扫码关注公众号           扫码咨询技术支持           扫码咨询技术服务
  
客服热线:400-901-9800  客服QQ:4009019800  技术答疑  技术支持  质量反馈  关于我们  联系我们
产品中心-北京博奥森生物技术有限公司
首页 > 产品中心 > 一抗 > 产品信息
RNF128 Rabbit pAb (bs-9251R)  
订购热线:400-901-9800
订购邮箱:sales@bioss.com.cn
订购QQ:  400-901-9800
技术支持:techsupport@bioss.com.cn
50ul/1180.00元
100ul/1980.00元
200ul/2800.00元
大包装/询价

产品编号 bs-9251R
英文名称 RNF128 Rabbit pAb
中文名称 环指蛋白128抗体
别    名 GRAIL; 1300002C13Rik; Greul1; RGD1566282; RN128_HUMAN; RNF128; Gene related to anergy in lymphocytes protein (GRAIL); RING finger protein 128; RING-type E3 ubiquitin transferase RNF128; 2.3.2.27; RN128_MOUSE; Gene related to anergy in lymphocytes protein;  
研究领域 细胞生物  免疫学  
抗体来源 Rabbit
克隆类型 Polyclonal
克 隆 号
交叉反应 Human,Mouse,Rat (predicted: Pig,Cow,Zebrafish,Chicken,Dog)
产品应用 WB=1:500-2000,IHC-P=1:100-500,IHC-F=1:100-500,IF=1:50-200
not yet tested in other applications.
optimal dilutions/concentrations should be determined by the end user.
理论分子量 43 kDa
细胞定位 细胞浆 
性    状 Liquid
浓    度 1mg/ml
免 疫 原 KLH conjugated synthetic peptide derived from human RNF128: 151-260/428 
亚    型 IgG
纯化方法 affinity purified by Protein A
缓 冲 液 0.01M TBS (pH7.4) with 1% BSA, 0.02% Proclin300 and 50% Glycerol.
保存条件 Shipped at 4℃. Store at -20℃ for one year. Avoid repeated freeze/thaw cycles.
注意事项 This product as supplied is intended for research use only, not for use in human, therapeutic or diagnostic applications.
PubMed PubMed
产品介绍 The protein encoded by this gene is a type I transmembrane protein that localizes to the endocytic pathway. This protein contains a RING zinc-finger motif and has been shown to possess E3 ubiquitin ligase activity. Expression of this gene in retrovirally transduced T cell hybridoma significantly inhibits activation-induced IL2 and IL4 cytokine production. Induced expression of this gene was observed in anergic CD4(+) T cells, which suggested a role in the induction of anergic phenotype. Alternatively spliced transcript variants encoding distinct isoforms have been reported. [provided by RefSeq, Jul 2008].

Function:
E3 ubiquitin-protein ligase that catalyzes polyubiquitin chains. Functions as an inhibitor of cytokine gene transcription. Inhibits IL2 and IL4 transcription and this activity is likely to be mediated by E3 ligase activity. Plays an important role in the induction of the anergic phenotype. Functions in the patterning of the dorsal ectoderm; sensitizes ectoderm to respond to neural-inducing signals.

Subcellular Location:
Endomembrane system; Single-pass membrane protein. Cytoplasm, perinuclear region. Note=Localized in an asymmetric perinuclear punctuate manner. Localizes to the internal pool of the transferrin recycling endosomal pathway. Partially colocalized with the endoplasmic reticulum resident HSPA5, with Golgi resident STX5, and with the late endosomal GTPase RAB7A.

Post-translational modifications:
Auto-ubiquitinated. Controls the development of T-cell clonal anergy by ubiquitination.

Similarity:
Contains 1 PA (protease associated) domain.
Contains 1 RING-type zinc finger.

SWISS:
Q8TEB7

Gene ID:
79589

Database links:

Entrez Gene: 79589 Human

Entrez Gene: 66889 Mouse

Entrez Gene: 315911 Rat

Omim: 300439 Human

SwissProt: Q8TEB7 Human

SwissProt: Q9D304 Mouse

Unigene: 496542 Human

Unigene: 27764 Mouse



产品图片
Sample: Cerebrum (Mouse) Lysate at 40 ug Kidney (Mouse) Lysate at 40 ug 293T(Human) Cell Lysate at 30 ug Ovary (Mouse) Lysate at 40 ug Primary: Anti- RNF128 (bs-9251R) at 1/1000 dilution Secondary: IRDye800CW Goat Anti-Rabbit IgG at 1/20000 dilution Predicted band size: 43 kD Observed band size: 62 kD
Sample: 293T(Human) Cell Lysate at 30 ug Primary: Anti- RNF128 (bs-9251R) at 1/1000 dilution Secondary: IRDye800CW Goat Anti-Rabbit IgG at 1/20000 dilution Predicted band size: 43 kD Observed band size: 61kD
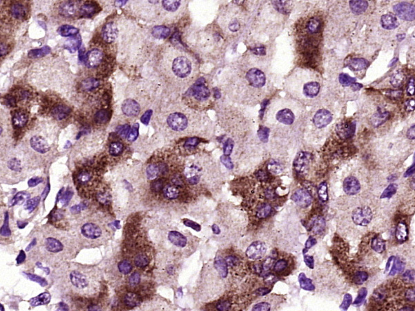
Paraformaldehyde-fixed, paraffin embedded (Mouse stomach); Antigen retrieval by boiling in sodium citrate buffer (pH6.0) for 15min; Block endogenous peroxidase by 3% hydrogen peroxide for 20 minutes; Blocking buffer (normal goat serum) at 37°C for 30min; Antibody incubation with (RNF128) Polyclonal Antibody, Unconjugated (bs-9251R) at 1:400 overnight at 4°C, followed by operating according to SP Kit(Rabbit) (sp-0023) instructionsand DAB staining.
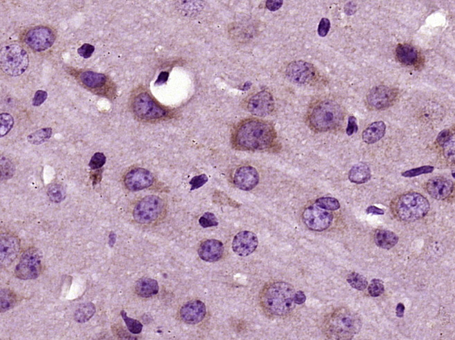
Paraformaldehyde-fixed, paraffin embedded (Rat brain); Antigen retrieval by boiling in sodium citrate buffer (pH6.0) for 15min; Block endogenous peroxidase by 3% hydrogen peroxide for 20 minutes; Blocking buffer (normal goat serum) at 37°C for 30min; Antibody incubation with (RNF128) Polyclonal Antibody, Unconjugated (bs-9251R) at 1:400 overnight at 4°C, followed by operating according to SP Kit(Rabbit) (sp-0023) instructionsand DAB staining.
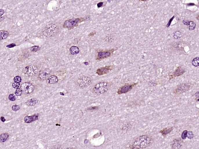
Paraformaldehyde-fixed, paraffin embedded (Mouse brain); Antigen retrieval by boiling in sodium citrate buffer (pH6.0) for 15min; Block endogenous peroxidase by 3% hydrogen peroxide for 20 minutes; Blocking buffer (normal goat serum) at 37°C for 30min; Antibody incubation with (RNF128) Polyclonal Antibody, Unconjugated (bs-9251R) at 1:400 overnight at 4°C, followed by operating according to SP Kit(Rabbit) (sp-0023) instructionsand DAB staining.
版权所有 2004-2026 www.bioss.com.cn 北京博奥森生物技术有限公司
通过国际质量管理体系ISO 9001:2015 GB/T 19001-2016    证书编号: 00124Q34771R2M/1100
通过国际医疗器械-质量管理体系ISO 13485:2016 GB/T 42061-2022     证书编号: CQC24QY20047R0M/1100
京ICP备05066980号-1         京公网安备110107000727号