扫码关注公众号           扫码咨询技术支持           扫码咨询技术服务
  
客服热线:400-901-9800  客服QQ:4009019800  技术答疑  技术支持  质量反馈  关于我们  联系我们
产品中心-北京博奥森生物技术有限公司
首页 > 产品中心 > 一抗 > 产品信息
RNF14 Rabbit pAb (bs-9225R)  
订购热线:400-901-9800
订购邮箱:sales@bioss.com.cn
订购QQ:  400-901-9800
技术支持:techsupport@bioss.com.cn
50ul/1180.00元
100ul/1980.00元
200ul/2800.00元
大包装/询价

产品编号 bs-9225R
英文名称 RNF14 Rabbit pAb
中文名称 环指蛋白14抗体
别    名 Androgen receptor associated protein 54; Androgen receptor-associated protein 54; ARA 54; ARA54; E3 ubiquitin protein ligase RNF14; E3 ubiquitin-protein ligase RNF14; FLJ26004; HFB 30; HFB30; HRIHFB2038; RING finger protein 14; RNF 14; Rnf14; RNF14_HUMAN; TRIAD 2; TRIAD2; Triad2 protein.  
研究领域 细胞生物  信号转导  表观遗传学  
抗体来源 Rabbit
克隆类型 Polyclonal
克 隆 号
交叉反应 Mouse,Rat (predicted: Human,Rabbit,Pig,Sheep,Cow,Dog)
产品应用 WB=1:500-2000,IHC-P=1:100-500,IHC-F=1:100-500,IF=1:100-500
not yet tested in other applications.
optimal dilutions/concentrations should be determined by the end user.
理论分子量 54 kDa
检测分子量
细胞定位 细胞核 细胞浆 
性    状 Liquid
浓    度 1mg/ml
免 疫 原 KLH conjugated synthetic peptide derived from human RNF14: 71-170/474 
亚    型
纯化方法 affinity purified by Protein A
缓 冲 液 0.01M TBS (pH7.4) with 1% BSA, 0.02% Proclin300 and 50% Glycerol.
保存条件 Shipped at 4℃. Store at -20℃ for one year. Avoid repeated freeze/thaw cycles.
注意事项 This product as supplied is intended for research use only, not for use in human, therapeutic or diagnostic applications.
PubMed PubMed
产品介绍 Might act as an E3 ubiquitin-protein ligase which accepts ubiquitin from specific E2 ubiquitin-conjugating enzymes and then transfers it to substrates, which could be nuclear proteins. Could play a role as a coactivator for androgen- and, to a lesser extent, progesterone-dependent transcription.

Function:
Might act as an E3 ubiquitin-protein ligase which accepts ubiquitin from specific E2 ubiquitin-conjugating enzymes and then transfers it to substrates, which could be nuclear proteins. Could play a role as a coactivator for androgen- and, to a lesser extent, progesterone-dependent transcription.

Subunit:
Interacts with the ubiquitin-conjugating enzymes UBE2E1 and UBE2E2. Interacts with AR/androgen receptor; testosterone- and RNF6-regulated it promotes AR transcriptional activity.

Subcellular Location:
Cytoplasm. Nucleus.

Tissue Specificity:
Widely expressed.

Post-translational modifications:
RING-type zinc finger-dependent and UBE2E2-dependent autoubiquitination. [SIMILARITY]

Similarity:
Belongs to the RBR family. RNF14 subfamily.
Contains 1 IBR-type zinc finger.
Contains 2 RING-type zinc fingers.
Contains 1 RWD domain.

SWISS:
Q9UBS8

Gene ID:
9604

Database links:

Entrez Gene: 9604 Human

Entrez Gene: 56736 Mouse

Entrez Gene: 619577 Rat

Omim: 605675 Human

SwissProt: Q9UBS8 Human

SwissProt: Q9JI90 Mouse

Unigene: 483616 Human

Unigene: 228903 Mouse

Unigene: 115357 Rat



产品图片
Sample: Cerebellum (Mouse) Lysate at 40 ug Primary: Anti-RNF14 (bs-9225R) at 1/300 dilution Secondary: IRDye800CW Goat Anti-Rabbit IgG at 1/20000 dilution Predicted band size: 54 kD Observed band size: 50 kD
Sample: Placenta (Mouse) Lysate at 40 ug Primary: Anti-RNF14 (bs-9225R) at 1/300 dilution Secondary: IRDye800CW Goat Anti-Rabbit IgG at 1/20000 dilution Predicted band size: 54 kD Observed band size: 50 kD
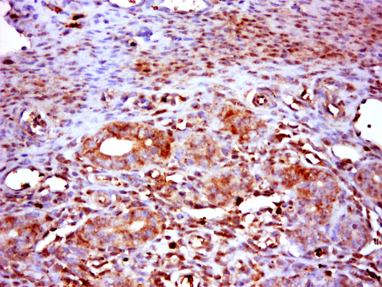
Paraformaldehyde-fixed, paraffin embedded (rat uterus); Antigen retrieval by boiling in sodium citrate buffer (pH6.0) for 15min; Block endogenous peroxidase by 3% hydrogen peroxide for 20 minutes; Blocking buffer (normal goat serum) at 37°C for 30min; Antibody incubation with (FAM160B1) Polyclonal Antibody, Unconjugated (bs-9225R) at 1:500 overnight at 4°C, followed by a conjugated secondary (sp-0023) for 20 minutes and DAB staining.
版权所有 2004-2026 www.bioss.com.cn 北京博奥森生物技术有限公司
通过国际质量管理体系ISO 9001:2015 GB/T 19001-2016    证书编号: 00124Q34771R2M/1100
通过国际医疗器械-质量管理体系ISO 13485:2016 GB/T 42061-2022     证书编号: CQC24QY20047R0M/1100
京ICP备05066980号-1         京公网安备110107000727号