扫码关注公众号           扫码咨询技术支持           扫码咨询技术服务
  
客服热线:400-901-9800  客服QQ:4009019800  技术答疑  技术支持  质量反馈  关于我们  联系我们
产品中心-北京博奥森生物技术有限公司
首页 > 产品中心 > 一抗 > 产品信息
TRIM7 Rabbit pAb (bs-9164R)  
订购热线:400-901-9800
订购邮箱:sales@bioss.com.cn
订购QQ:  400-901-9800
技术支持:techsupport@bioss.com.cn
50ul/1180.00元
100ul/1980.00元
200ul/2800.00元
大包装/询价

产品编号 bs-9164R
英文名称 TRIM7 Rabbit pAb
中文名称 糖原生成素相互作用蛋白抗体
别    名 GNIP; RNF90; TRIM7_HUMAN; TRIM7; Glycogenin-interacting protein; RING finger protein 90; Tripartite motif-containing protein 7; 2.3.2.27;   
Specific References  (1)     |     bs-9164R has been referenced in 1 publications.
[IF=16.174] Liang, Xiao. et al. A C-terminal glutamine recognition mechanism revealed by E3 ligase TRIM7 structures. NAT CHEM BIOL. 2022 Aug;:1-10  WB, CoIP ;  Human.  
研究领域 细胞生物  免疫学  信号转导  
抗体来源 Rabbit
克隆类型 Polyclonal
克 隆 号
交叉反应 Human (predicted: Mouse,Rat,Sheep,Cow,Horse)
产品应用 WB=1:500-2000,IHC-P=1:100-500,IHC-F=1:100-500,IF=1:100-500
not yet tested in other applications.
optimal dilutions/concentrations should be determined by the end user.
理论分子量 57 kDa
细胞定位 细胞核 细胞浆 
性    状 Liquid
浓    度 1mg/ml
免 疫 原 KLH conjugated synthetic peptide derived from human TRIM7/RNF90: 255-350/511 
亚    型 IgG
纯化方法 affinity purified by Protein A
缓 冲 液 0.01M TBS (pH7.4) with 1% BSA, 0.02% Proclin300 and 50% Glycerol.
保存条件 Shipped at 4℃. Store at -20℃ for one year. Avoid repeated freeze/thaw cycles.
注意事项 This product as supplied is intended for research use only, not for use in human, therapeutic or diagnostic applications.
PubMed PubMed
产品介绍 The tripartite motif (TRIM) family of proteins are characterized by a conserved TRIM domain that includes a coiled-coil region, a B-box type zinc finger, one RING finger and three zinc-binding domains. TRIM7 (tripartite motif-containing 7), also known as RNF90 or GNIP, is a 511 amino acid protein that belongs to the TRIM family and contains one RING-type zinc finger, one B box-type zinc finger and one SPRY domain. Expressed in placenta and skeletal muscle and present at lower levels in brain, heart and pancreas, TRIM7 localizes to both the cytoplasm and the nucleus where it exists as dimers and is thought to participate in the initiation of glycogen synthesis. Multiple isoforms of TRIM7 exist due to alternative splicing events.

Subunit:
Forms homodimers and heterodimers. Interacts with GYG and DES.

Tissue Specificity:
Skeletal muscle and placenta, at lower levels in heart, brain and pancreas. Isoform 1 is widely expressed with high level in testis, kidney and heart.

Similarity:
Belongs to the TRIM/RBCC family.
Contains 1 B box-type zinc finger.
Contains 1 B30.2/SPRY domain.
Contains 1 RING-type zinc finger.

SWISS:
Q9C029

Gene ID:
81786

Database links:

Entrez Gene: 81786 Human

Omim: 609315 Human

SwissProt: Q9C029 Human

Unigene: 487412 Human



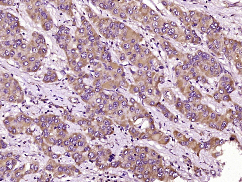
产品图片
Sample: Siha Cell (Human) Lysate at 40 ug Primary: Anti-TRIM7 (bs-9164R) at 1/300 dilution Secondary: IRDye800CW Goat Anti-Rabbit IgG at 1/20000 dilution Predicted band size: 57 kD Observed band size: 57 kD
Paraformaldehyde-fixed, paraffin embedded (Human liver carcinoma); Antigen retrieval by boiling in sodium citrate buffer (pH6.0) for 15min; Block endogenous peroxidase by 3% hydrogen peroxide for 20 minutes; Blocking buffer (normal goat serum) at 37°C for 30min; Antibody incubation with (TRIM7) Polyclonal Antibody, Unconjugated (bs-9164R) at 1:400 overnight at 4°C, followed by operating according to SP Kit(Rabbit) (sp-0023) instructionsand DAB staining.
版权所有 2004-2026 www.bioss.com.cn 北京博奥森生物技术有限公司
通过国际质量管理体系ISO 9001:2015 GB/T 19001-2016    证书编号: 00124Q34771R2M/1100
通过国际医疗器械-质量管理体系ISO 13485:2016 GB/T 42061-2022     证书编号: CQC24QY20047R0M/1100
京ICP备05066980号-1         京公网安备110107000727号