扫码关注公众号           扫码咨询技术支持           扫码咨询技术服务
  
客服热线:400-901-9800  客服QQ:4009019800  技术答疑  技术支持  质量反馈  关于我们  联系我们
产品中心-北京博奥森生物技术有限公司
首页 > 产品中心 > 一抗 > 产品信息
RNF169 Rabbit pAb (bs-9259R)  
订购热线:400-901-9800
订购邮箱:sales@bioss.com.cn
订购QQ:  400-901-9800
技术支持:techsupport@bioss.com.cn
50ul/1180.00元
100ul/1980.00元
200ul/2800.00元
大包装/询价

产品编号 bs-9259R
英文名称 RNF169 Rabbit pAb
中文名称 环指蛋白169抗体
别    名 2900057K09Rik; RN169_HUMAN; RNF169; RING finger protein 169; RING-type E3 ubiquitin transferase RNF169; 2.3.2.27; KIAA1991;   
研究领域 细胞生物  免疫学  
抗体来源 Rabbit
克隆类型 Polyclonal
克 隆 号
交叉反应 Human,Mouse (predicted: Rat,Rabbit,Pig,Sheep,Cow,Chicken,Dog,Horse)
产品应用 WB=1:500-2000,IHC-P=1:100-500,IHC-F=1:100-500,IF=1:100-500
not yet tested in other applications.
optimal dilutions/concentrations should be determined by the end user.
理论分子量 77 kDa
细胞定位 细胞核 
性    状 Liquid
浓    度 1mg/ml
免 疫 原 KLH conjugated synthetic peptide derived from human RNF169: 401-500/708 
亚    型 IgG
纯化方法 affinity purified by Protein A
缓 冲 液 0.01M TBS (pH7.4) with 1% BSA, 0.02% Proclin300 and 50% Glycerol.
保存条件 Shipped at 4℃. Store at -20℃ for one year. Avoid repeated freeze/thaw cycles.
注意事项 This product as supplied is intended for research use only, not for use in human, therapeutic or diagnostic applications.
PubMed PubMed
产品介绍 RNF169 contains 1 RING type zinc finger. The exact functions of RNF169 remain unknown.

Function:
Probable E3 ubiquitin-protein ligase that acts as a negative regulator of double-strand breaks (DSBs) repair following DNA damage. Recruited to DSB repair sites by recognizing and binding ubiquitin catalyzed by RNF168 and competes with TP53BP1 and BRCA1 for association with RNF168-modified chromatin, thereby acting as a negative regulator of DSBs repair. E3 ubiquitin-protein ligase activity is not required for regulation of DSBs repair.

Subcellular Location:
Nucleus, nucleoplasm. Note=Localizes to sites of double-strand breaks (DSBs) following DNA damage. Recruited to DSBs via recognition of RNF168-dependent ubiquitin products.

Similarity:
Belongs to the RNF169 family.
Contains 1 RING-type zinc finger.

SWISS:
Q8NCN4

Gene ID:
254225

Database links:

Entrez Gene: 254225 Human

Entrez Gene: 108937 Mouse

SwissProt: Q8NCN4 Human



产品图片
Sample: Cerebrum (Mouse) Lysate at 40 ug Primary: Anti- RNF169 (bs-9259R) at 1/1000 dilution Secondary: IRDye800CW Goat Anti-Rabbit IgG at 1/20000 dilution Predicted band size: 77 kD Observed band size: 77 kD
Sample: Cerebellum (Mouse) Lysate at 40 ug Primary: Anti- RNF169 (bs-9259R) at 1/1000 dilution Secondary: IRDye800CW Goat Anti-Rabbit IgG at 1/20000 dilution Predicted band size: 77 kD Observed band size: 77 kD
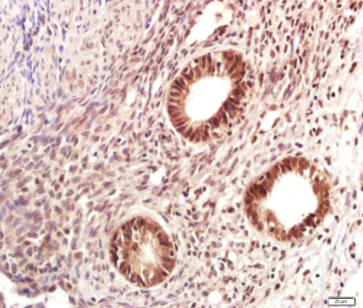
Paraformaldehyde-fixed, paraffin embedded (human cervical cancer); Antigen retrieval by boiling in sodium citrate buffer (pH6.0) for 15min; Block endogenous peroxidase by 3% hydrogen peroxide for 20 minutes; Blocking buffer (normal goat serum) at 37°C for 30min; Antibody incubation with (RNF169) Polyclonal Antibody, Unconjugated (bs-9259R) at 1:400 overnight at 4°C, followed by a conjugated secondary (sp-0023) for 20 minutes and DAB staining.
版权所有 2004-2026 www.bioss.com.cn 北京博奥森生物技术有限公司
通过国际质量管理体系ISO 9001:2015 GB/T 19001-2016    证书编号: 00124Q34771R2M/1100
通过国际医疗器械-质量管理体系ISO 13485:2016 GB/T 42061-2022     证书编号: CQC24QY20047R0M/1100
京ICP备05066980号-1         京公网安备110107000727号