扫码关注公众号           扫码咨询技术支持           扫码咨询技术服务
  
客服热线:400-901-9800  客服QQ:4009019800  技术答疑  技术支持  质量反馈  人才招聘  关于我们  联系我们
产品中心-北京博奥森生物技术有限公司
首页 > 产品中心 > 一抗 > 产品信息
FAM96B Rabbit pAb (bs-9729R)  
订购热线:400-901-9800
订购邮箱:sales@bioss.com.cn
订购QQ:  400-901-9800
技术支持:techsupport@bioss.com.cn
50ul/1180.00元
100ul/1980.00元
200ul/2800.00元
大包装/询价

产品编号 bs-9729R
英文名称 FAM96B Rabbit pAb
中文名称 FAM96B蛋白抗体
别    名 CGI-128; CIA2B; FAM96B; MIP18; 1110019N10Rik; RGD1311762; CIA2B_HUMAN; CIAO2B; MSS19-interacting protein of 18 kDa; Mitotic spindle-associated MMXD complex subunit MIP18; Protein FAM96B; CIAB; CIA2B_MOUSE;   
研究领域 肿瘤  细胞生物  免疫学  神经生物学  
抗体来源 Rabbit
克隆类型 Polyclonal
克 隆 号
交叉反应 Rat (predicted: Human,Mouse,Rabbit,Pig,Sheep,Cow,Dog,Horse)
产品应用 IHC-P=1:100-500,IHC-F=1:100-500,IF=1:100-500
not yet tested in other applications.
optimal dilutions/concentrations should be determined by the end user.
理论分子量 18 kDa
细胞定位 细胞核 细胞浆 
性    状 Liquid
浓    度 1mg/ml
免 疫 原 KLH conjugated synthetic peptide derived from human FAM96B: 51-150/165 
亚    型 IgG
纯化方法 affinity purified by Protein A
缓 冲 液 0.01M TBS (pH7.4) with 1% BSA, 0.02% Proclin300 and 50% Glycerol.
保存条件 Shipped at 4℃. Store at -20℃ for one year. Avoid repeated freeze/thaw cycles.
注意事项 This product as supplied is intended for research use only, not for use in human, therapeutic or diagnostic applications.
PubMed PubMed
产品介绍 Chromosome 16 encodes over 900 genes in approximately 90 million base pairs, makes up nearly 3% of human cellular DNA and is associated with a variety of genetic disorders. The GAN gene is located on chromosome 16 and, with mutation, may lead to giant axonal neuropathy, a nervous system disorder characterized by increasing malfunction with growth. The rare disorder Rubinstein-Taybi syndrome is also associated with chromosome 16, though through the CREBBP gene which encodes a critical CREB binding protein. Signs of Rubinstein-Taybi include mental retardation and predisposition to tumor growth and white blood cell neoplasias. Crohn's disease is a gastrointestinal inflammatory condition associated with chromosome 16 through the NOD2 gene. An association with systemic lupus erythematosis and a number of other autoimmune disorders with the pericentromeric region of chromosome 16 has led to the identification of SLC5A11 as a potential autoimmune modifier. The FAM96B gene product has been provisionally designated FAM96B pending further characterization.

Function:
Component of the cytosolic iron-sulfur protein assembly (CIA) complex, a multiprotein complex that mediates the incorporation of iron-sulfur cluster into extramitochondrial Fe/S proteins. As part of the mitotic spindle-associated MMXD complex it plays a role in chromosome segregation, probably by facilitating iron-sulfur cluster assembly into ERCC2/XPD.

Subunit:
Component of the CIA complex. Component of the MMXD complex, which includes CIAO1, ERCC2, FAM96B, MMS19 and SLC25A5. Interacts with ERCC2 and MMS19; the interaction is direct.

Subcellular Location:
Nucleus. Cytoplasm, cytoskeleton, spindle.

Similarity:
Belongs to the MIP18 family.

SWISS:
Q9Y3D0

Gene ID:
51647

Database links:

Entrez Gene: 51647 Human

Entrez Gene: 68523 Mouse

Entrez Gene: 680987 Rat

Omim: 614778 Human

SwissProt: Q9Y3D0 Human

SwissProt: Q9D187 Mouse

Unigene: 9825 Human

Unigene: 279 Mouse



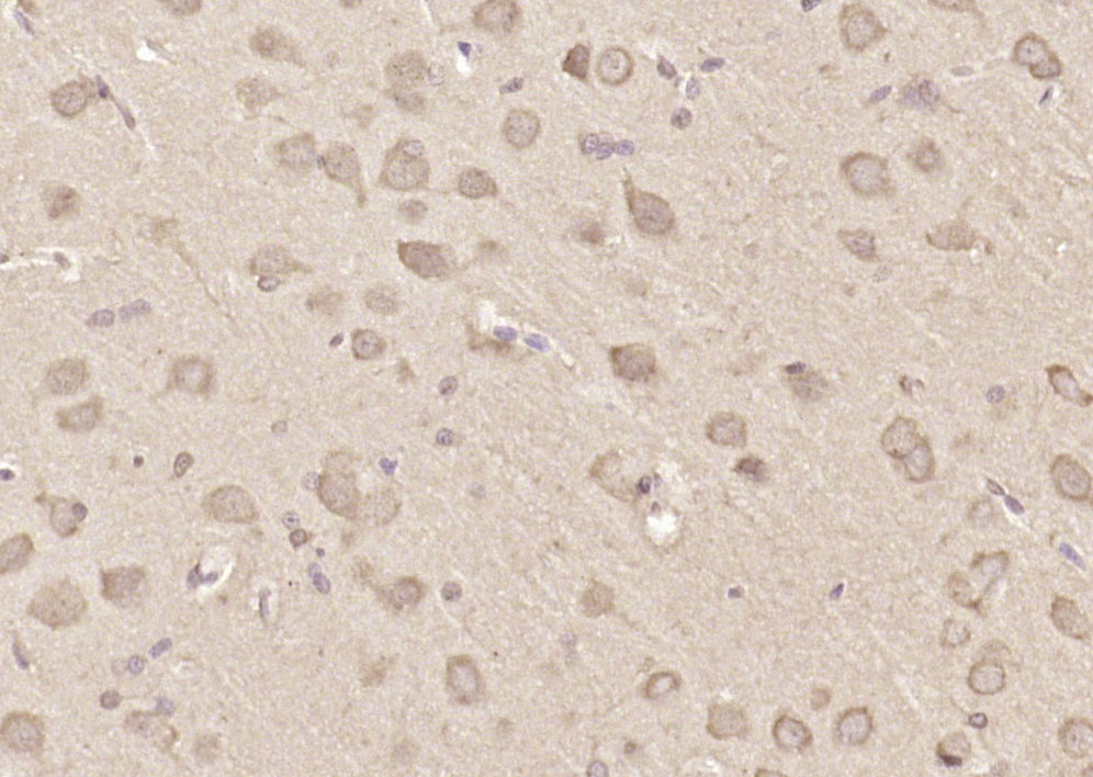
产品图片
Paraformaldehyde-fixed, paraffin embedded (rat brain); Antigen retrieval by boiling in sodium citrate buffer (pH6.0) for 15min; Block endogenous peroxidase by 3% hydrogen peroxide for 20 minutes; Blocking buffer (normal goat serum) at 37°C for 30min; Antibody incubation with (FAM96B) Polyclonal Antibody, Unconjugated (bs-9729R) at 1:200 overnight at 4°C, followed by operating according to SP Kit(Rabbit) (sp-0023) instructionsand DAB staining.
版权所有 2004-2026 www.bioss.com.cn 北京博奥森生物技术有限公司
通过国际质量管理体系ISO 9001:2015 GB/T 19001-2016    证书编号: 00124Q34771R2M/1100
通过国际医疗器械-质量管理体系ISO 13485:2016 GB/T 42061-2022     证书编号: CQC24QY20047R0M/1100
京ICP备05066980号-1         京公网安备110107000727号