubation with (INTS3) Polyclonal Antibody, Unconjugated (bs-9766R) at 1:200 overnight at 4°C, followed by operating according to SP Kit(Rabbit) (sp-0023) instructionsand DAB staining.
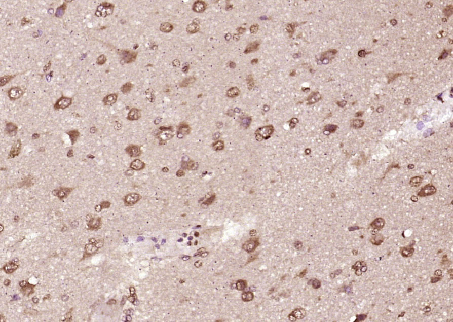
Paraformaldehyde-fixed, paraffin embedded (human brain); Antigen retrieval by boiling in sodium citrate buffer (pH6.0) for 15min; Block endogenous peroxidase by 3% hydrogen peroxide for 20 minutes; Blocking buffer (normal goat serum) at 37°C for 30min; Antibody incubation with (INTS3) Polyclonal Antibody, Unconjugated (bs-9766R) at 1:200 overnight at 4°C, followed by operating according to SP Kit(Rabbit) (sp-0023) instructionsand DAB staining.
版权所有 2004-2026 www.bioss.com.cn 北京博奥森生物技术有限公司
通过国际质量管理体系ISO 9001:2015 GB/T 19001-2016    证书编号: 00124Q34771R2M/1100
通过国际医疗器械-质量管理体系ISO 13485:2016 GB/T 42061-2022     证书编号: CQC24QY20047R0M/1100
京ICP备05066980号-1         京公网安备110107000727号