扫码关注公众号           扫码咨询技术支持           扫码咨询技术服务
  
客服热线:400-901-9800  客服QQ:4009019800  技术答疑  技术支持  质量反馈  关于我们  联系我们
产品中心-北京博奥森生物技术有限公司
首页 > 产品中心 > 一抗 > 产品信息
HSPBAP1 Rabbit pAb (bs-6986R)  
订购热线:400-901-9800
订购邮箱:sales@bioss.com.cn
订购QQ:  400-901-9800
技术支持:techsupport@bioss.com.cn
50ul/1180.00元
100ul/1980.00元
200ul/2800.00元
大包装/询价

产品编号 bs-6986R
英文名称 HSPBAP1 Rabbit pAb
中文名称 热休克蛋白27相关蛋白1抗体
别    名 27 KdA heat shock protein-associated protein 1; HBAP1_HUMAN; hspbap; HSPB1-associated protein 1; HSPBAP1; PASS1; Protein associated with small stress protein 1; protein associating with small stress protein.  
Specific References  (1)     |     bs-6986R has been referenced in 1 publications.
[IF=2.32] Xu, Shouyu, et al. "Transcriptional profiling of rat skeletal muscle hypertrophy under restriction of blood flow." Gene (2016).  IHC-P ;  Rat.  
研究领域 细胞生物  免疫学  信号转导  表观遗传学  
抗体来源 Rabbit
克隆类型 Polyclonal
克 隆 号
交叉反应 Human,Mouse,Rat (predicted: Pig,Sheep,Cow,Dog,Horse)
产品应用 WB=1:500-2000,IHC-P=1:100-500,IHC-F=1:100-500,IF=1:100-500
not yet tested in other applications.
optimal dilutions/concentrations should be determined by the end user.
理论分子量 54 kDa
检测分子量
细胞定位 细胞浆 
性    状 Liquid
浓    度 1mg/ml
免 疫 原 KLH conjugated synthetic peptide derived from human HSPBAP1: 151-250/488 
亚    型 IgG
纯化方法 affinity purified by Protein A
缓 冲 液 0.01M TBS (pH7.4) with 1% BSA, 0.02% Proclin300 and 50% Glycerol.
保存条件 Shipped at 4℃. Store at -20℃ for one year. Avoid repeated freeze/thaw cycles.
注意事项 This product as supplied is intended for research use only, not for use in human, therapeutic or diagnostic applications.
PubMed PubMed
产品介绍 Heat Shock Protein BAP1 (heat shock 27-kDa-associated protein 1, or HSPBAP1) inhibits the function of heat shock protein 27, which has a neuroprotective effect during experimentally induced epileptic neuropathology. The HSPBAP1 protein, also known as PASS1, contains a jmjC motif, suggesting it is a member of the jumonji family of transcription factors. There is evidence of domain swapping within the jumonji family genes, and the HSPBAP1 gene has been shown to fuse with a novel gene called DIRC3 in hereditary renal cell cancer.

Function:
May play a role in cellular stress response.

Subunit:
Interacts with CRYAB and HSPB1.

Subcellular Location:
Cytoplasm.

Tissue Specificity:
Widely expressed.

DISEASE:
Note=A chromosomal aberration involving HSPBAP1 has been found in a family with renal carcinoma. Translocation t(2;3)(q35;q21) with the putative pseudogene DIRC3. Produces an hybrid mRNA encoding a truncated HSPBAP1 lacking the first 36 amino acids.

Similarity:
Contains 1 JmjC domain.

SWISS:
Q96EW2

Gene ID:
79663

Database links:

Entrez Gene: 79663 Human

Omim: 608263 Human

SwissProt: Q96EW2 Human

Unigene: 29169 Human



产品图片
Sample: 293T Cell(human) Lysate at 40 ug Lymph node (mouse) Lysate at 40 ug HepG2 Cell(human) Lysate at 40 ug Testis (mouse) Lysate at 40 ug Primary: Anti- HSPBAP1(bs-6986R)at 1/300 dilution Secondary: IRDye800CW Goat Anti-Rabbit IgG at 1/20000 dilution Predicted band size: 55kD Observed band size: 55 kD
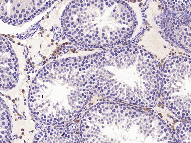
Paraformaldehyde-fixed, paraffin embedded (Rat testis); Antigen retrieval by microwave in sodium citrate buffer (pH6.0) ; Block endogenous peroxidase by 3% hydrogen peroxide for 30 minutes; Blocking buffer (3% BSA) at RT for 30min; Antibody incubation with (HSPBAP1) Polyclonal Antibody, Unconjugated (bs-6986R) at 1:400 overnight at 4℃, followed by conjugation to the secondary antibody (labeled with HRP)and DAB staining.
版权所有 2004-2026 www.bioss.com.cn 北京博奥森生物技术有限公司
通过国际质量管理体系ISO 9001:2015 GB/T 19001-2016    证书编号: 00124Q34771R2M/1100
通过国际医疗器械-质量管理体系ISO 13485:2016 GB/T 42061-2022     证书编号: CQC24QY20047R0M/1100
京ICP备05066980号-1         京公网安备110107000727号