扫码关注公众号           扫码咨询技术支持           扫码咨询技术服务
  
客服热线:400-901-9800  客服QQ:4009019800  技术答疑  技术支持  质量反馈  人才招聘  关于我们  联系我们
产品中心-北京博奥森生物技术有限公司
首页 > 产品中心 > 一抗 > 产品信息
LRCH1 Rabbit pAb (bs-9327R)  
订购热线:400-901-9800
订购邮箱:sales@bioss.com.cn
订购QQ:  400-901-9800
技术支持:techsupport@bioss.com.cn
50ul/1180.00元
100ul/1980.00元
200ul/2800.00元
大包装/询价

产品编号 bs-9327R
英文名称 LRCH1 Rabbit pAb
中文名称 富含亮氨酸重复家庭蛋白1抗体
别    名 CHDC1; NP81; LRCH1_HUMAN; LRCH1; Calponin homology domain-containing protein 1; Neuronal protein 81 (NP81); KIAA1016; leucine rich repeats and calponin homology domain containing 1; calponin homology (CH) domain containing 1; leucine-rich repeats and calponin homology (CH) domain containing 1  
Specific References  (2)     |     bs-9327R has been referenced in 2 publications.
[IF=5.793] Wen-Kai Chenet al. Inhibition of leucine-rich repeats and calponin homology domain containing 1 accelerates microglia-mediated neuroinflammation in a rat traumatic spinal cord injury model. J Neuroinflammation . 2020 Jul 6;17(1):202.  WB ;  rat.  
[IF=5.7] Chen WK et al. Leucine rich repeats and calponin homology domain containing 1 inhibits microglia-mediated neuroinflammation in a rat traumatic spinal cord injury model. Journal of Neuroinflammation.2019.  WB ;  Rat.  
研究领域 细胞生物  神经生物学  
抗体来源 Rabbit
克隆类型 Polyclonal
交叉反应 Human,Mouse,Rat (predicted: Rabbit,Pig,Sheep,Cow,Chicken,Horse)
产品应用 WB=1:500-2000,IHC-P=1:100-500,IHC-F=1:100-500,IF=1:50-200
not yet tested in other applications.
optimal dilutions/concentrations should be determined by the end user.
理论分子量 81kDa
检测分子量 81
细胞定位 细胞浆 
性    状 Liquid
浓    度 1mg/ml
免 疫 原 KLH conjugated synthetic peptide derived from human LRCH1: 221-320/728 
亚    型 IgG
纯化方法 affinity purified by Protein A
缓 冲 液 0.01M TBS (pH7.4) with 1% BSA, 0.02% Proclin300 and 50% Glycerol.
保存条件 Shipped at 4℃. Store at -20℃ for one year. Avoid repeated freeze/thaw cycles.
注意事项 This product as supplied is intended for research use only, not for use in human, therapeutic or diagnostic applications.
PubMed PubMed
产品介绍 Members of the leucine-rich repeat family include LRCH1, LRCH2, LRCH3 and LRCH4. All family members contain one calponin-homology domain and nine leucine-rich repeats. The gene encoding LRCH1, also known as Neuronal protein 81 (NP81), has been suggested to be a possible gene locus for susceptibility to osetoarthritis, especially in women, though studies have shown conflicting results. LRCH1 is a 728 amino acid protein that is expressed at highest levels in cerebellum, with lower levels of expression in spinal cord, ovary, kidney and amygdala. In pigs, the gene encoding LRCH1 is one of 22 genes that is associated with leg and body conformation traits that affect productivity and health. There are two isoforms of LRCH1 that are expressed as a result of alternative splicing events.

Similarity:
Contains 1 CH (calponin-homology) domain.
Contains 9 LRR (leucine-rich) repeats.

SWISS:
Q9Y2L9

Gene ID:
23143

Database links:

Entrez Gene: 23143 Human

Omim: 610368 Human

SwissProt: Q9Y2L9 Human

Unigene: 507971 Human



产品图片
Sample: Spleen (Mouse) Lysate at 40 ug Primary: Anti-LRCH1 (bs-9327R) at 1/300 dilution Secondary: IRDye800CW Goat Anti-Rabbit IgG at 1/20000 dilution Predicted band size: 81 kD Observed band size: 81 kD
Sample: U251 Cell (Human) Lysate at 30 ug Primary: Anti- LRCH1 (Bs- 9327R) at 1/300 dilution Secondary: IRDye800CW Goat Anti-Rabbit IgG at 1/20000 dilution Predicted band size: 81 kD Observed band size: 81 kD
Sample: Cerebellum (Mouse) Lysate at 40 ug Primary: Anti- LRCH1 (Bs- 9327R) at 1/300 dilution Secondary: IRDye800CW Goat Anti-Rabbit IgG at 1/20000 dilution Predicted band size: 81 kD Observed band size: 81 kD
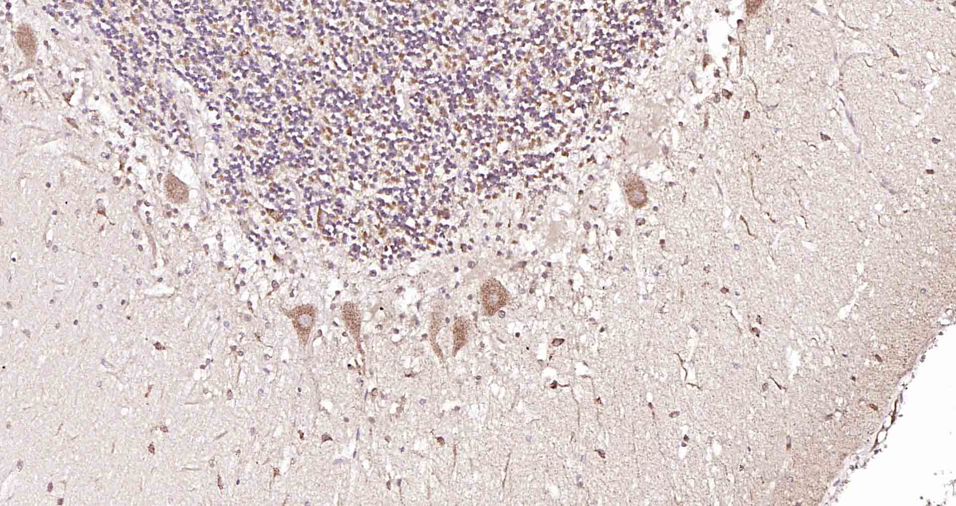
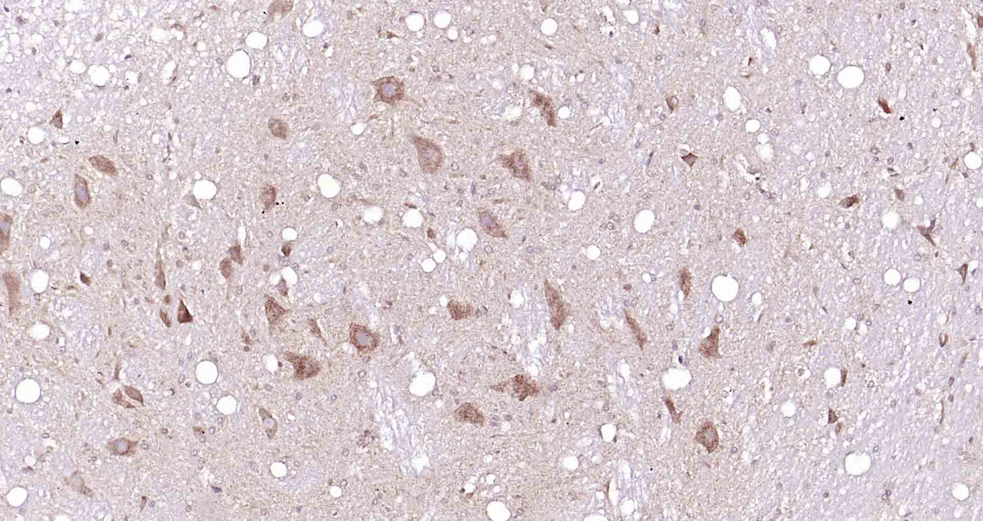
Paraformaldehyde-fixed, paraffin embedded Human Cerebellum; Antigen retrieval by boiling in sodium citrate buffer (pH6.0) for 15 min; Antibody incubation with LRCH1 Polyclonal Antibody, Unconjugated (bs-9327R) at 1:200 overnight at 4°C, followed by conjugation to the SP Kit (Rabbit, SP-0023) and DAB (C-0010) staining.
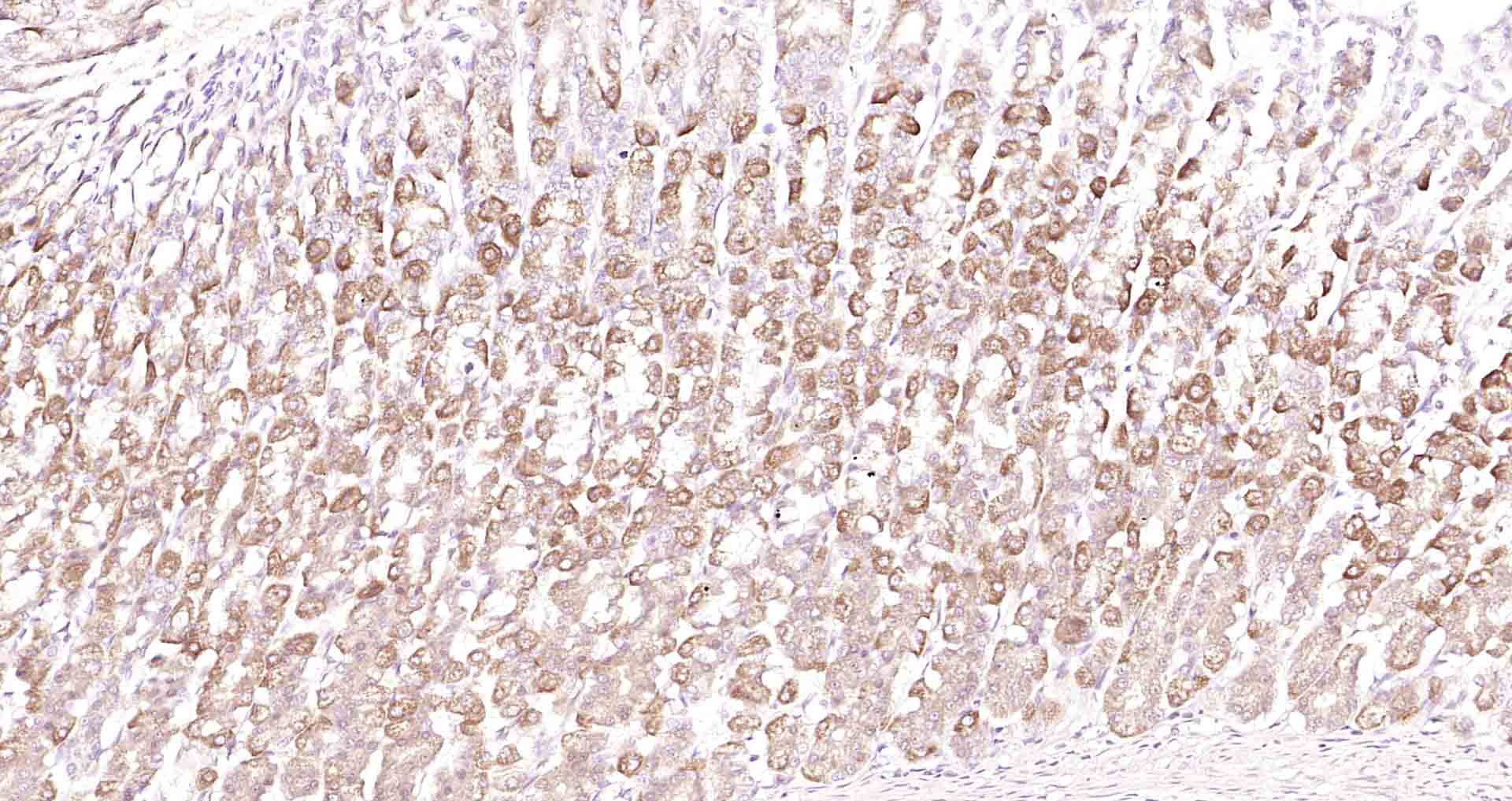
Paraformaldehyde-fixed, paraffin embedded Rat Stomach; Antigen retrieval by boiling in sodium citrate buffer (pH6.0) for 15 min; Antibody incubation with LRCH1 Polyclonal Antibody, Unconjugated (bs-9327R) at 1:200 overnight at 4°C, followed by conjugation to the SP Kit (Rabbit, SP-0023) and DAB (C-0010) staining.
Paraformaldehyde-fixed, paraffin embedded Mouse Stomach; Antigen retrieval by boiling in sodium citrate buffer (pH6.0) for 15 min; Antibody incubation with LRCH1 Polyclonal Antibody, Unconjugated (bs-9327R) at 1:200 overnight at 4°C, followed by conjugation to the SP Kit (Rabbit, SP-0023) and DAB (C-0010) staining.
Paraformaldehyde-fixed, paraffin embedded Rat Cerebellum; Antigen retrieval by boiling in sodium citrate buffer (pH6.0) for 15 min; Antibody incubation with LRCH1 Polyclonal Antibody, Unconjugated (bs-9327R) at 1:200 overnight at 4°C, followed by conjugation to the SP Kit (Rabbit, SP-0023) and DAB (C-0010) staining.
版权所有 2004-2026 www.bioss.com.cn 北京博奥森生物技术有限公司
通过国际质量管理体系ISO 9001:2015 GB/T 19001-2016    证书编号: 00124Q34771R2M/1100
通过国际医疗器械-质量管理体系ISO 13485:2016 GB/T 42061-2022     证书编号: CQC24QY20047R0M/1100
京ICP备05066980号-1         京公网安备110107000727号