扫码关注公众号           扫码咨询技术支持           扫码咨询技术服务
  
客服热线:400-901-9800  客服QQ:4009019800  技术答疑  技术支持  质量反馈  关于我们  联系我们
产品中心-北京博奥森生物技术有限公司
首页 > 产品中心 > 一抗 > 产品信息
RNF156 Rabbit pAb (bs-9229R)  
订购热线:400-901-9800
订购邮箱:sales@bioss.com.cn
订购QQ:  400-901-9800
技术支持:techsupport@bioss.com.cn
50ul/1180.00元
100ul/1980.00元
200ul/2800.00元
大包装/询价

产品编号 bs-9229R
英文名称 RNF156 Rabbit pAb
中文名称 环指蛋白156抗体
别    名 RNF156; 2610042J20Rik; mKIAA0544; md; nc; RGD1311862; MGRN1_HUMAN; MGRN1; Mahogunin RING finger protein 1; RING finger protein 156; RING-type E3 ubiquitin transferase MGRN1; 2.3.2.27; KIAA0544; MGRN1_MOUSE; MGRN1_RAT;   
研究领域 细胞生物  免疫学  
抗体来源 Rabbit
克隆类型 Polyclonal
克 隆 号
交叉反应 Human,Mouse (predicted: Rat,Rabbit,Pig,Sheep,Cow,Chicken,Dog,Horse)
产品应用 IHC-P=1:100-500,IHC-F=1:100-500,IF=1:100-500
not yet tested in other applications.
optimal dilutions/concentrations should be determined by the end user.
理论分子量 61 kDa
细胞定位 细胞浆 细胞膜 
性    状 Liquid
浓    度 1mg/ml
免 疫 原 KLH conjugated synthetic peptide derived from human RNF156: 201-300/552 
亚    型 IgG
纯化方法 affinity purified by Protein A
缓 冲 液 0.01M TBS (pH7.4) with 1% BSA, 0.02% Proclin300 and 50% Glycerol.
保存条件 Shipped at 4℃. Store at -20℃ for one year. Avoid repeated freeze/thaw cycles.
注意事项 This product as supplied is intended for research use only, not for use in human, therapeutic or diagnostic applications.
PubMed PubMed
产品介绍 E3 ubiquitin-protein ligase. Mediates monoubiquitination at multiple sites of TSG101 in the presence of UBE2D1, but not of UBE2G1, nor UBE2H. Plays a role in the regulation of endosome-to-lysosome trafficking. Impairs MC1R- and MC4R-signaling by competing with GNAS-binding to MCRs and inhibiting agonist-induced cAMP production. Does not inhibit ADRB2-signaling. Does not promote MC1R ubiquitination.

Function:
E3 ubiquitin-protein ligase. Mediates monoubiquitination at multiple sites of TSG101 in the presence of UBE2D1, but not of UBE2G1, nor UBE2H. Plays a role in the regulation of endosome-to-lysosome trafficking. Impairs MC1R- and MC4R-signaling by competing with GNAS-binding to MCRs and inhibiting agonist-induced cAMP production. Does not inhibit ADRB2-signaling. Does not promote MC1R ubiquitination.

Subunit:
Interacts with MC1R and MC4R, but not with TBXA2R. Interacts with TSG101. Interacts with mislocalized cytosolically exposed PRNP; this interaction alters MGRN1 subcellular location and causes lysosomal enlargement (By similarity).

Subcellular Location:
Cytoplasm. Cell membrane.

Post-translational modifications:
Autoubiquitinated in vitro (By similarity).

Similarity:
Contains 1 RING-type zinc finger.

SWISS:
O60291

Gene ID:
23295

Database links:

Entrez Gene: 23295 Human

Entrez Gene: 17237 Mouse

Entrez Gene: 302938 Rat

Omim: 607559 Human

SwissProt: O60291 Human

SwissProt: Q9D074 Mouse

SwissProt: Q5XIQ4 Rat

Unigene: 526494 Human

Unigene: 291326 Mouse

Unigene: 15530 Rat



产品图片
Paraformaldehyde-fixed, paraffin embedded (mouse stomach); Antigen retrieval by boiling in sodium citrate buffer (pH6.0) for 15min; Block endogenous peroxidase by 3% hydrogen peroxide for 20 minutes; Blocking buffer (normal goat serum) at 37°C for 30min; Antibody incubation with (RNF156) Polyclonal Antibody, Unconjugated (bs-9229R) at 1:400 overnight at 4°C, followed by a conjugated secondary (sp-0023) for 20 minutes and DAB staining
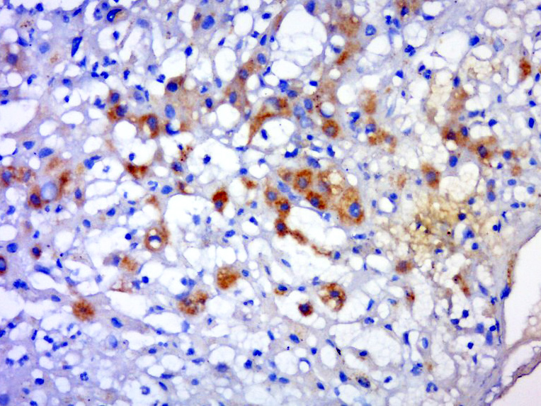
Paraformaldehyde-fixed, paraffin embedded (Human hepatocellular carcinoma); Antigen retrieval by boiling in sodium citrate buffer (pH6.0) for 15min; Block endogenous peroxidase by 3% hydrogen peroxide for 20 minutes; Blocking buffer (normal goat serum) at 37°C for 30min; Antibody incubation with (RNF156) Polyclonal Antibody, Unconjugated (bs-9229R) at 1:400 overnight at 4°C, followed by a conjugated secondary (sp-0023) for 20 minutes and DAB staining
版权所有 2004-2026 www.bioss.com.cn 北京博奥森生物技术有限公司
通过国际质量管理体系ISO 9001:2015 GB/T 19001-2016    证书编号: 00124Q34771R2M/1100
通过国际医疗器械-质量管理体系ISO 13485:2016 GB/T 42061-2022     证书编号: CQC24QY20047R0M/1100
京ICP备05066980号-1         京公网安备110107000727号