扫码关注公众号           扫码咨询技术支持           扫码咨询技术服务
  
客服热线:400-901-9800  客服QQ:4009019800  技术答疑  技术支持  质量反馈  人才招聘  关于我们  联系我们
产品中心-北京博奥森生物技术有限公司
首页 > 产品中心 > 一抗 > 产品信息
IGSF21 Rabbit pAb (bs-9204R)  
订购热线:400-901-9800
订购邮箱:sales@bioss.com.cn
订购QQ:  400-901-9800
技术支持:techsupport@bioss.com.cn
50ul/1180.00元
100ul/1980.00元
200ul/2800.00元
大包装/询价

产品编号 bs-9204R
英文名称 IGSF21 Rabbit pAb
中文名称 免疫球蛋白超家族成员21抗体
别    名 IGS21_HUMAN; IGSF21; immunoglobin superfamily member 21; immunoglobin superfamily, member 21  
研究领域 肿瘤  细胞生物  免疫学  神经生物学  
抗体来源 Rabbit
克隆类型 Polyclonal
交叉反应 Mouse,Rat (predicted: Human,Pig,Sheep,Cow,Chicken,Dog,Horse)
产品应用 WB=1:500-2000,IHC-P=1:100-500,IHC-F=1:100-500,IF=1:100-500
not yet tested in other applications.
optimal dilutions/concentrations should be determined by the end user.
理论分子量 49kDa
检测分子量 49/69
细胞定位 分泌型蛋白 
性    状 Liquid
浓    度 1mg/ml
免 疫 原 KLH conjugated synthetic peptide derived from human IGSF21: 81-180/467 
亚    型 IgG
纯化方法 affinity purified by Protein A
缓 冲 液 0.01M TBS (pH7.4) with 1% BSA, 0.02% Proclin300 and 50% Glycerol.
保存条件 Shipped at 4℃. Store at -20℃ for one year. Avoid repeated freeze/thaw cycles.
注意事项 This product as supplied is intended for research use only, not for use in human, therapeutic or diagnostic applications.
PubMed PubMed
产品介绍 IGSF21 is a 467 amino acid secreted protein that contains two Ig-like (immunoglobulin-like) domains and is a member of the immunoglobulin superfamily. Members of this family of proteins usually localize to the cell membrane, and may act as receptors in the immune response pathways. The gene encoding IGSF21 maps to human chromosome 1p36.13 and mouse chromosome 4 D3. Human chromosome 1 spans 260 million base pairs, contains over 3,000 genes and comprises nearly 8% of the human genome. A large number of disease-associated genes are associated with chromosome 1, including those that are involved in familial adenomatous polyposis, Stickler syndrome, Parkinson’s disease, Gaucher disease, schizophrenia and Usher syndrome. Aberrations in chromosome 1 are found in a variety of cancers, including head and neck cancer, malignant melanoma and multiple myeloma.

Subcellular Location:
Secreted

Similarity:
Contains 2 Ig-like (immunoglobulin-like) domains.

SWISS:
Q96ID5

Gene ID:
84966

Database links:

Entrez Gene: 84966 Human

SwissProt: Q96ID5 Human

Unigene: 212511 Human



产品图片
Sample: Cerebellum (mouse) Lysate at 40 ug Primary: Anti- IGSF21(bs-9204R) at 1/200 dilution Secondary: HRP conjugated Goat-Anti-rabbit IgG (bs-0295G-HRP) at 1/5000 dilution Predicted band size: 49 kD Observed band size: 49/69 kD
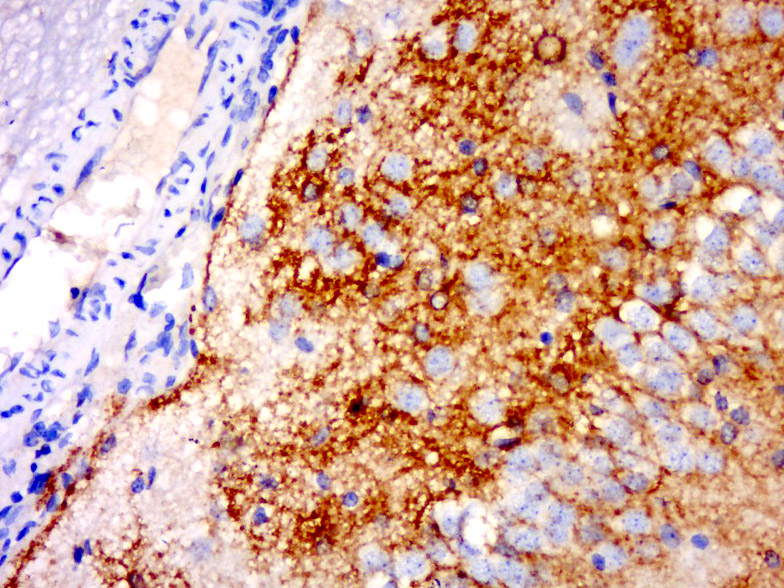
Paraformaldehyde-fixed, paraffin embedded (rat brain); Antigen retrieval by boiling in sodium citrate buffer (pH6.0) for 15min; Block endogenous peroxidase by 3% hydrogen peroxide for 20 minutes; Blocking buffer (normal goat serum) at 37°C for 30min; Antibody incubation with (IGSF21) Polyclonal Antibody, Unconjugated (bs-9204R) at 1:500 overnight at 4°C, followed by a conjugated secondary (sp-0023) for 20 minutes and DAB staining.
版权所有 2004-2026 www.bioss.com.cn 北京博奥森生物技术有限公司
通过国际质量管理体系ISO 9001:2015 GB/T 19001-2016    证书编号: 00124Q34771R2M/1100
通过国际医疗器械-质量管理体系ISO 13485:2016 GB/T 42061-2022     证书编号: CQC24QY20047R0M/1100
京ICP备05066980号-1         京公网安备110107000727号