扫码关注公众号           扫码咨询技术支持           扫码咨询技术服务
  
客服热线:400-901-9800  客服QQ:4009019800  技术答疑  技术支持  质量反馈  关于我们  联系我们
产品中心-北京博奥森生物技术有限公司
首页 > 产品中心 > 一抗 > 产品信息
RNF170 Rabbit pAb (bs-9260R)  
订购热线:400-901-9800
订购邮箱:sales@bioss.com.cn
订购QQ:  400-901-9800
技术支持:techsupport@bioss.com.cn
50ul/1180.00元
100ul/1980.00元
200ul/2800.00元
大包装/询价

产品编号 bs-9260R
英文名称 RNF170 Rabbit pAb
中文名称 环指蛋白170抗体
别    名 ADSA; SNAX1; SPG85; 6720407G21Rik; RN170_HUMAN; RNF170; Putative LAG1-interacting protein; RING finger protein 170; RING-type E3 ubiquitin transferase RNF170; 2.3.2.27; RN170_MOUSE;   
研究领域 细胞生物  免疫学  
抗体来源 Rabbit
克隆类型 Polyclonal
克 隆 号
交叉反应 Rat (predicted: Human,Mouse,Rabbit,Sheep,Cow,Chicken,Dog,Horse)
产品应用 IHC-P=1:100-500,IHC-F=1:100-500,IF=1:100-500
not yet tested in other applications.
optimal dilutions/concentrations should be determined by the end user.
理论分子量 30 kDa
细胞定位 细胞浆 细胞膜 
性    状 Liquid
浓    度 1mg/ml
免 疫 原 KLH conjugated synthetic peptide derived from human RNF170: 101-200/258 
亚    型 IgG
纯化方法 affinity purified by Protein A
缓 冲 液 0.01M TBS (pH7.4) with 1% BSA, 0.02% Proclin300 and 50% Glycerol.
保存条件 Shipped at 4℃. Store at -20℃ for one year. Avoid repeated freeze/thaw cycles.
注意事项 This product as supplied is intended for research use only, not for use in human, therapeutic or diagnostic applications.
PubMed PubMed
产品介绍 The ring finger is a specialized type of zinc finger of 40 to 60 residues that binds two atoms of zinc and mediates protein-protein interactions. There are five known isoforms of RNF170.

Function:
E3 ubiquitin-protein ligase that plays an essential role in stimulus-induced inositol 1,4,5-trisphosphate receptor type 1 (ITPR1) ubiquitination and degradation via the endoplasmic reticulum-associated degradation (ERAD) pathway. Also involved in ITPR1 turnover in resting cells.

Subunit:
Constitutively associated with the ERLIN1/ERLIN 2 complex. Interacts with activated ITPR1.

Subcellular Location:
Endoplasmic reticulum membrane; Multi-pass membrane protein (By similarity).

Tissue Specificity:
Expressed in the spinal chord.

DISEASE:
Defects in RNF170 are the cause of ataxia, sensory, type 1, autosomal dominant (SNAX1) [MIM:608984]. A rare disease characterized by progressive ataxia caused by degeneration of the posterior columns of the spinal cord. Affected individuals have a reduced ability to feel pain, temperature and vibration, particularly in the hands and feet. Their most prominent feature is an ataxic gait resulting from a severe loss of proprioception. Thus, patients rely on visual cues for maintaining proper body posture, such that they are unable to remain upright if their eyes are closed (Romberg sign).

Similarity:
Contains 1 RING-type zinc finger.

SWISS:
Q96K19

Gene ID:
81790

Database links:

Entrez Gene: 81790 Human

Entrez Gene: 77733 Mouse

SwissProt: Q96K19 Human

SwissProt: Q8CBG9 Mouse

Unigene: 696153 Human



产品图片
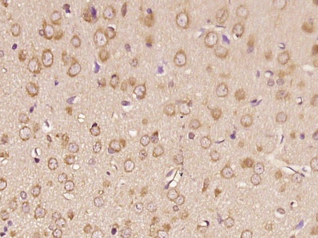
Paraformaldehyde-fixed, paraffin embedded (rat brain tissue); Antigen retrieval by boiling in sodium citrate buffer (pH6.0) for 15min; Block endogenous peroxidase by 3% hydrogen peroxide for 20 minutes; Blocking buffer (normal goat serum) at 37°C for 30min; Antibody incubation with (RNF170) Polyclonal Antibody, Unconjugated (bs-9260R) at 1:400 overnight at 4°C, followed by operating according to SP Kit(Rabbit) (sp-0023) instructionsand DAB staining.
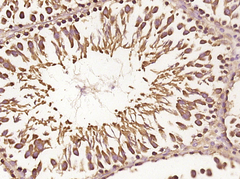
Paraformaldehyde-fixed, paraffin embedded (rat testis tissue); Antigen retrieval by boiling in sodium citrate buffer (pH6.0) for 15min; Block endogenous peroxidase by 3% hydrogen peroxide for 20 minutes; Blocking buffer (normal goat serum) at 37°C for 30min; Antibody incubation with (RNF170) Polyclonal Antibody, Unconjugated (bs-9260R) at 1:400 overnight at 4°C, followed by operating according to SP Kit(Rabbit) (sp-0023) instructionsand DAB staining.
版权所有 2004-2026 www.bioss.com.cn 北京博奥森生物技术有限公司
通过国际质量管理体系ISO 9001:2015 GB/T 19001-2016    证书编号: 00124Q34771R2M/1100
通过国际医疗器械-质量管理体系ISO 13485:2016 GB/T 42061-2022     证书编号: CQC24QY20047R0M/1100
京ICP备05066980号-1         京公网安备110107000727号