扫码关注公众号           扫码咨询技术支持           扫码咨询技术服务
  
客服热线:400-901-9800  客服QQ:4009019800  技术答疑  技术支持  质量反馈  关于我们  联系我们
产品中心-北京博奥森生物技术有限公司
首页 > 产品中心 > 一抗 > 产品信息
CNOT2 Rabbit pAb (bs-9383R)  
订购热线:400-901-9800
订购邮箱:sales@bioss.com.cn
订购QQ:  400-901-9800
技术支持:techsupport@bioss.com.cn
50ul/1180.00元
100ul/1980.00元
200ul/2800.00元
大包装/询价

产品编号 bs-9383R
英文名称 CNOT2 Rabbit pAb
中文名称 细胞表面趋化因子受体4相关蛋白2抗体
别    名 CCR4 associated factor 2; CCR4 NOT transcription complex subunit 2; CCR4-associated factor 2; CCR4-NOT transcription complex subunit 2; CDC36; CNOT2; CNOT2_HUMAN; HSPC131; MSTP046; Negative regulator of transcription 2; NOT2(negative regulator of transcription 2 yeast) homolog; NOT2; NOT2H.  
研究领域 细胞生物  表观遗传学  
抗体来源 Rabbit
克隆类型 Polyclonal
克 隆 号
交叉反应 Human,Mouse (predicted: Rat,Pig,Cow,Horse)
产品应用 WB=1:500-2000,IHC-P=1:100-500,IHC-F=1:100-500,IF=1:100-500
not yet tested in other applications.
optimal dilutions/concentrations should be determined by the end user.
理论分子量 59 kDa
检测分子量
细胞定位 细胞核 细胞浆 
性    状 Liquid
浓    度 1mg/ml
免 疫 原 KLH conjugated synthetic peptide derived from human CNOT2: 441-540/540 
亚    型 IgG
纯化方法 affinity purified by Protein A
缓 冲 液 0.01M TBS (pH7.4) with 1% BSA, 0.02% Proclin300 and 50% Glycerol.
保存条件 Shipped at 4℃. Store at -20℃ for one year. Avoid repeated freeze/thaw cycles.
注意事项 This product as supplied is intended for research use only, not for use in human, therapeutic or diagnostic applications.
PubMed PubMed
产品介绍 CNOT2 (CCR4-NOT transcription complex subunit 2) is a ubiquitous protein encoded by the human gene CNOT2. CNOT2 belongs to the CNOT2/3/5 family and is part of the CCR4-NOT complex. The CCR4-NOT complex is an evolutionarily conserved, multi-component complex known to be involved in transcription as well as mRNA degradation. Various subunits (e.g. CNOT1, CNOT2) are involved in influencing nuclear hormone receptor activities. The CCR4-NOT complex is also involved in the regulation of Histone H3 lysine 4 methylation through a ubiquitin-dependent pathway that likely involves the proteasome. Increased expression of the CNOT2 subunit acts to strongly repress transcription by RNA polymerase II. This repressive effect is mediated by a conserved NOT-Box, which is located at the C-terminus of CNOT2 proteins. Repression by the NOT-Box is sensitive to treatment with the histone deacetylase (HDAC) inhibitor trichostatin A.

Subcellular Location:
Cytoplasm. Nucleus.

Tissue Specificity:
Ubiquitous. Highly expressed in brain, heart, thymus, spleen, kidney, liver, small intestine, placenta, lung and peripheral blood leukocytes.

SWISS:
Q9NZN8

Gene ID:
4848

Database links:

Entrez Gene: 4848 Human

Entrez Gene: 72068 Mouse

Omim: 604909 Human

SwissProt: Q9NZN8 Human



产品图片
Sample: Lane 1: U87MG (Human) Cell Lysate at 30 ug Lane 2: Molt-4 (Human) Cell Lysate at 30 ug Primary: Anti-CNOT2 (bs-9383R) at 1/1000 dilution Secondary: IRDye800CW Goat Anti-Rabbit IgG at 1/20000 dilution Predicted band size: 62 kD Observed band size: 62 kD
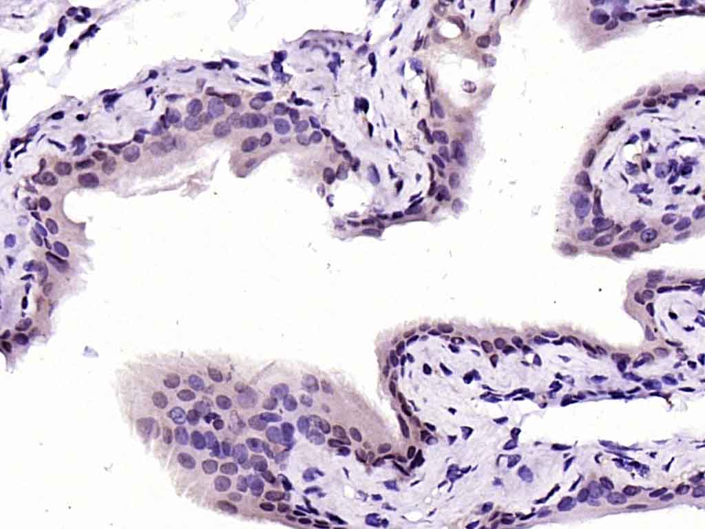
Paraformaldehyde-fixed, paraffin embedded (mouse bladder); Antigen retrieval by boiling in sodium citrate buffer (pH6.0) for 15min; Block endogenous peroxidase by 3% hydrogen peroxide for 20 minutes; Blocking buffer (normal goat serum) at 37°C for 30min; Antibody incubation with (CNOT2) Polyclonal Antibody, Unconjugated (bs-9383R) at 1:200 overnight at 4°C, followed by operating according to SP Kit(Rabbit) (sp-0023) instructionsand DAB staining.
版权所有 2004-2026 www.bioss.com.cn 北京博奥森生物技术有限公司
通过国际质量管理体系ISO 9001:2015 GB/T 19001-2016    证书编号: 00124Q34771R2M/1100
通过国际医疗器械-质量管理体系ISO 13485:2016 GB/T 42061-2022     证书编号: CQC24QY20047R0M/1100
京ICP备05066980号-1         京公网安备110107000727号