扫码关注公众号           扫码咨询技术支持           扫码咨询技术服务
  
客服热线:400-901-9800  客服QQ:4009019800  技术答疑  技术支持  质量反馈  人才招聘  关于我们  联系我们
产品中心-北京博奥森生物技术有限公司
首页 > 产品中心 > 一抗 > 产品信息
FAM29A Rabbit pAb (bs-9723R)  
订购热线:400-901-9800
订购邮箱:sales@bioss.com.cn
订购QQ:  400-901-9800
技术支持:techsupport@bioss.com.cn
50ul/1180.00元
100ul/1980.00元
200ul/2800.00元
大包装/询价

产品编号 bs-9723R
英文名称 FAM29A Rabbit pAb
中文名称 FAM29蛋白抗体
别    名 Dgt6; FAM29A; HAUS6_HUMAN; HAUS6; KIAA1574;   
研究领域 细胞生物  免疫学  神经生物学  
抗体来源 Rabbit
克隆类型 Polyclonal
克 隆 号
交叉反应 Rat (predicted: Human,Mouse,Rabbit)
产品应用 IHC-P=1:100-500,IHC-F=1:100-500,IF=1:100-500
not yet tested in other applications.
optimal dilutions/concentrations should be determined by the end user.
理论分子量 109 kDa
细胞定位 细胞浆 
性    状 Liquid
浓    度 1mg/ml
免 疫 原 KLH conjugated synthetic peptide derived from human FAM29A/HAUS6: 301-400/955 
亚    型 IgG
纯化方法 affinity purified by Protein A
缓 冲 液 0.01M TBS (pH7.4) with 1% BSA, 0.02% Proclin300 and 50% Glycerol.
保存条件 Shipped at 4℃. Store at -20℃ for one year. Avoid repeated freeze/thaw cycles.
注意事项 This product as supplied is intended for research use only, not for use in human, therapeutic or diagnostic applications.
PubMed PubMed
产品介绍 The human augmin complex (HAUS) is an evolutionarily conserved 8-subunit protein complex that was initially discovered in Drosophila. The HAUS complex is essential for microtubule generation, centrosome integrity, mitotic spindle assembly and completion of cytokinesis. HAUS6 (HAUS augmin-like complex, subunit 6), also known as FAM29A or Dgt6, is a 955 amino acid component of the augmin complex. Required for mitotic progression, HAUS6 localizes to cytoplasm, cytoskeleton, mitotic spindle microtubules and interphase centrosomes, and undergoes post-translational phosphorylation following mitosis on multiple serine and threonine residues. HAUS6 exists as two alternatively spliced isoforms that are encoded by a gene located on human chromosome 9.

Function:
Contributes to mitotic spindle assembly, maintenance of centrosome integrity and completion of cytokinesis as part of the HAUS augmin-like complex. Promotes the nucleation of microtubules from the spindle through recruitment of NEDD1 and gamma-tubulin.

Subunit:
Component of the HAUS augmin-like complex. The complex interacts with the gamma-tubulin ring complex and this interaction is required for spindle assembly. Interacts with PLK1 and NEDD1.

Subcellular Location:
Cytoplasm, Cytoskeleton, Microtubule

Post-translational modifications:
Phosphorylated during mitosis.

Similarity:
Belongs to the HAUS6 family.

SWISS:
Q7Z4H7

Gene ID:
54801

Database links:

Entrez Gene: 54801 Human

Omim: 613433 Human

SwissProt: Q7Z4H7 Human

Unigene: 533468 Human



产品图片
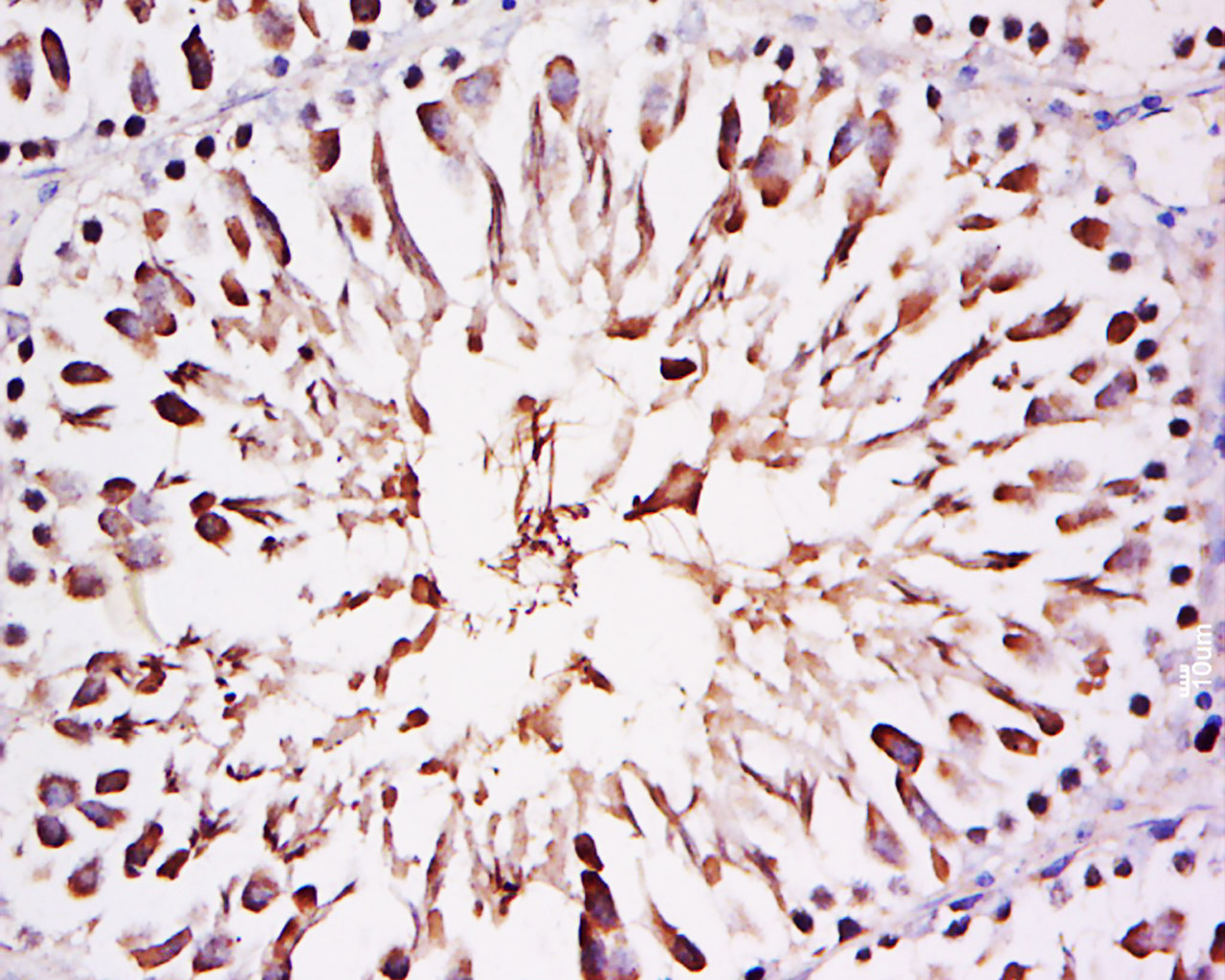
Tissue/cell: Rat testis tissue; 4% Paraformaldehyde-fixed and paraffin-embedded; Antigen retrieval: citrate buffer ( 0.01M, pH 6.0 ), Boiling bathing for 15min; Block endogenous peroxidase by 3% Hydrogen peroxide for 30min; Blocking buffer (normal goat serum,C-0005) at 37℃ for 20 min; Incubation: Anti-FAM29A Polyclonal Antibody, Unconjugated(bs-9723R) 1:500, overnight at 4°C, followed by conjugation to the secondary antibody(SP-0023) and DAB(C-0010) staining
版权所有 2004-2026 www.bioss.com.cn 北京博奥森生物技术有限公司
通过国际质量管理体系ISO 9001:2015 GB/T 19001-2016    证书编号: 00124Q34771R2M/1100
通过国际医疗器械-质量管理体系ISO 13485:2016 GB/T 42061-2022     证书编号: CQC24QY20047R0M/1100
京ICP备05066980号-1         京公网安备110107000727号